症例詳細
Case detail
セラミックは無理と言われた奥歯 フルジルコニアクラウンによる補綴治療
治療症例の内容
- 診療科目
- 治療カテゴリ
- 担当医
- 藤巻太一朗(ドクタープロフィール)
- 患者様
- 30代女性
- 治療期間
- 1ヶ月
- 治療回数
- 2-5回
- 治療計画
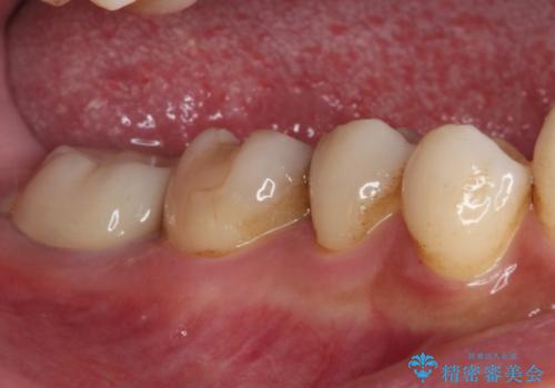
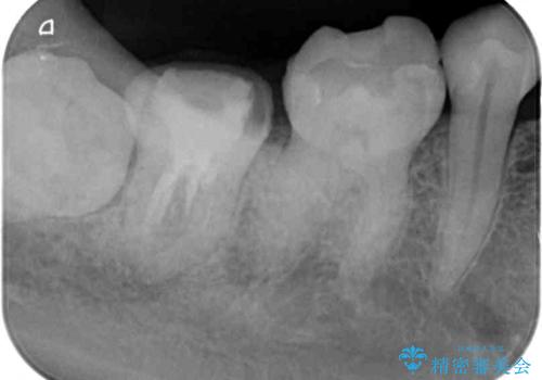
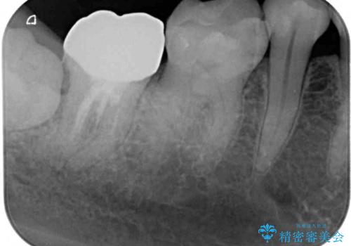
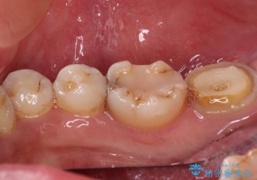
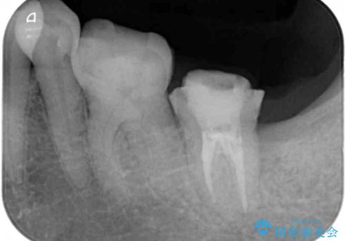
- かかりつけ医にて、歯の高さが不足しているためセラミッククラウンの装着はできないと言われたとのことで来院された患者様です。
診察したところ、確かに歯の高さは不足していましたが、土台の立て直しや歯の削り方を調整することでオールセラミッククラウンでも補綴可能と思われました。
ただし、クラウンの厚みは極力薄くした方が維持力が増すため、高強度のフルジルコニアクラウンにて補綴治療することとしました。
- 費用(概算)
- 治療費の目安: 22万円(税込)費用は治療当時の料金となります
治療について
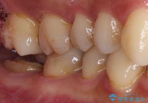
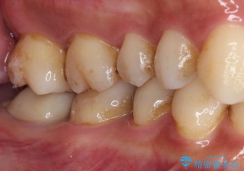
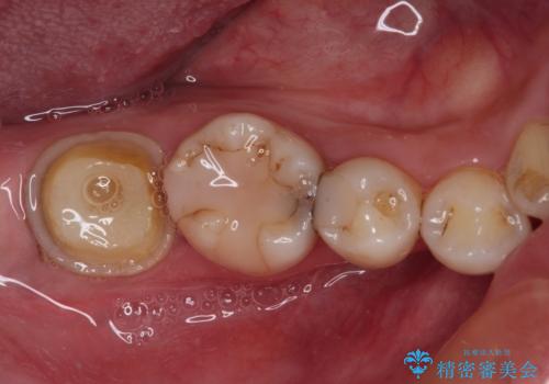
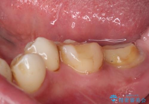
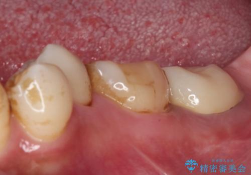
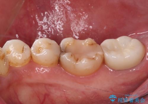
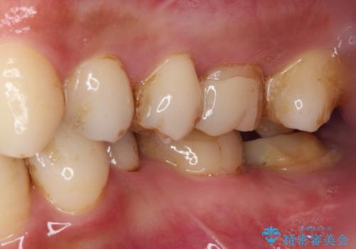
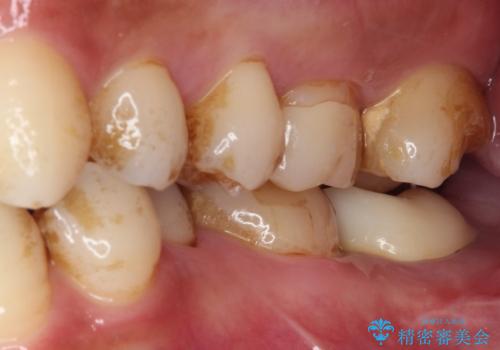
仮歯が途中外れることもなく、無事に補綴治療を行うことができました。
歯石や磨き残しなどが多いため、今後クリーニングを行っていきます。
セラミック治療の注意事項(リスク・副作用など)
- 天然歯を削ります
- 硬い素材は天然歯を傷つけてしまう場合があります
- かみ合わせや歯ぎしりが強すぎる方はセラミックが割れてしまう可能性があります
- 自費診療(保険適用外治療)となります
当サイトの内容、テキスト、画像等の無断転載、複製、複写、盗用を固く禁じます。




















