症例詳細
Case detail
【モニター】前歯のクロスバイトと隙間を改善 インビザラインによる矯正治療
治療症例の内容
- 患者様
- 20代男性
- 矯正装置
- インビザライン
- 治療期間
- 1年6ヶ月
- 治療回数
- 10-30回
- 治療計画
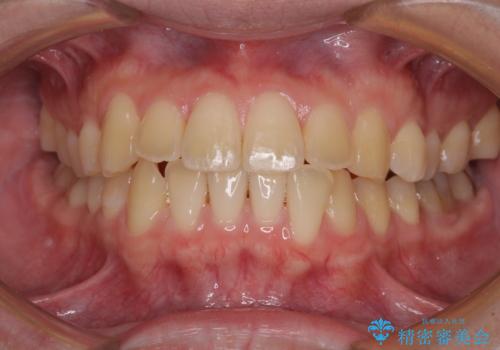
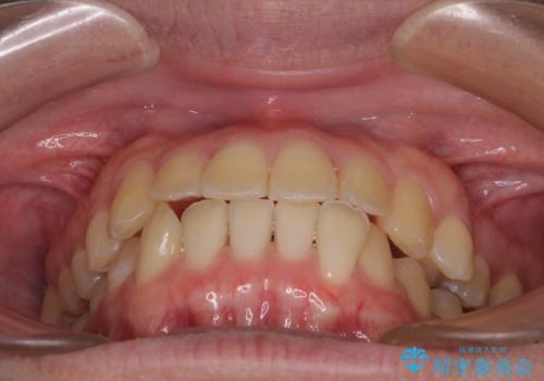
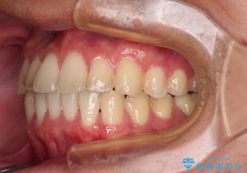
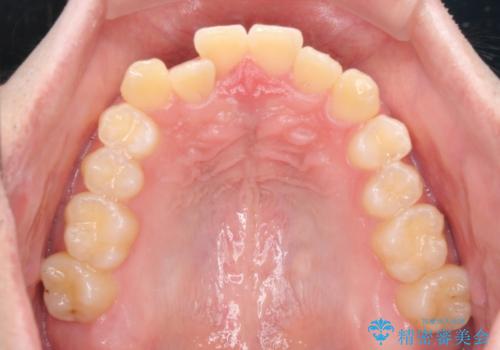
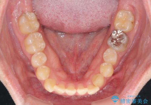
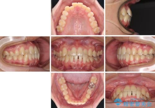
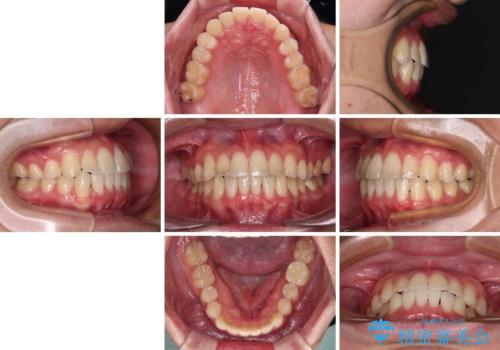
- 前歯のクロスバイトを気にして来院された患者様です。
骨格的には問題がなかったため、インビザラインを用いて咬み合わせを改善していくこととしました。
- 費用(概算)
- 治療費の目安: 66万円(税込)費用は治療当時の料金となります
※顔写真掲載にあたり、患者様の了解を得ております
治療について
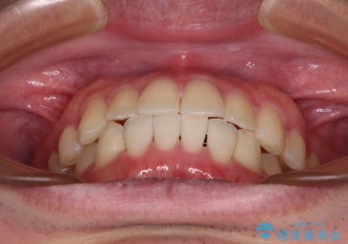
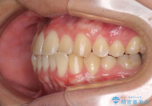
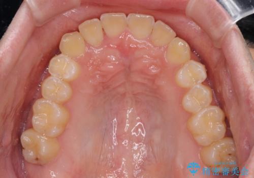
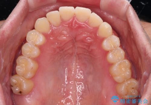
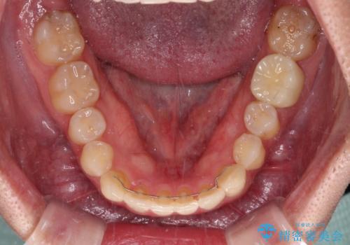
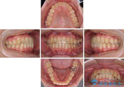
インビザライン特有の、奥歯の咬み合わせの問題もなく、しっかりと歯列を改善することができました。
舌側転位している上顎側切歯(内側に引っ込んでいる真ん中から2番目の歯)は、インビザラインが最も移動を苦手とする歯であり、これ以上の改善を望まれる場合にはワイヤー矯正、あるいはワイヤー矯正の併用をお勧めいたします。
マウスピース矯正の注意事項(リスク・副作用など)
- 口腔内・歯並びの状態によっては対応できない場合があります
- マウスピース型矯正装置の長時間装着(1日20時間以上)が必須です
- 治療計画通りに進めるためには、患者様の意志が重要になります
- 矯正治療後の保定が不十分だと後戻り(元の位置に戻ろうとする動き)をします
- 薬機法対象外の矯正歯科装置のため医薬品副作用被害救済制度の対象外となる場合があります
- 自費診療(保険適用外)となります
当サイトの内容、テキスト、画像等の無断転載、複製、複写、盗用を固く禁じます。



























