症例詳細
Case detail
【メタルフリー】矯正後に歯を白くしたい。
治療症例の内容
- 診療科目
 
- 治療カテゴリ
 
- 担当医
 - 河口智英(ドクタープロフィール)
 
- 患者様
 - 30代女性
 
- 治療期間
 - 1ヶ月
 
- 治療回数
 - 2-5回
 
- 治療計画
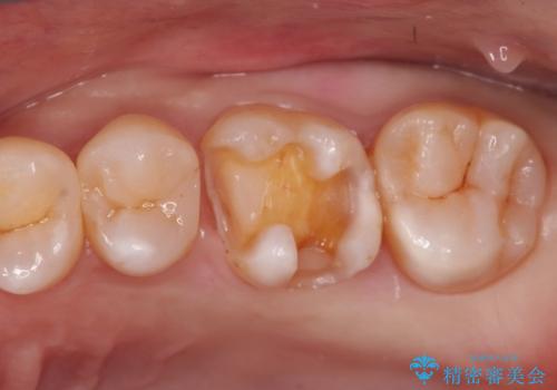
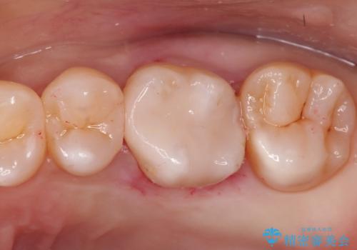
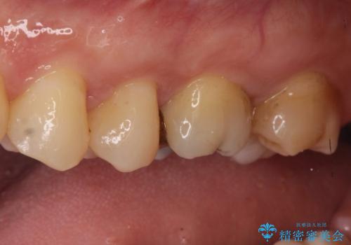
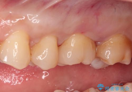
 - 矯正終了後にメタルフリーの治療を希望された患者様です。
セラミックインレーにて修復治療を行なっております。 
- 費用(概算)
 - 7万円費用は治療当時の料金となります
 
治療について
セラミックインレーのセット時にはラバーダムを用い防湿に気をつけて処置をしております。
セラミック治療の注意事項(リスク・副作用など)
- 天然歯を削ります
 - 硬い素材は天然歯を傷つけてしまう場合があります
 - かみ合わせや歯ぎしりが強すぎる方はセラミックが割れてしまう可能性があります
 - 自費診療(保険適用外治療)となります
 
当サイトの内容、テキスト、画像等の無断転載、複製、複写、盗用を固く禁じます。

                      
                                                          





