症例詳細
Case detail
むし歯だらけの前歯をきれいにしたい オールセラミッククラウンによる審美歯科治療
治療症例の内容
- 診療科目
- 治療カテゴリ
- 担当医
- 藤巻太一朗(ドクタープロフィール)
- 患者様
- 20代男性
- 治療期間
- 1ヶ月
- 治療回数
- 2-5回
- 治療計画
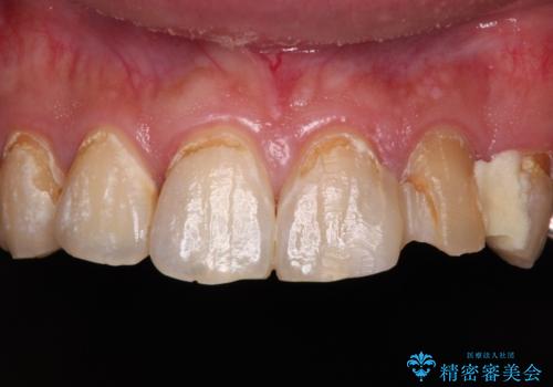
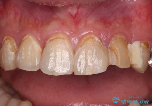
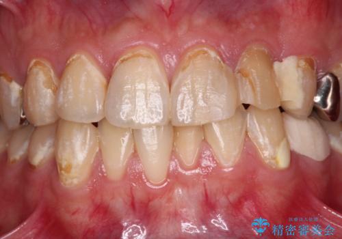
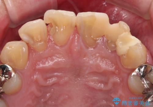
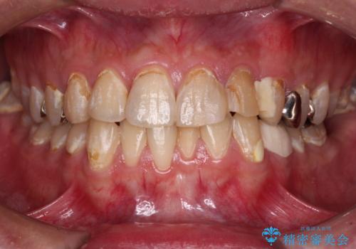
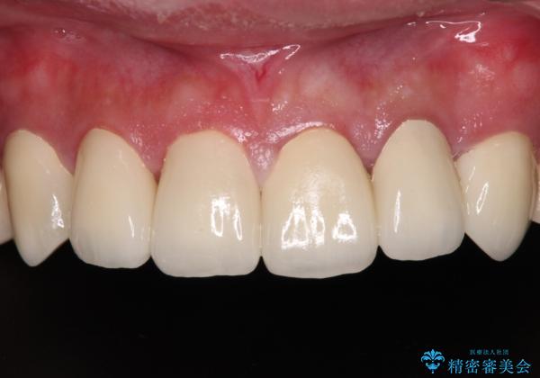
- むし歯の影響で、前歯を見せることが恥ずかしいとのことで来院された患者様です。
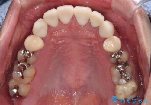
全顎的にむし歯が多く、治療が必要な歯はたくさんありましたが、まずは非常に目立つ前歯から処置を行うこととしました。
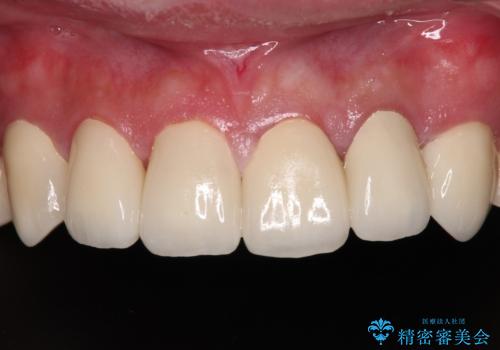
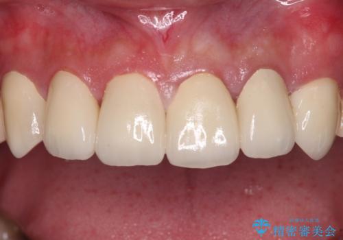
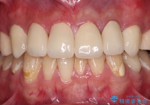
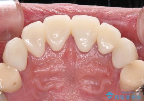
むし歯は歯肉内にまで進行していると外科処置が必要となりますが、ギリギリの位置でとどまっていたため、速やかにオールセラミッククラウンにて補綴治療することとしました。
- 費用(概算)
- 治療費の目安: 80万円(税込)費用は治療当時の料金となります
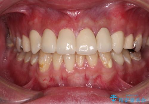
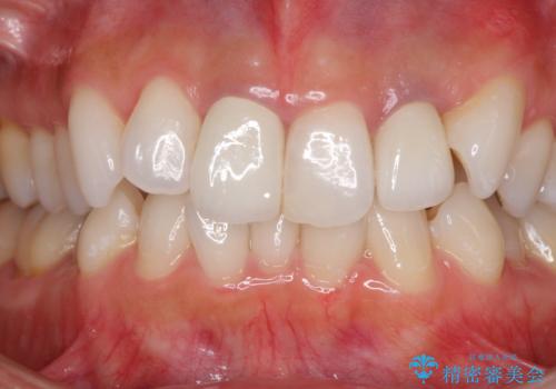
治療について
むし歯は多かったものの、歯肉の腫脹はそれほどなかったため、最小限の治療回数で治療を終えることができました。
セラミック治療の注意事項(リスク・副作用など)
- 天然歯を削ります
- 硬い素材は天然歯を傷つけてしまう場合があります
- かみ合わせや歯ぎしりが強すぎる方はセラミックが割れてしまう可能性があります
- 自費診療(保険適用外治療)となります
当サイトの内容、テキスト、画像等の無断転載、複製、複写、盗用を固く禁じます。














