症例詳細
Case detail
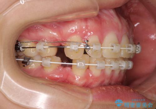
上顎前突 目立たないワイヤー装置での抜歯矯正
治療症例の内容
- 診療科目
- 治療カテゴリ
- 担当医
- 藤巻太一朗(ドクタープロフィール)
- 患者様
- 20代女性
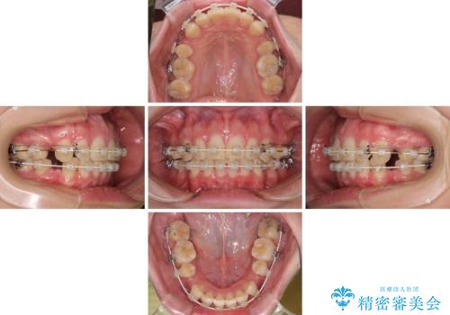
- 矯正装置
- 審美装置
- 治療期間
- 3年1ヶ月
- 治療回数
- 10-30回
- 治療計画
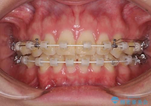
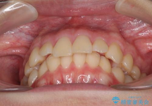
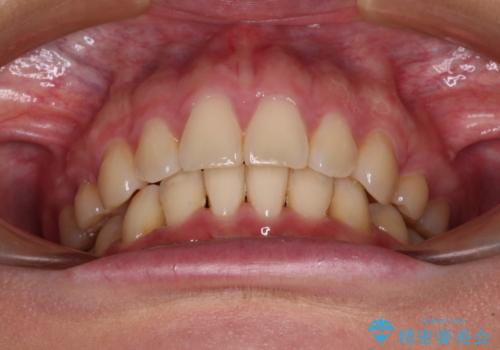
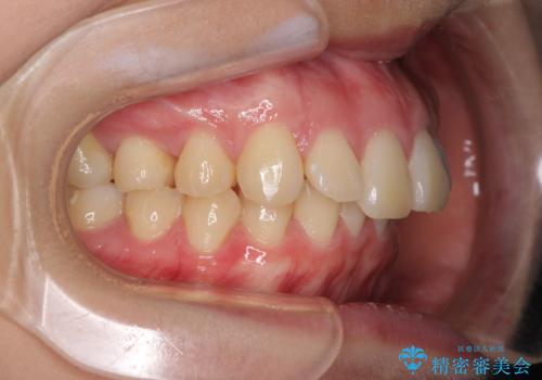
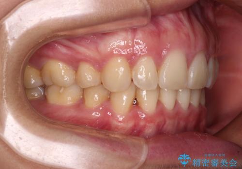
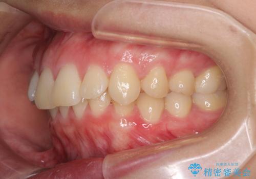
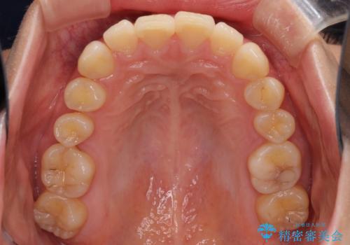
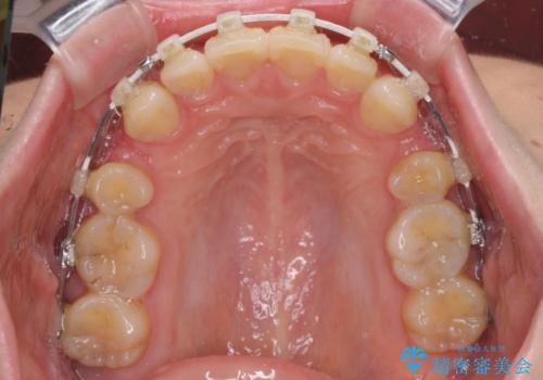
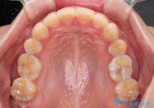
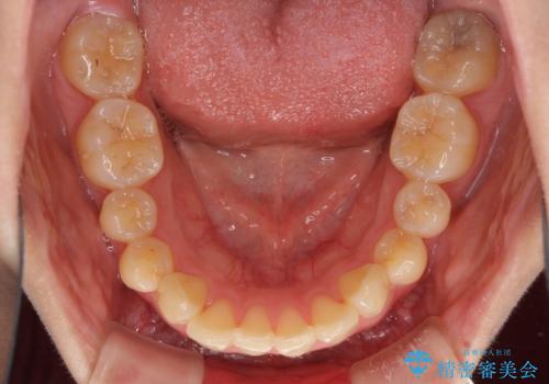
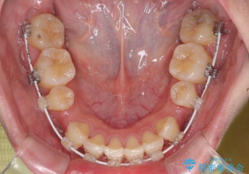
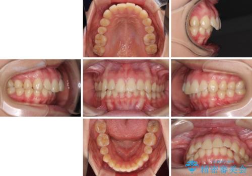
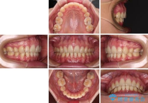
- 口元の突出感改善を希望して来院された患者様です。
口元を積極的に引っ込めるために、上下左右の小臼歯計4本を抜歯することとしました。
咬み合わせが深いため、咬み合わせの高さを向上させながら口元を下げることとしました。
- 費用(概算)
- 治療費の目安: 105万円(税込)費用は治療当時の料金となります
治療について
左右ともに下顎に対して上顎歯列が前方位にある上顎前突であったので、上顎歯列全体を後方に移動させることで上下咬み合わせを改善し、その上で抜歯矯正により口元の突出感を改善させていきました。
ワイヤー矯正の注意事項(リスク・副作用など)
- 治療中は違和感や痛みが起こることがあります
- 症状により、抜歯が必要な場合があります
- 治療中は歯磨きがしにくくなるため、虫歯や歯周病になりやすくなります
- 矯正治療後の保定が不十分だと後戻り(元の位置に戻ろうとする動き)をします
- 自費診療(保険適用外)となります
当サイトの内容、テキスト、画像等の無断転載、複製、複写、盗用を固く禁じます。


























