症例詳細
Case detail
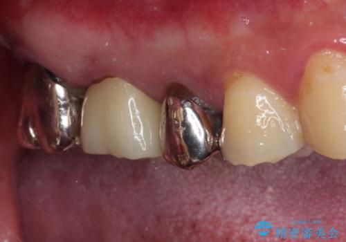
放置して悪化してしまったむし歯を早めに対応 セラミッククラウンによるむし歯治療
治療症例の内容
- 診療科目
- 治療カテゴリ
- 担当医
- 藤巻太一朗(ドクタープロフィール)
- 患者様
- 40代男性
- 治療期間
- 1ヶ月
- 治療回数
- 2-5回
- 治療計画
- ものが挟まるとのことで来院された患者様です。
一度は治療せずに放置していましたが、1年後のメインテナンスの際に悪化していることが分かったことから、補綴治療を行うこととしました。
- 費用(概算)
- 治療費の目安: 10万円(税込)費用は治療当時の料金となります
治療について
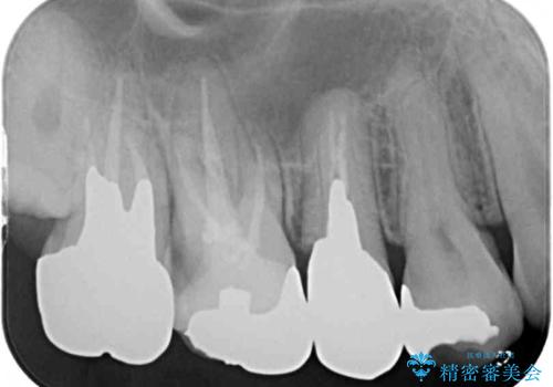
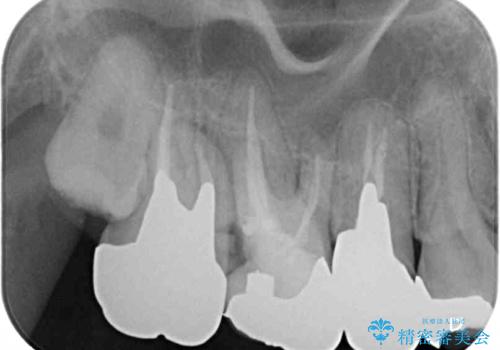
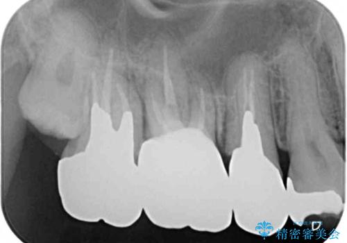
神経を抜いてある歯はむし歯が進行しても痛みを感じることがないため、気がついたときには著しくむし歯が進行している可能性があります。
早めの対応とすることで、抜歯を回避できることはもちろん、外科処置などの本来必要のない処置を行わずに対処することができました。
セラミック治療の注意事項(リスク・副作用など)
- 天然歯を削ります
- 硬い素材は天然歯を傷つけてしまう場合があります
- かみ合わせや歯ぎしりが強すぎる方はセラミックが割れてしまう可能性があります
- 自費診療(保険適用外治療)となります
当サイトの内容、テキスト、画像等の無断転載、複製、複写、盗用を固く禁じます。











