症例詳細
Case detail
【がたつき・深い噛み合わせでお悩みの方必見】抜歯矯正症例(審美ワイヤー矯正)
治療症例の内容
- 診療科目
- 担当医
- 奥村高広(ドクタープロフィール)
- 患者様
- 20代女性
- 矯正装置
- 審美装置(ブラケット:白/ワイヤー:白)
- 治療期間
- 2年6ヶ月
- 治療回数
- 10-30回
- 治療計画
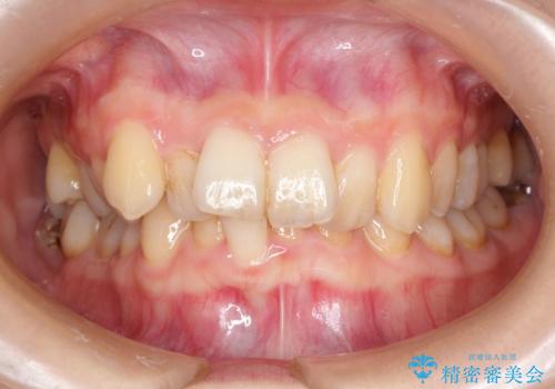
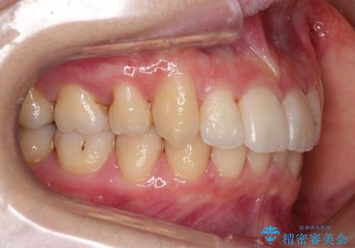
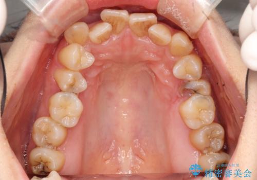
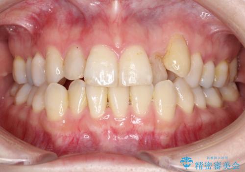
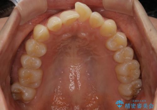
- 前歯の見た目の改善を希望され来院された患者様です。
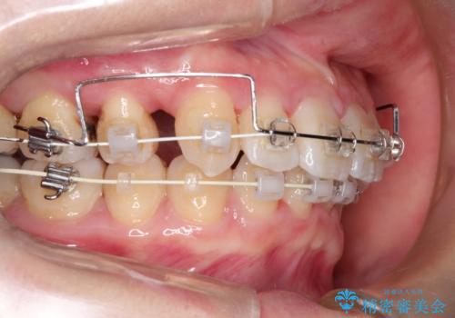
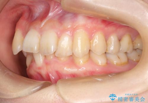
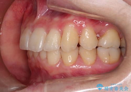
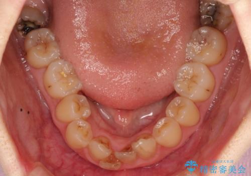
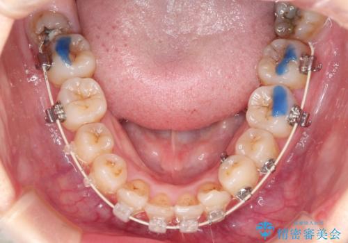
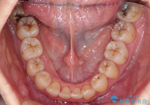
初診時の歯並びの状態としては、上下ともに前歯部の中等度のがたつきがあり、下の前歯は本来生えるはずの歯が2本生まれつき欠損している状態でした。
また、上顎の歯は虫歯で歯冠が崩壊してしまって保存不可能な歯がありました。
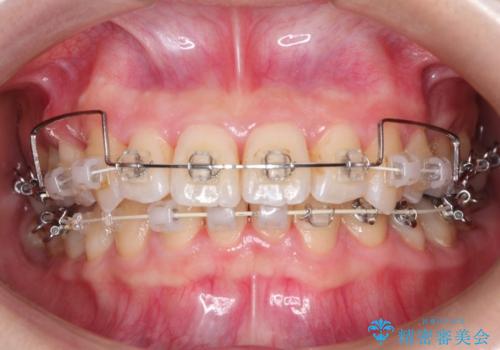
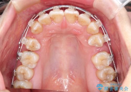
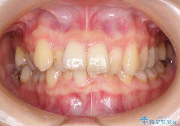
抜歯ありワイヤー矯正にて治療を行い、抜歯する歯に関しては虫歯で抜歯が必要な部分を有効活用することで、健康な歯を保存するように努めました。
噛み合わせが深い過蓋咬合という状態でもあったため、下の歯の装置をつけたり、嚙み合わせを上げる(下の歯が見える状態にする)ことにたいへんに苦労した症例でした。
- 費用(概算)
- 85万円 費用は治療当時の料金となります
治療について
当院では、模型分析やレントゲン分析のデータを基に治療方針を決めています。複数治療の選択肢がある場合は、すべての可能性ある治療方針を丁寧にご説明し、患者様のご意向に沿ったプランを選択するよう心がけております。
また、矯正治療を行うにあたり、虫歯や歯周病の検査も実施し、要治療部位は、矯正前に適切に処置いたします。
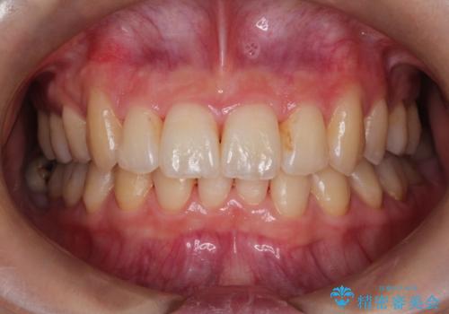
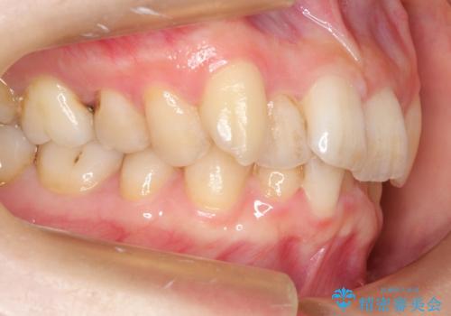
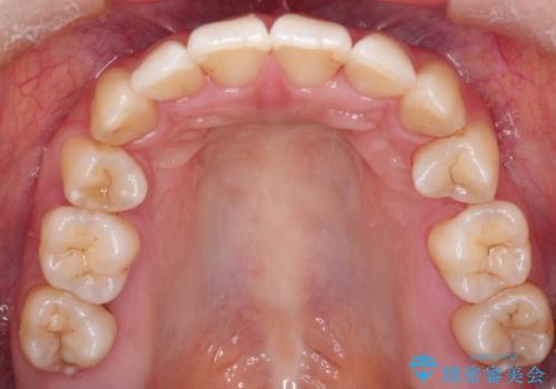
見た目、嚙み合わせ及び、治療期間や施術内容に大変ご満足いただきました。
ワイヤー矯正の注意事項(リスク・副作用など)
- 治療中は違和感や痛みが起こることがあります
- 症状により、抜歯が必要な場合があります
- 治療中は歯磨きがしにくくなるため、虫歯や歯周病になりやすくなります
- 矯正治療後の保定が不十分だと後戻り(元の位置に戻ろうとする動き)をします
- 自費診療(保険適用外)となります
当サイトの内容、テキスト、画像等の無断転載、複製、複写、盗用を固く禁じます。



















