症例詳細
Case detail
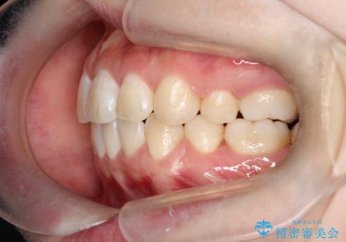
【審美ワイヤー】口ボコをなおしたい
治療症例の内容
- 担当医
- 河口智英(ドクタープロフィール)
- 患者様
- 20代女性
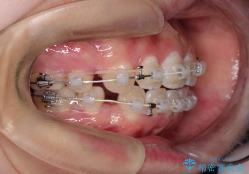
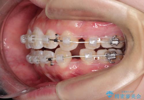
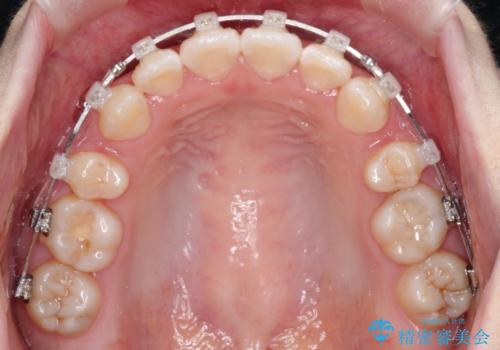
- 矯正装置
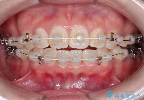
- 審美装置
- 治療期間
- 1年10ヶ月
- 治療計画
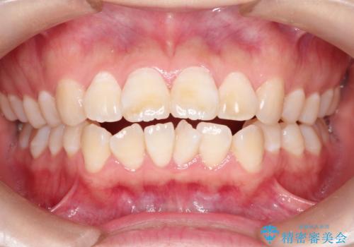
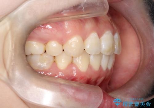
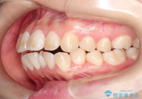
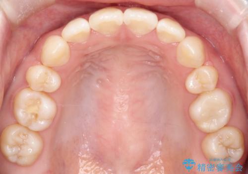
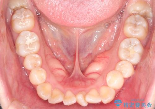
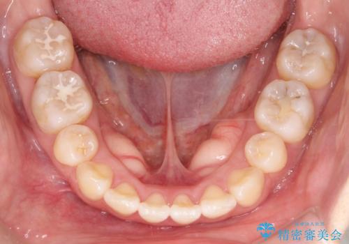
- ”口元を下げたい”が主訴で来院されました。
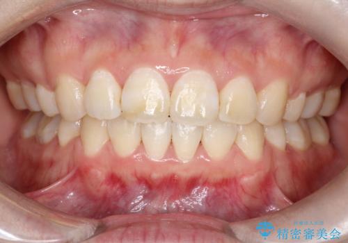
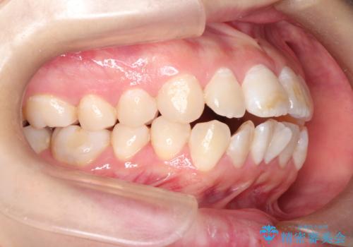
抜歯してワイヤー矯正を行い、口元も改善され大変満足していただきました。
- 費用(概算)
- 100万円費用は治療当時の料金となります
治療について
小臼歯の抜歯を行うことで口元を改善することができました。
ワイヤー矯正の注意事項(リスク・副作用など)
- 治療中は違和感や痛みが起こることがあります
- 症状により、抜歯が必要な場合があります
- 治療中は歯磨きがしにくくなるため、虫歯や歯周病になりやすくなります
- 矯正治療後の保定が不十分だと後戻り(元の位置に戻ろうとする動き)をします
- 自費診療(保険適用外)となります
当サイトの内容、テキスト、画像等の無断転載、複製、複写、盗用を固く禁じます。

















