症例詳細
Case detail
しみる奥歯 セラミッククラウンによるむし歯治療
治療症例の内容
- 診療科目
- 治療カテゴリ
- 担当医
- 藤巻太一朗(ドクタープロフィール)
- 患者様
- 40代女性
- 治療期間
- 1ヶ月
- 治療回数
- 2-5回
- 治療計画
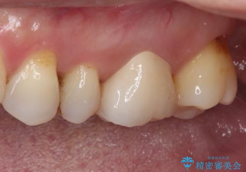
- 奥歯がしみる上に、変色が気になるとのことで来院された患者様です。
診査の結果、不適合なレジンインレーの隙間の接着剤が著しく変色しており、更には頬側の歯肉縁付近に知覚過敏症状が認められました。
健全歯質が多いため、インレーおよびむし歯を除去した上で知覚過敏を緩和させる処置を行うことが望ましいと判断されましたが、知覚過敏の症状が一向に改善されないため、全体をセラミッククラウンで補綴することとしました。
- 費用(概算)
- 治療費の目安: 9万円(税込)費用は治療当時の料金となります
治療について
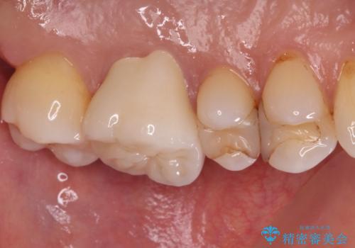
セラミッククラウンを装着する前に仮歯を装着しましたが、その時点で痛みはほぼ改善され、セラミッククラウン装着後には痛みが感じることはもちろん、見た目にも気になる点はなくなりました。
セラミック治療の注意事項(リスク・副作用など)
- 天然歯を削ります
- 硬い素材は天然歯を傷つけてしまう場合があります
- かみ合わせや歯ぎしりが強すぎる方はセラミックが割れてしまう可能性があります
- 自費診療(保険適用外治療)となります
当サイトの内容、テキスト、画像等の無断転載、複製、複写、盗用を固く禁じます。










