症例詳細
Case detail
歯周外科で達成する安定したクラウン周囲の歯肉環境
治療症例の内容
- 担当医
- 大元洋佑(ドクタープロフィール)
- 患者様
- 30代女性
- 治療期間
- 8ヶ月
- 治療回数
- 5-10回
- 治療計画
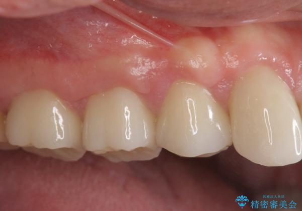
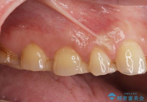
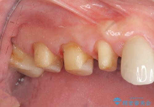
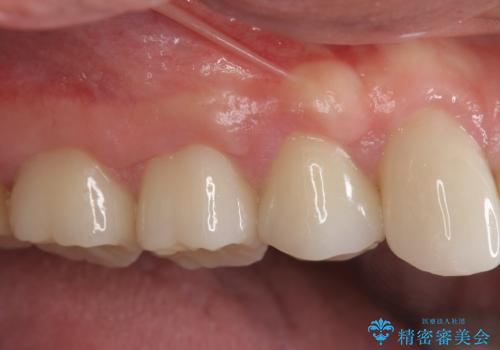
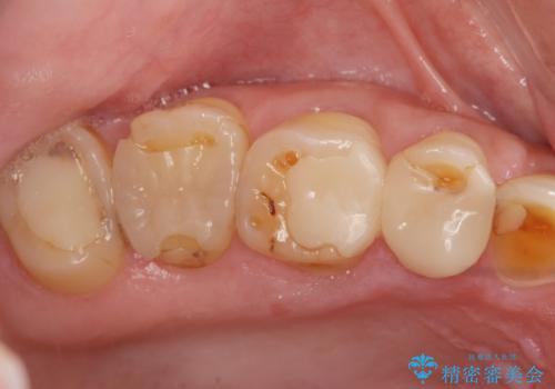
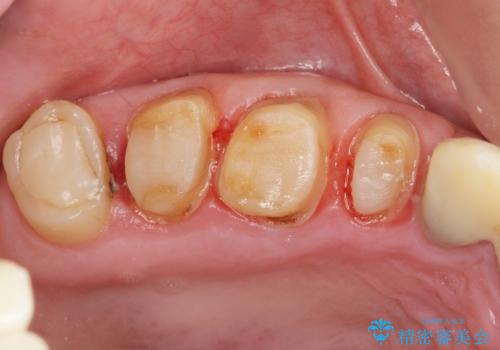
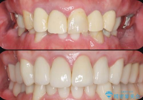
- 重度の歯ぎしり癖で歯がすり減り、見た目・噛み合わせの改善とこれ以上すり減る前の処置を希望され来院されました。
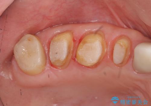
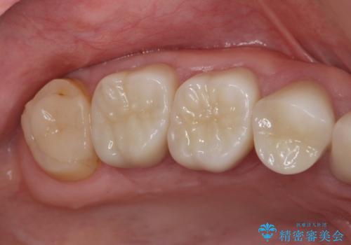
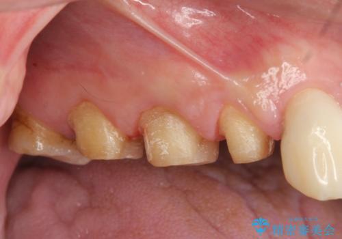
 高さが短くなってしまった歯は、安定したクラウンを作るのが難しいため歯ぐきを下げる歯周外科を行ったのちに強度に優れるフルジルコニアクラウンで補綴治療を行います。
- 費用(概算)
- 37.3万円(仮歯・フルジルコニアクラウン×3・歯周外科)費用は治療当時の料金となります
治療について
すり減ってしまった歯に対し、歯冠長延長術(歯周外科)を行うことで安定したクラウンを製作・装着することが出来ました。
セラミック治療の注意事項(リスク・副作用など)
- 天然歯を削ります
- 硬い素材は天然歯を傷つけてしまう場合があります
- かみ合わせや歯ぎしりが強すぎる方はセラミックが割れてしまう可能性があります
- 自費診療(保険適用外治療)となります
外科処置の注意事項(リスク・副作用など)
- 外科手術のため、術後に出血、痛みや腫れ、違和感を伴います
- 口腔内の状態によっては適応できないことがあります
当サイトの内容、テキスト、画像等の無断転載、複製、複写、盗用を固く禁じます。








 
                       
                                                          













 
                   
                   
                  