症例詳細
Case detail
ものが挟まる セラミッククラウンによる補綴治療
治療症例の内容
- 診療科目
- 治療カテゴリ
- 担当医
- 藤巻太一朗(ドクタープロフィール)
- 患者様
- 40代女性
- 治療期間
- 2ヶ月
- 治療回数
- 2-5回
- 治療計画
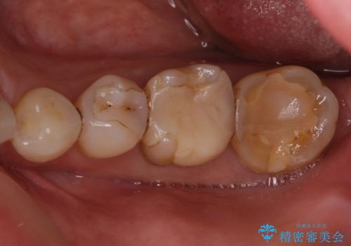
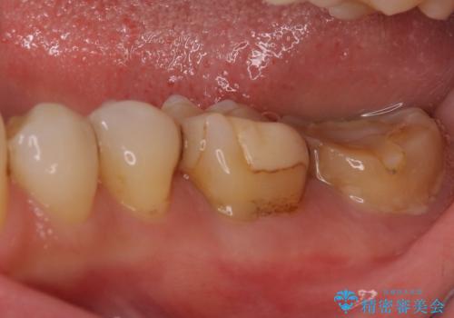
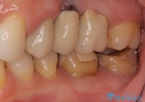
- 奥歯にものが挟まったり引っかかったりすることを気にして来院された患者様です。
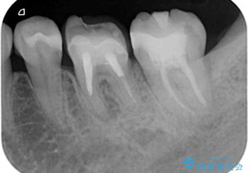
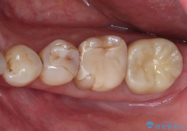
詰め物と歯に隙間ができており、既に根管治療をされた歯であったため、フルジルコニアクラウンにて補綴治療をすることとしました。
咬んだときに違和感があるとのことだったので、根管治療を事前におこなうこととしました。
- 費用(概算)
- 治療費の目安: 25万円(税込)費用は治療当時の料金となります
治療について
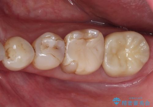
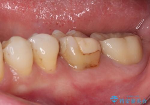
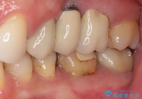
仮歯を装着した時点でものが挟まる症状は改善されました。
根管治療により咬合時の違和感も解消されました。
セラミック治療の注意事項(リスク・副作用など)
- 天然歯を削ります
- 硬い素材は天然歯を傷つけてしまう場合があります
- かみ合わせや歯ぎしりが強すぎる方はセラミックが割れてしまう可能性があります
- 自費診療(保険適用外治療)となります
当サイトの内容、テキスト、画像等の無断転載、複製、複写、盗用を固く禁じます。








