症例詳細
Case detail
気になる残存乳歯と八重歯 ワイヤー矯正を併用したインビザライン治療
治療症例の内容
- 診療科目
- 治療カテゴリ
- 担当医
- 藤巻太一朗(ドクタープロフィール)
- 患者様
- 20代女性
- 矯正装置
- インビザライン
- 治療期間
- 1年9ヶ月
- 治療回数
- 10-30回
- 治療計画
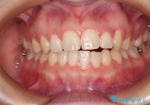
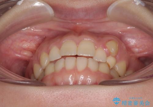
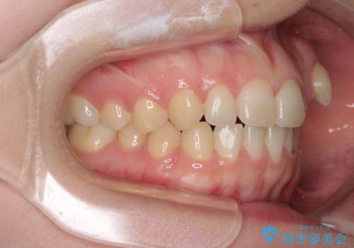
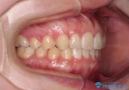
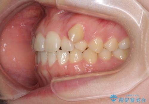
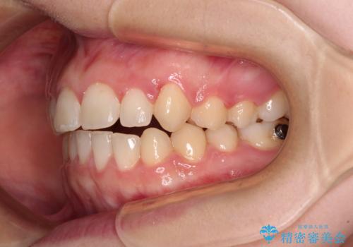
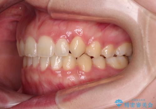
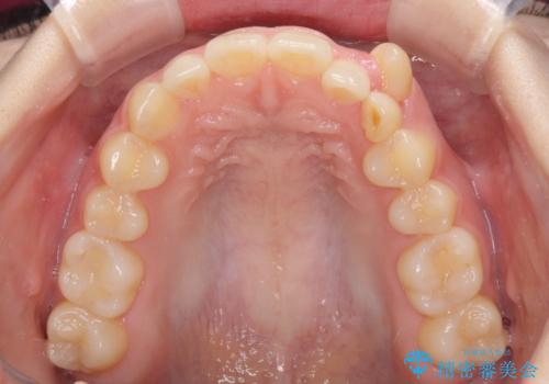
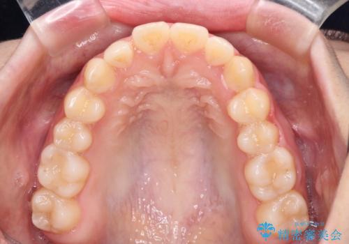
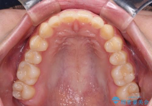
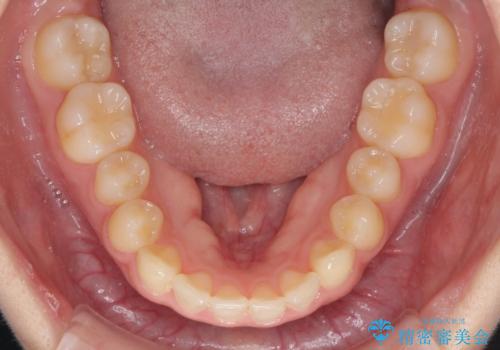
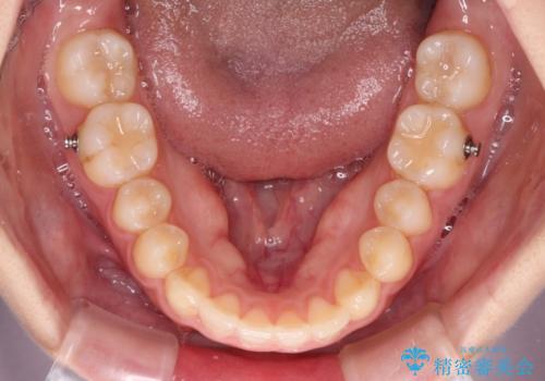
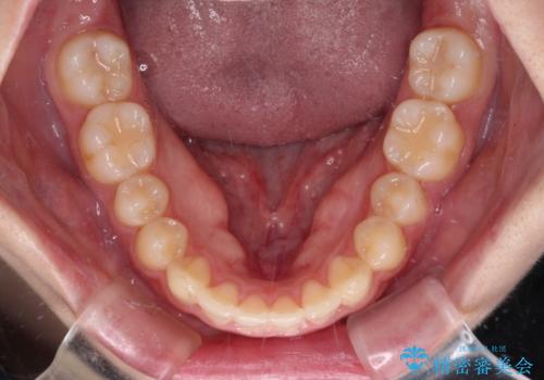
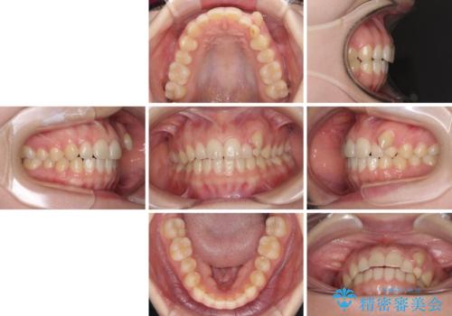
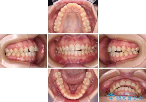
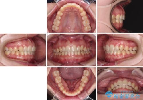
- 八重歯を気にして来院された患者様です。
八重歯のために乳歯が残存していたため、乳歯を抜去して八重歯となっている犬歯を歯列に収めることとしました。
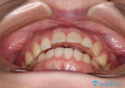
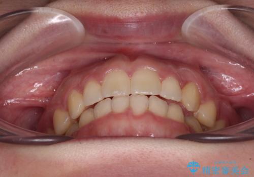
八重歯の移動量が多くなるため、インビザラインと併用してワイヤー矯正を行い、八重歯を改善した後に、上下歯列をインビザラインで整えることとしました。
- 費用(概算)
- 治療費の目安: 100万円(税込)費用は治療当時の料金となります
治療について
犬歯は歯根が長くて太いため移動に時間がかかる上に、周囲の歯が八重歯に寄ってきてしまうため、仕上がるまでに期間がかかりました。
マウスピース矯正の注意事項(リスク・副作用など)
- 口腔内・歯並びの状態によっては対応できない場合があります
- マウスピース型矯正装置の長時間装着(1日20時間以上)が必須です
- 治療計画通りに進めるためには、患者様の意志が重要になります
- 矯正治療後の保定が不十分だと後戻り(元の位置に戻ろうとする動き)をします
- 薬機法対象外の矯正歯科装置のため医薬品副作用被害救済制度の対象外となる場合があります
- 自費診療(保険適用外)となります
当サイトの内容、テキスト、画像等の無断転載、複製、複写、盗用を固く禁じます。




























