症例詳細
Case detail
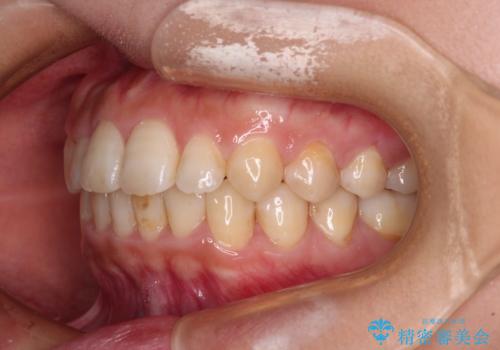
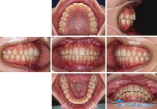
前歯のクロスバイト 目立たないワイヤー装置で速やかに矯正治療
治療症例の内容
- 診療科目
 
- 治療カテゴリ
 
- 担当医
 - 藤巻太一朗(ドクタープロフィール)
 
- 患者様
 - 20代女性
 
- 矯正装置
 - 審美装置
 
- 治療期間
 - 1年4ヶ月
 
- 治療回数
 - 10-30回
 
- 治療計画
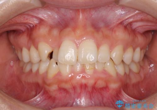
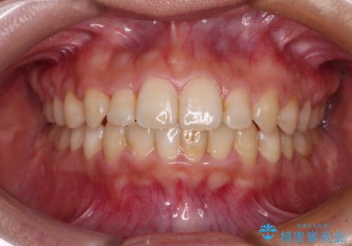
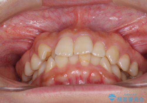
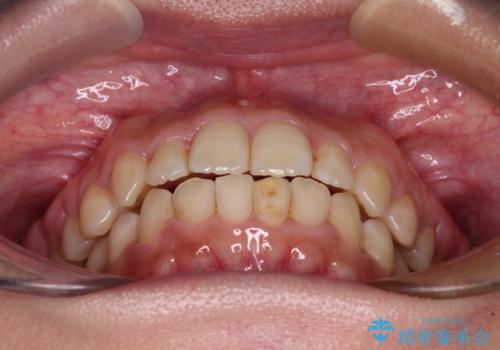
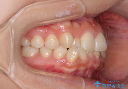
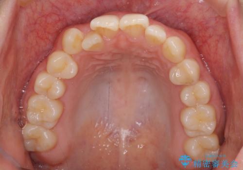
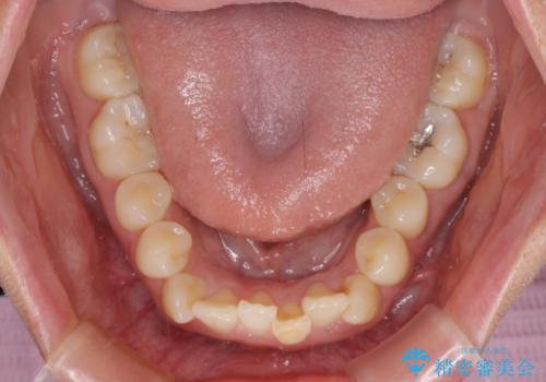
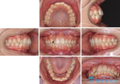
 - 前歯のクロスバイトを気にして来院された患者様です。
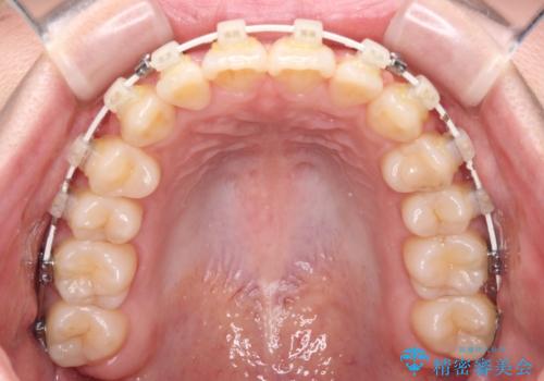
治療方法としては、マウスピース矯正(インビザライン)でもワイヤー矯正でも、何でも対応可能ですが、自己管理の煩わしさがなく、治療期間の目処を立てやすい表側のワイヤー矯正にて治療を行うこととしました。
 
- 費用(概算)
 - 治療費の目安: 85万円(税込)費用は治療当時の料金となります
 
治療について
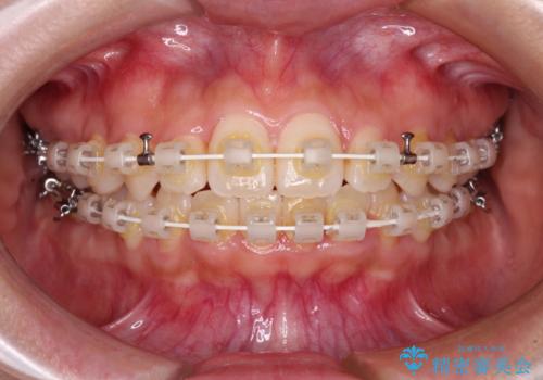
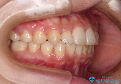
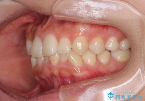
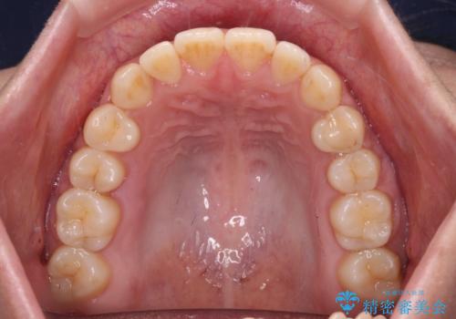
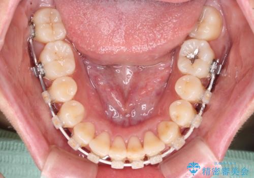
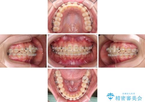
治療前にお伝えした治療期間は1~1年半でして、1年4か月の期間で終えることができました。
ワイヤー矯正は見た目や装置が当たることでの痛みを気にされる方が多いですが、月1回来院して処置をしてもらうだけで歯並びが整うため、大変お勧めです。
ワイヤー矯正の注意事項(リスク・副作用など)
- 治療中は違和感や痛みが起こることがあります
 - 症状により、抜歯が必要な場合があります
 - 治療中は歯磨きがしにくくなるため、虫歯や歯周病になりやすくなります
 - 矯正治療後の保定が不十分だと後戻り(元の位置に戻ろうとする動き)をします
 - 自費診療(保険適用外)となります
 
当サイトの内容、テキスト、画像等の無断転載、複製、複写、盗用を固く禁じます。

                      
                                                          
























