症例詳細
Case detail
楽してクロスバイトを治したい ワイヤー装置による矯正治療
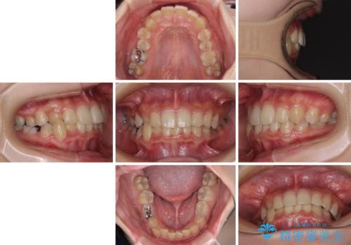
治療症例の内容
- 担当医
- 藤巻太一朗(ドクタープロフィール)
- 患者様
- 20代女性
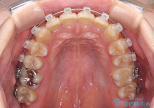
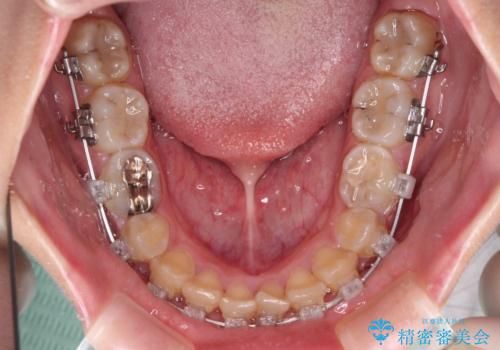
- 矯正装置
- クリアブラケット
- 治療期間
- 1年2ヶ月
- 治療回数
- 10-30回
- 治療計画
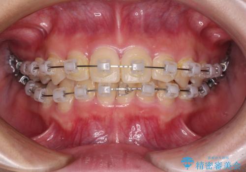
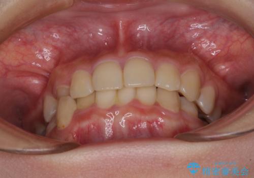
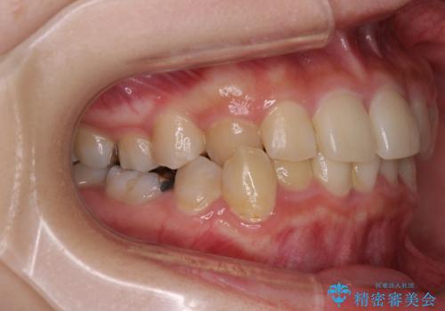
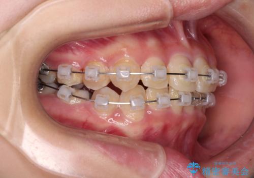
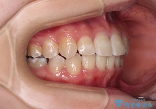
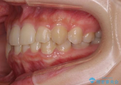
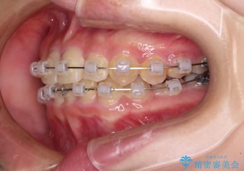
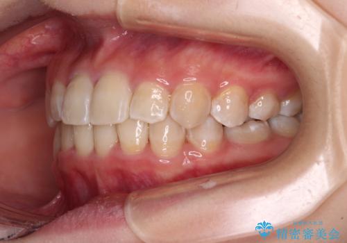
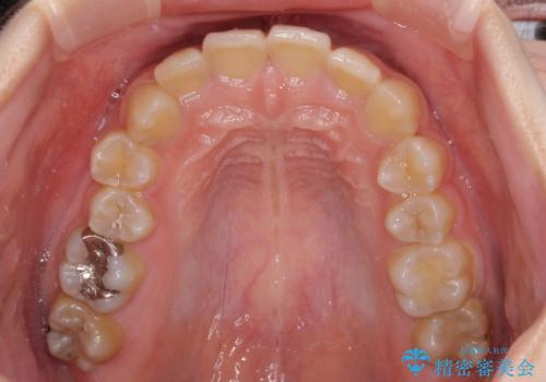
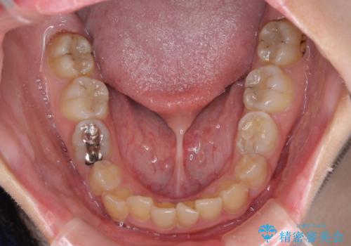
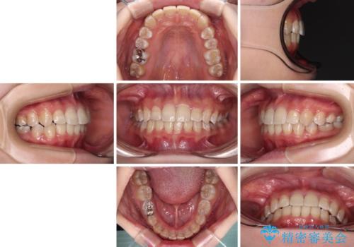
- 犬歯のクロスバイトを気にして来院された患者様です。
マウスピース矯正とワイヤー矯正の両方を提案しましたが、インビザラインの自己管理が煩わしいとのことで、ワイヤー装置による矯正治療を行うこととしました。
- 費用(概算)
- 治療費の目安: 90万円(税込)費用は治療当時の料金となります
治療について
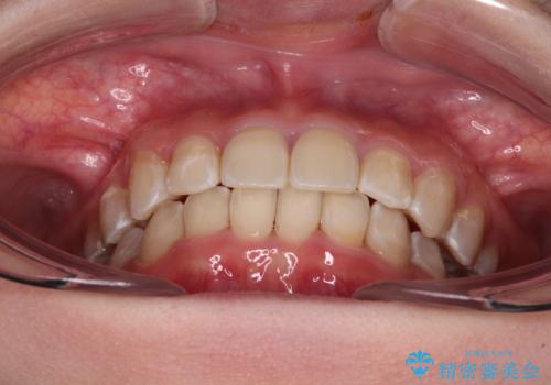
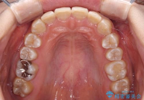
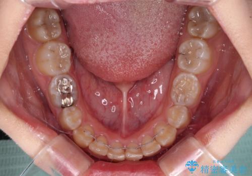
犬歯は歯根が太くて長いため、クロスバイトを改善するのは大変であることが多いですが、比較的スムーズに改善することができました。
インビザラインであったら、もっと期間はかかっていたような印象です。
ワイヤー矯正の注意事項(リスク・副作用など)
- 治療中は違和感や痛みが起こることがあります
- 症状により、抜歯が必要な場合があります
- 治療中は歯磨きがしにくくなるため、虫歯や歯周病になりやすくなります
- 矯正治療後の保定が不十分だと後戻り(元の位置に戻ろうとする動き)をします
- 自費診療(保険適用外)となります
当サイトの内容、テキスト、画像等の無断転載、複製、複写、盗用を固く禁じます。


























