症例詳細
Case detail
劣化してきた前歯ラミネートをジルコニアクラウンへ
治療症例の内容
- 診療科目
- 治療カテゴリ
- 担当医
- 大元洋佑(ドクタープロフィール)
- 患者様
- 50代女性
- 治療期間
- 1ヶ月
- 治療回数
- 2-5回
- 治療計画
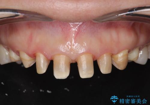
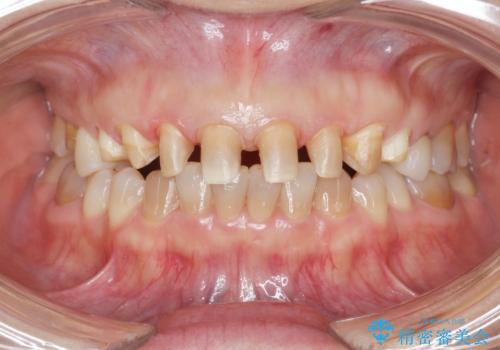
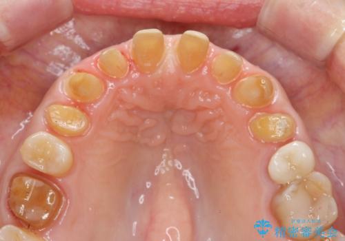
- 十数年前に行った、前歯のラミネートベニアの継ぎ目が見えるようになってきて見た目が気になる。
この際もう一度ラミネートでやり替えるのではなく、強度にも優れるクラウンにしたいと希望され来院されました。
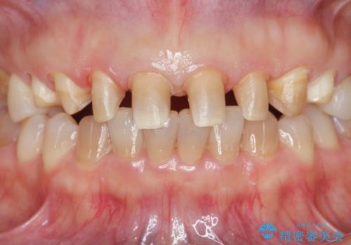
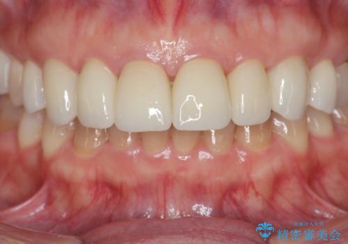
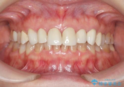
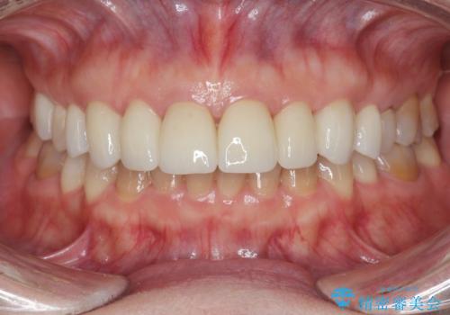
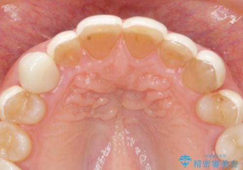
ラミネートを丁寧に除去したのち、ジルコニアクラウンを作製し審美性の回復・向上を計画します。
- 費用(概算)
- 88万円(仮歯・ジルコニアクラウン×8)費用は治療当時の料金となります
治療について
ラミネートよりもより透明感の再現性の高いジルコニアクラウンの出来に喜んでいただくことが出来ました。
セラミック治療の注意事項(リスク・副作用など)
- 天然歯を削ります
- 硬い素材は天然歯を傷つけてしまう場合があります
- かみ合わせや歯ぎしりが強すぎる方はセラミックが割れてしまう可能性があります
- 自費診療(保険適用外治療)となります
当サイトの内容、テキスト、画像等の無断転載、複製、複写、盗用を固く禁じます。













