症例詳細
Case detail
再矯正症例 前歯のガタガタと噛み合わせのズレをマウスピースで治した症例
治療症例の内容
- 担当医
- 奥村高広(ドクタープロフィール)
- 患者様
- 30代男性
- 矯正装置
- インビザライン
- 治療期間
- 2年3ヶ月
- 治療回数
- 10-30回
- 治療計画
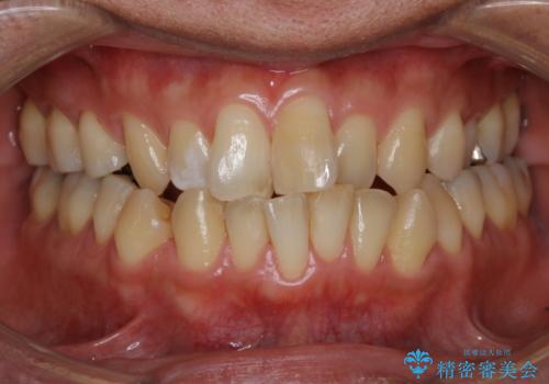
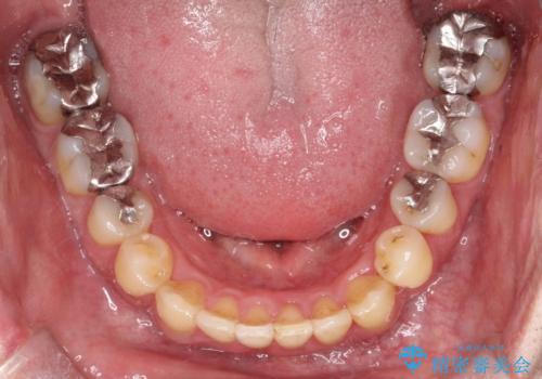
- 前歯の歯並びの改善を希望され来院された患者様です。
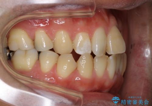
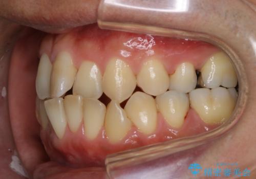
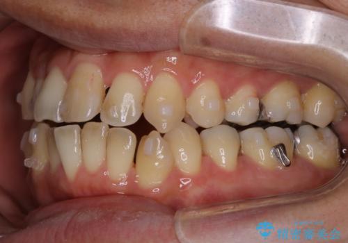
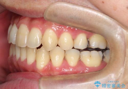
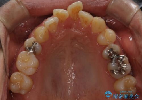
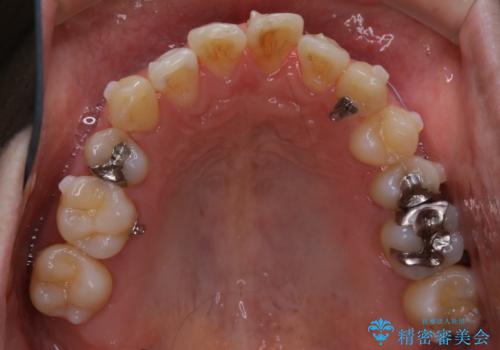
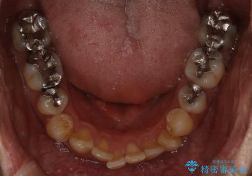
初診時の歯並びの状態としては、上下ともに前歯部の中等度のがたつきがあり、特に上の中切歯の捻転(翼状捻転)が強く上下の正中が大きくズレてしまっている状態でした。
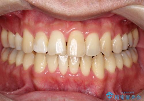
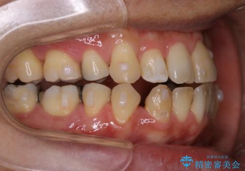
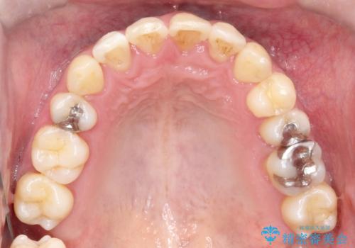
元々の矯正治療で右上の歯(4番目)を抜歯されていましたが、追加で抜歯は行わずインビザラインにて治療を行いました。
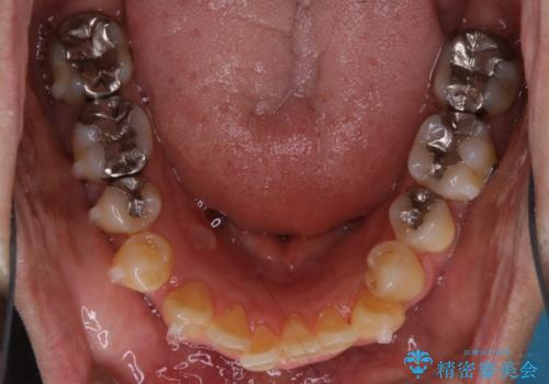
右下のみ奥歯後ろのスペースを利用し、残りは歯のスライス(ディスキング)によって、叢生と噛み合わせを改善しました。
- 費用(概算)
- 81万円費用は治療当時の料金となります
治療について
当院では、模型分析やレントゲン分析のデータを基に治療方針を決めています。複数治療の選択肢がある場合は、すべての可能性ある治療方針を丁寧にご説明し、患者様のご意向に沿ったプランを選択するよう心がけております。
また、矯正治療を行うにあたり、虫歯や歯周病の検査も実施し、要治療部位は、矯正前に適切に処置いたします。
見た目、嚙み合わせ及び、治療期間や施術内容に大変ご満足いただきました。
マウスピース矯正の注意事項(リスク・副作用など)
- 口腔内・歯並びの状態によっては対応できない場合があります
- マウスピース型矯正装置の長時間装着(1日20時間以上)が必須です
- 治療計画通りに進めるためには、患者様の意志が重要になります
- 矯正治療後の保定が不十分だと後戻り(元の位置に戻ろうとする動き)をします
- 薬機法対象外の矯正歯科装置のため医薬品副作用被害救済制度の対象外となる場合があります
- 自費診療(保険適用外)となります
当サイトの内容、テキスト、画像等の無断転載、複製、複写、盗用を固く禁じます。















