症例詳細
Case detail
【モニター】八重歯を抜歯矯正でスッキリした口元に
治療症例の内容
- 担当医
- 藤巻太一朗(ドクタープロフィール)
- 患者様
- 20代女性
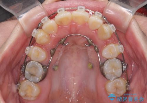
- 矯正装置
- クリアブラケット
- 治療期間
- 1年7ヶ月
- 治療回数
- 10-30回
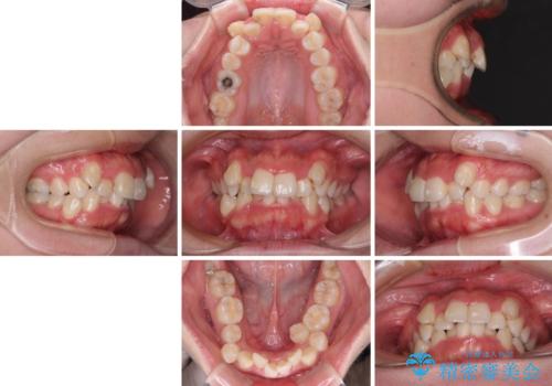
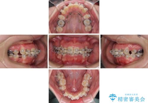
- 治療計画
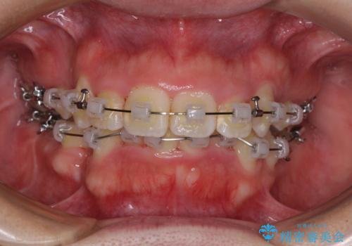
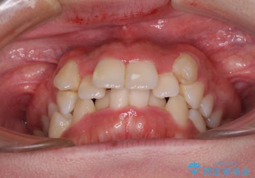
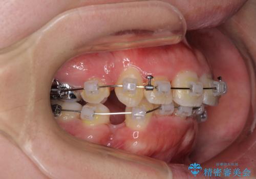
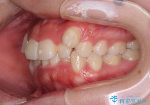
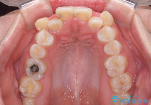
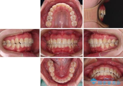
- 上下の八重歯やデコボコを気にして来院された患者様です。
上下ともに八重歯が顕著であったので、上下左右第一小臼歯4本を抜歯し、補助装置を使用して速やかに改善しながら、ワイヤー装置にて矯正治療を行うこととしました。
- 費用(概算)
- 治療費の目安: 100万円(税込)費用は治療当時の料金となります
※顔写真掲載にあたり、患者様の了解を得ております
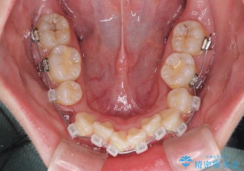
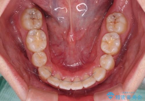
治療について
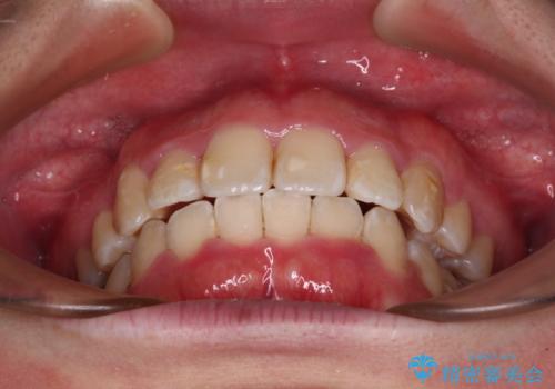
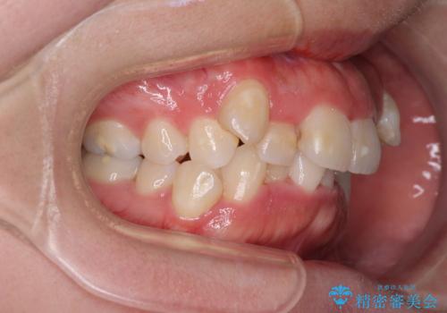
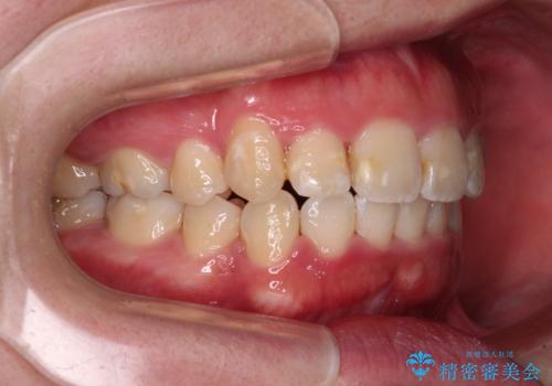
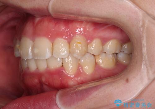
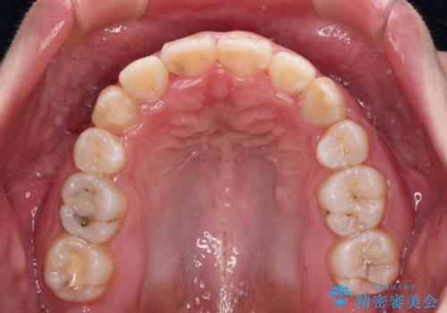
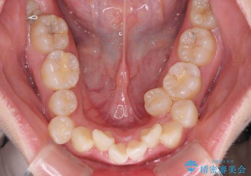
気になっていた八重歯は装置装着から3か月ほどで解消されました。
2年以内を目標として治療を開始しましたが、1年半ほどで終えることができました。
ワイヤー矯正の注意事項(リスク・副作用など)
- 治療中は違和感や痛みが起こることがあります
- 症状により、抜歯が必要な場合があります
- 治療中は歯磨きがしにくくなるため、虫歯や歯周病になりやすくなります
- 矯正治療後の保定が不十分だと後戻り(元の位置に戻ろうとする動き)をします
- 自費診療(保険適用外)となります
当サイトの内容、テキスト、画像等の無断転載、複製、複写、盗用を固く禁じます。


























