症例詳細
Case detail
変色した前歯をオールセラミッククラウンで自然な口元に
治療症例の内容
- 診療科目
- 治療カテゴリ
- 担当医
- 藤巻太一朗(ドクタープロフィール)
- 患者様
- 50代女性
- 治療期間
- 1ヶ月
- 治療回数
- 2-5回
- 治療計画
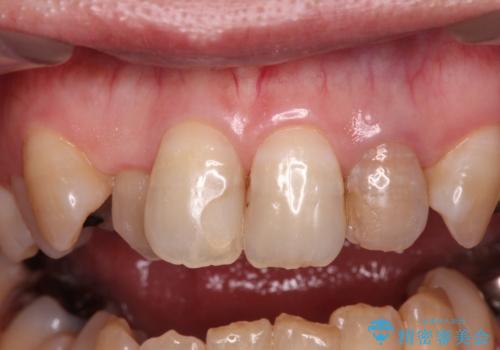
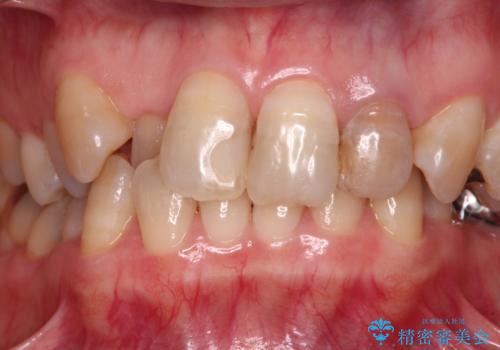
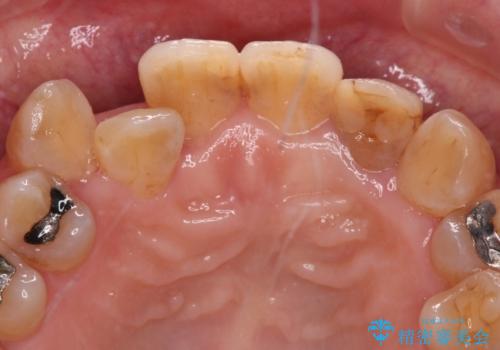
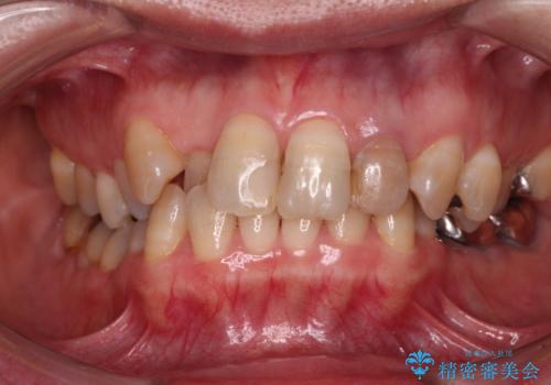
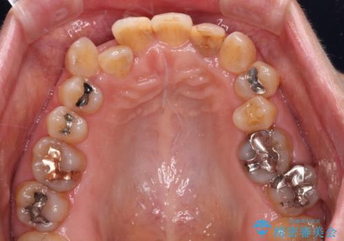
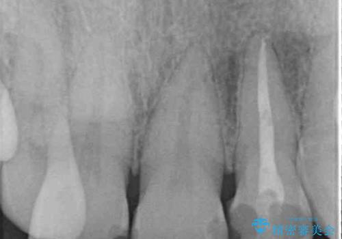
- 20年以上前に神経を取り除いた前歯の変色が気になるとのことで来院された患者様です。
レントゲン写真より、歯根の炎症が認められなかったため、ファイバーコアによる土台築製後、オールセラミッククラウンにて補綴することとしました。
また、真ん中の前歯はコンポジットレジンによる修復跡が目立っており、合わせてオールセラミッククラウンにて治療することとしました。
- 費用(概算)
- 治療費の目安: 25万円(税込)費用は治療当時の料金となります
治療について
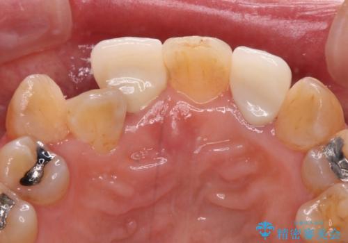
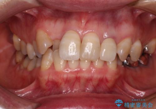
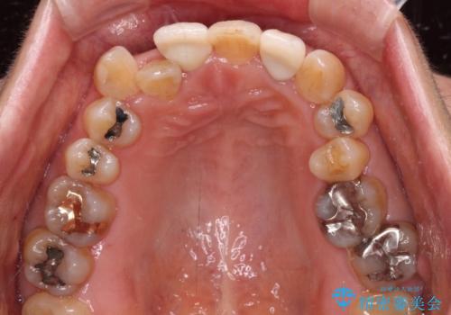
歯に独特の縞模様があり、さらに特徴的な色合いであったため、コンポジットレジンによる修復では対応が困難でした。
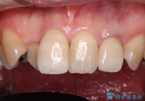
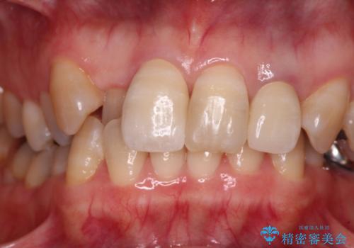
オールセラミッククラウンは周囲の歯よりもやや白く製作し手降りますが、今後はご自身でホワイトニングをして明るい色調で整えるとのことでした。
セラミック治療の注意事項(リスク・副作用など)
- 天然歯を削ります
- 硬い素材は天然歯を傷つけてしまう場合があります
- かみ合わせや歯ぎしりが強すぎる方はセラミックが割れてしまう可能性があります
- 自費診療(保険適用外治療)となります
当サイトの内容、テキスト、画像等の無断転載、複製、複写、盗用を固く禁じます。














