症例詳細
Case detail
前歯のすれ違いによる歯周病を矯正治療で改善
治療症例の内容
- 治療カテゴリ
- 担当医
- 大元洋佑(ドクタープロフィール)
- 患者様
- 50代女性
- 治療期間
- 1年6ヶ月
- 治療回数
- 10-30回
- 治療計画
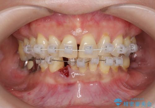
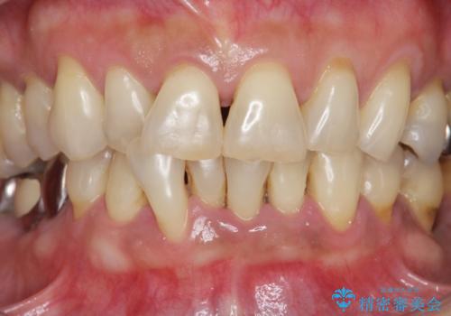
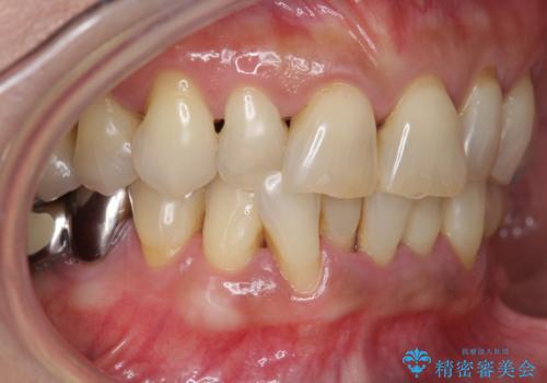
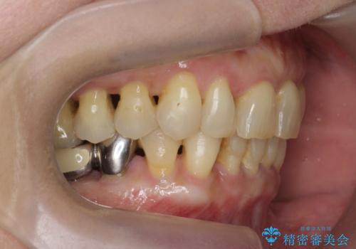
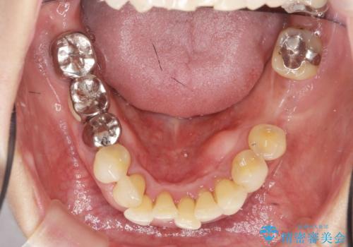
- 下顎前歯のグラつきがどんどん悪くなり、痛くて噛めなくなってきたことの改善を希望され来院されました。
下顎前歯の1本は前歯よりも前に出てしまい後ろからの力を受けることで、周囲の骨も吸収しグラつきも大きくみられます。
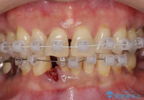
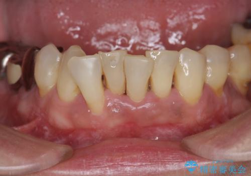
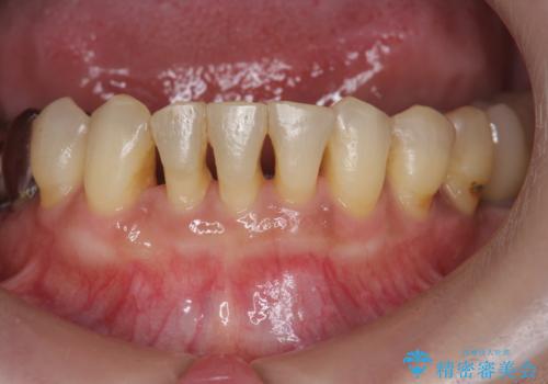
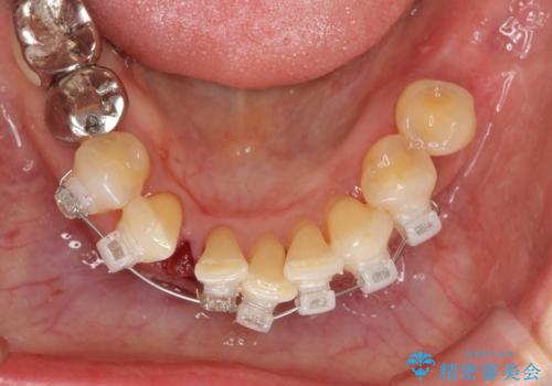
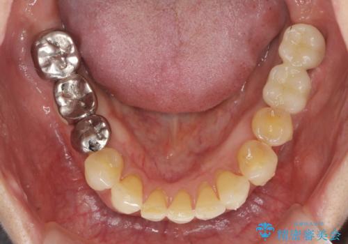
通常 抜歯後はインプラントやブリッジといった方法で欠損部位の機能や審美性を回復しますが、今回は臨在する歯のガタつきも利用し上下の歯を矯正治療することで人工物を装着することなく歯を並べます。
- 費用(概算)
- 66万円(前歯部分の矯正治療代として)費用は治療当時の料金となります
治療について
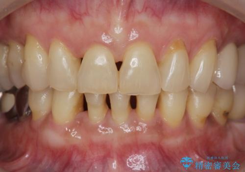
矯正治療を行うことで、歯を削ったり(ブリッジ)、手術の必要(インプラント)なく機能を欠損部位を無くし機能回復を達成することができました。
ワイヤー矯正の注意事項(リスク・副作用など)
- 治療中は違和感や痛みが起こることがあります
- 症状により、抜歯が必要な場合があります
- 治療中は歯磨きがしにくくなるため、虫歯や歯周病になりやすくなります
- 矯正治療後の保定が不十分だと後戻り(元の位置に戻ろうとする動き)をします
- 自費診療(保険適用外)となります
当サイトの内容、テキスト、画像等の無断転載、複製、複写、盗用を固く禁じます。














