症例詳細
Case detail
上下の出っ歯を治したい ワイヤー装置による抜歯矯正
治療症例の内容
- 診療科目
 
- 治療カテゴリ
 
- 担当医
 - 藤巻太一朗(ドクタープロフィール)
 
- 患者様
 - 20代女性
 
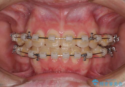
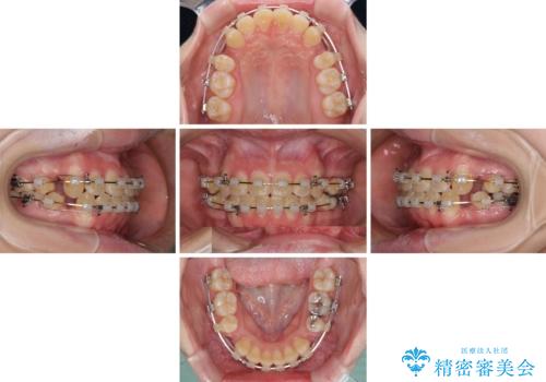
- 矯正装置
 - クリアブラケット
 
- 治療期間
 - 2年
 
- 治療回数
 - 10-30回
 
- 治療計画
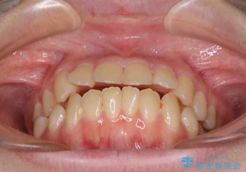
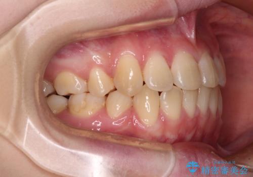
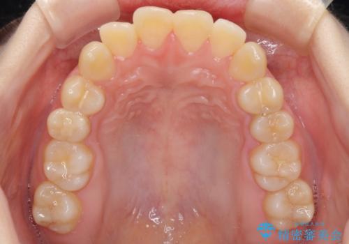
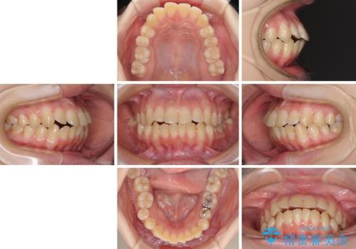
 - 上下前歯が前方に飛び出しているとのことで来院された患者様です。
上下左右第一小臼歯4本を抜歯して、積極的に口元を引っ込めるよう、ワイヤー装置にて矯正治療を行うこととしました。 
- 費用(概算)
 - 治療費の目安: 95万円(税込)費用は治療当時の料金となります
 
治療について
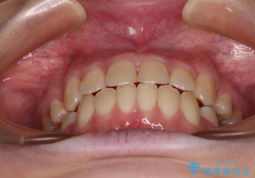
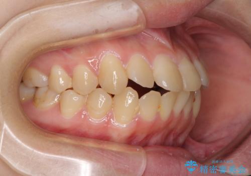
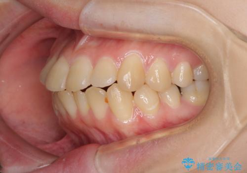
口元の突出感は著しく改善され、横顔の印象が大きく変化しました。
ワイヤー矯正の注意事項(リスク・副作用など)
- 治療中は違和感や痛みが起こることがあります
 - 症状により、抜歯が必要な場合があります
 - 治療中は歯磨きがしにくくなるため、虫歯や歯周病になりやすくなります
 - 矯正治療後の保定が不十分だと後戻り(元の位置に戻ろうとする動き)をします
 - 自費診療(保険適用外)となります
 
当サイトの内容、テキスト、画像等の無断転載、複製、複写、盗用を固く禁じます。

                      
                                                          
























