症例詳細
Case detail
出っ歯の矯正 ワイヤーによる抜歯矯正での改善
治療症例の内容
- 診療科目
- 担当医
- 患者様
- 20代女性
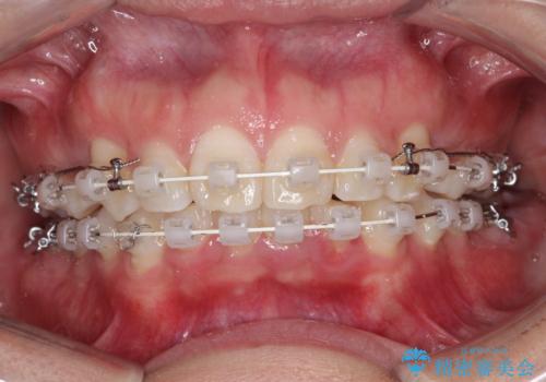
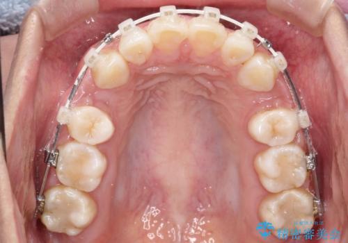
- 矯正装置
- 審美装置
- 治療期間
- 2年3ヶ月
- 治療回数
- 10-30回
- 治療計画
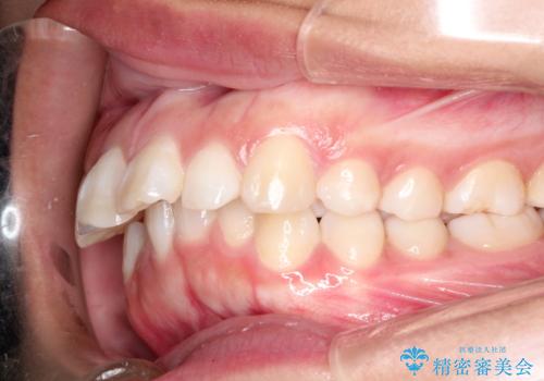
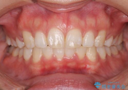
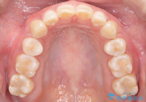
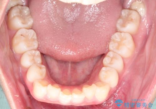
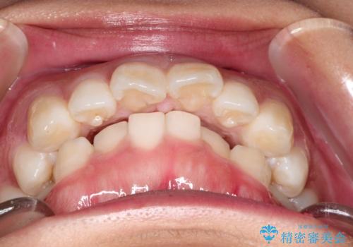
- 出っ歯を主訴に来院されました。
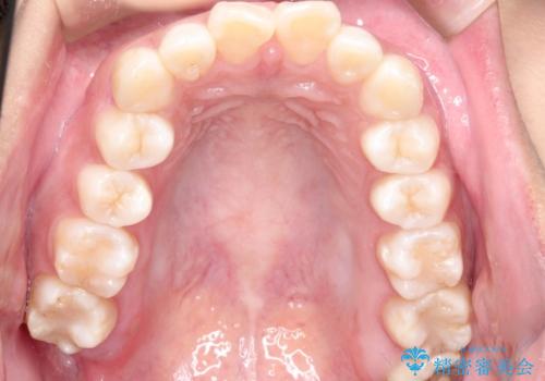
下の歯並びに対して、上の歯が全体的に前方に位置している状態でした。
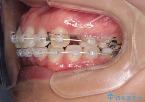
上の歯の前から4番目の歯を2本抜歯して、そのスペースに前歯を移動させて、前歯を引っ込める計画としました。
- 費用(概算)
- 約110万円費用は治療当時の料金となります
治療について
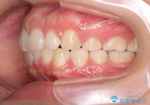
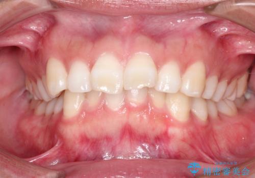
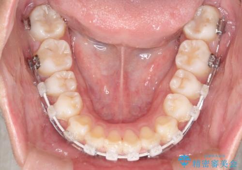
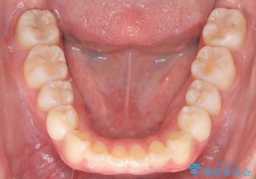
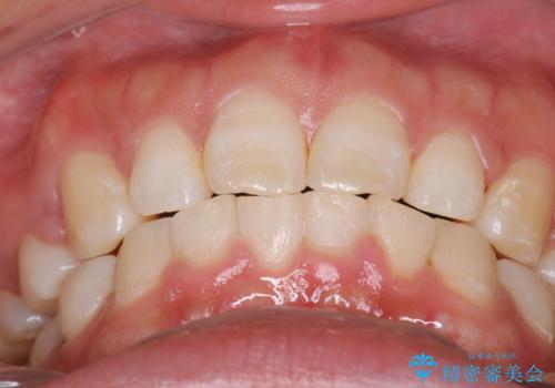
抜歯をすることでしっかり前歯を後方に移動させて、引っ込めることができました。
ワイヤー矯正の注意事項(リスク・副作用など)
- 治療中は違和感や痛みが起こることがあります
- 症状により、抜歯が必要な場合があります
- 治療中は歯磨きがしにくくなるため、虫歯や歯周病になりやすくなります
- 矯正治療後の保定が不十分だと後戻り(元の位置に戻ろうとする動き)をします
- 自費診療(保険適用外)となります
当サイトの内容、テキスト、画像等の無断転載、複製、複写、盗用を固く禁じます。



















