症例詳細
Case detail
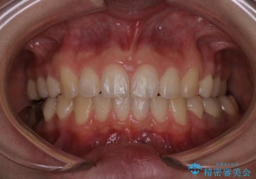
出っ歯の矯正 抜歯をしてしっかり引っ込めるワイヤー矯正
治療症例の内容
- 担当医
- 患者様
- 20代女性
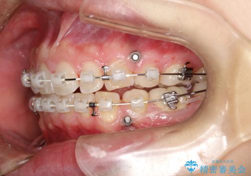
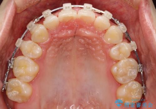
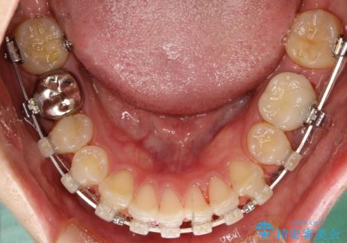
- 矯正装置
- 審美装置
- 治療期間
- 1年6ヶ月
- 治療回数
- 10-30回
- 治療計画
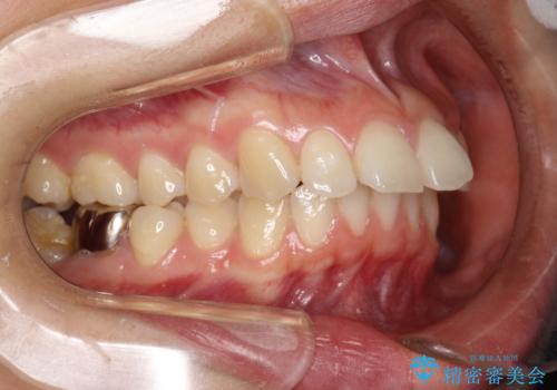
- 出っ歯を気にして来院されました。
しっかり前歯を下げるために抜歯を合計3本行いワイヤーにて矯正を行う計画としました。
- 費用(概算)
- 約99万円費用は治療当時の料金となります
治療について
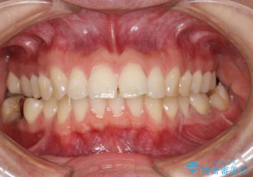
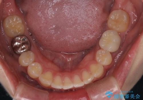
見た目もよくなり、口も閉じるようになったと満足していただけました。
予定よりも早く終了することができたことにも喜んでいただけました。
ワイヤー矯正の注意事項(リスク・副作用など)
- 治療中は違和感や痛みが起こることがあります
- 症状により、抜歯が必要な場合があります
- 治療中は歯磨きがしにくくなるため、虫歯や歯周病になりやすくなります
- 矯正治療後の保定が不十分だと後戻り(元の位置に戻ろうとする動き)をします
- 自費診療(保険適用外)となります
当サイトの内容、テキスト、画像等の無断転載、複製、複写、盗用を固く禁じます。




















