症例詳細
Case detail
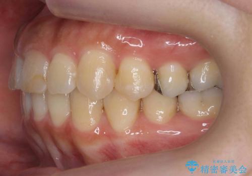
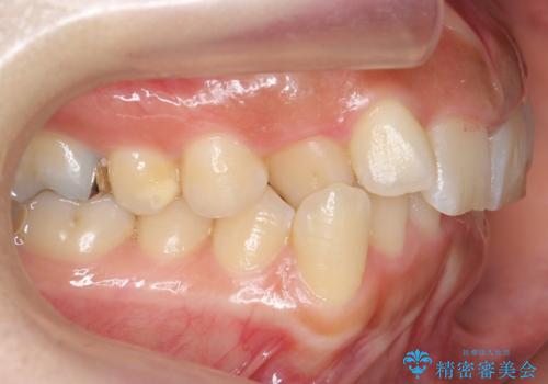
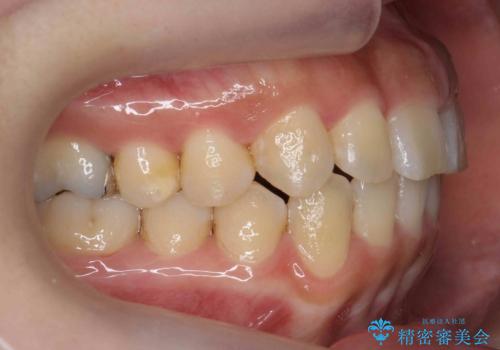
前歯のがたつき ガミースマイルの改善
治療症例の内容
- 担当医
- 井上季実子(ドクタープロフィール)
- 患者様
- 20代女性
- 矯正装置
- インビザライン
- 治療期間
- 1年5ヶ月
- 治療回数
- 10-30回
- 治療計画
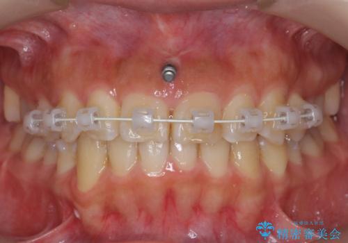
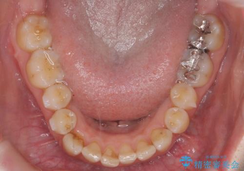
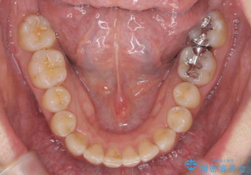
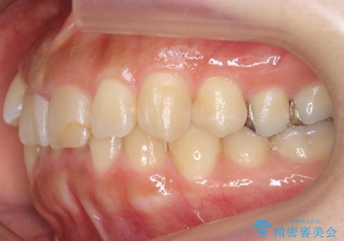
- 前歯のがたつきとガミースマイルの改善を希望して来院。
ガミーは非常に軽度でひどくはなかったのですが、改善を強く希望されていました。
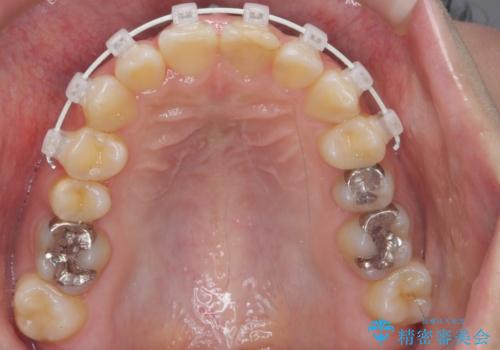
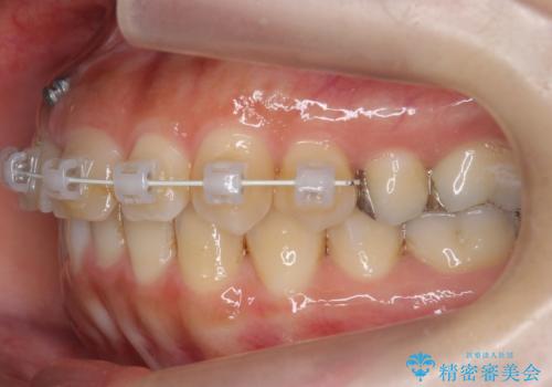
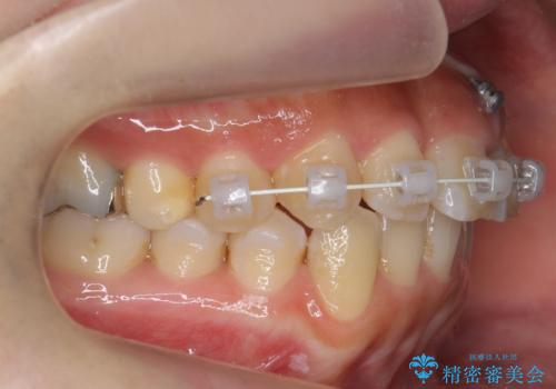
上の前歯をひっぱりあげて目立たなくするために、上の前歯のワイヤー部分矯正を行い、ミニスクリューからわずかに引っ張り上げました。
また、右上の犬歯の反対咬合についてもワイヤー矯正で短期間で改善することができました。
前歯の過蓋咬合についても改善しています。
- 費用(概算)
- 110万円(ワイヤー部分矯正 ミニスクリュー 16.5万円、全顎インビザライン 93.5万円)費用は治療当時の料金となります
治療について
前歯(犬歯)の反対咬合は改善はインビザラインですと時間がかかるため、ワイヤー矯正で短期間で入れ替えるほうが、患者様の負担が少なくて済みます。
入れ替える期間は前歯しか当たらない状態になり、大変食事もしにくくなるうえ、前歯にも負担がかかります。ワイヤーは少々目立ちますがおすすめです。
マウスピース矯正の注意事項(リスク・副作用など)
- 口腔内・歯並びの状態によっては対応できない場合があります
- マウスピース型矯正装置の長時間装着(1日20時間以上)が必須です
- 治療計画通りに進めるためには、患者様の意志が重要になります
- 矯正治療後の保定が不十分だと後戻り(元の位置に戻ろうとする動き)をします
- 薬機法対象外の矯正歯科装置のため医薬品副作用被害救済制度の対象外となる場合があります
- 自費診療(保険適用外)となります
ワイヤー矯正の注意事項(リスク・副作用など)
- 治療中は違和感や痛みが起こることがあります
- 症状により、抜歯が必要な場合があります
- 治療中は歯磨きがしにくくなるため、虫歯や歯周病になりやすくなります
- 矯正治療後の保定が不十分だと後戻り(元の位置に戻ろうとする動き)をします
- 自費診療(保険適用外)となります
当サイトの内容、テキスト、画像等の無断転載、複製、複写、盗用を固く禁じます。

















