症例詳細
Case detail
欠損と痛み 奥歯のむし歯治療
治療症例の内容
- 診療科目
- 担当医
- 藤巻太一朗(ドクタープロフィール)
- 患者様
- 30代男性
- 治療期間
- 4ヶ月
- 治療回数
- 2-5回
- 治療計画
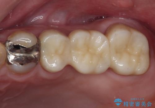
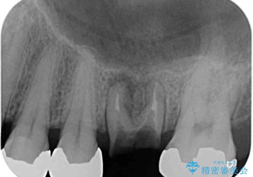
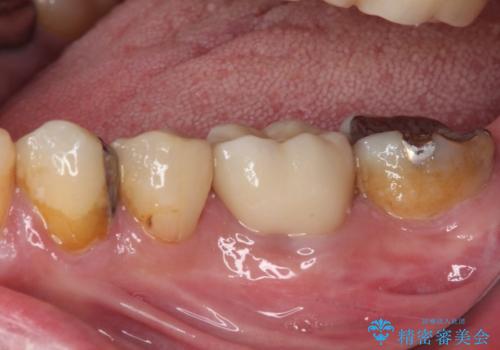
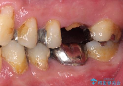
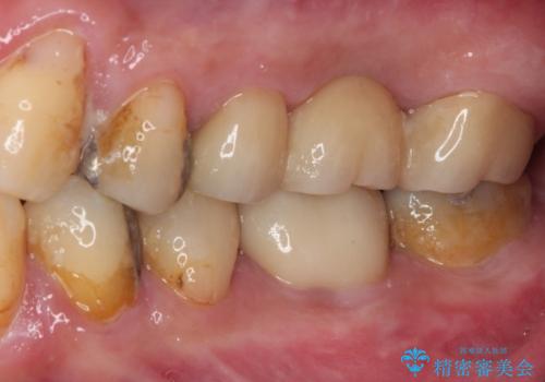
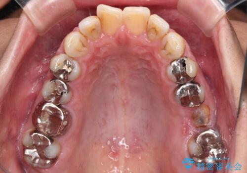
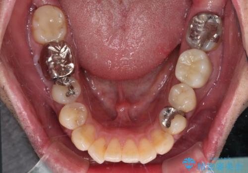
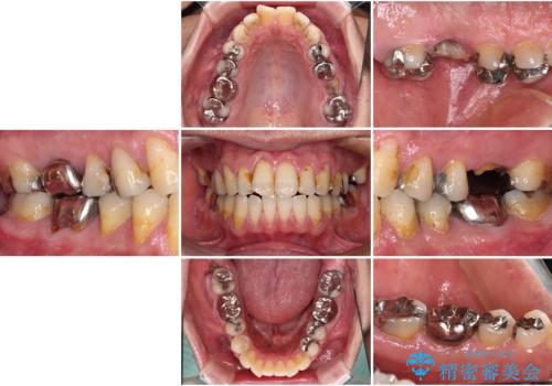
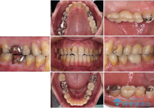
- 根っこの一部だけになった歯と咬むと痛みのある歯を気にして来院された患者様です。
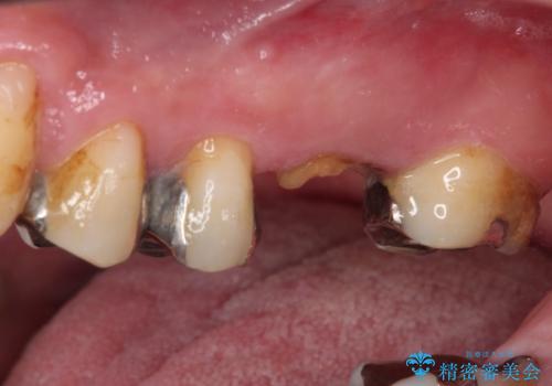
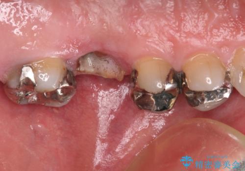
上顎の歯根のみとなった歯は抜歯が必要であったので、抜歯を行い、インプラントあるいはブリッジのよる補綴治療を提案しました。
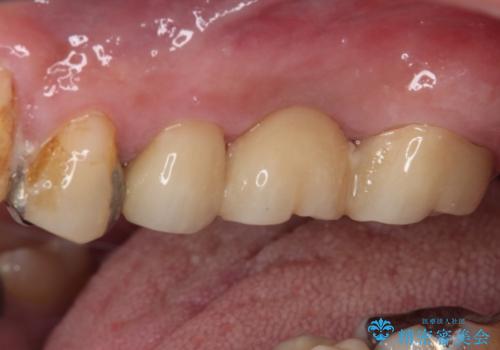
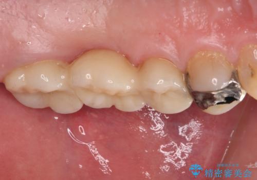
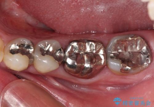
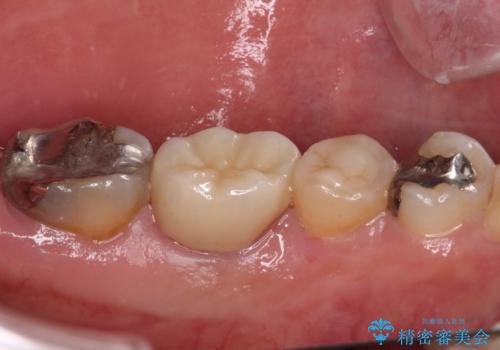
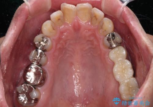
前後の歯は銀歯が装着されていたため、ブリッジによる補綴治療として、前後の歯もセラミックに置き換えることとしました。
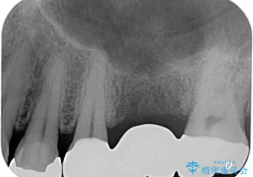
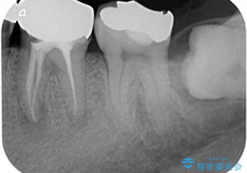
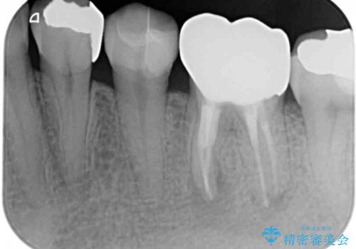
下顎の根管治療がされた大臼歯は咬合時に痛みが認められたため、再度根管治療を行った後に補綴治療することとしました。
- 費用(概算)
- 治療費の目安: 60万円(税込)費用は治療当時の料金となります
治療について
歯根のみとなっていた上顎の歯は、そのうち治療すれば残せるであろうと思っていたようですが、どこの歯医者に相談しても抜歯と言われたため、抜歯することとしたようです。
むし歯は放置して改善することはあり得ませんので、早めの処置が大切です。
セラミック治療の注意事項(リスク・副作用など)
- 天然歯を削ります
- 硬い素材は天然歯を傷つけてしまう場合があります
- かみ合わせや歯ぎしりが強すぎる方はセラミックが割れてしまう可能性があります
- 自費診療(保険適用外治療)となります
当サイトの内容、テキスト、画像等の無断転載、複製、複写、盗用を固く禁じます。
























