症例詳細
Case detail
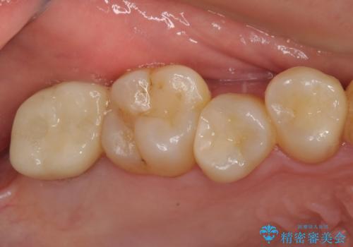
むし歯だらけの奥歯 セラミッククラウンによるむし歯治療
治療症例の内容
- 担当医
- 藤巻太一朗(ドクタープロフィール)
- 患者様
- 20代女性
- 治療期間
- 1年1ヶ月
- 治療回数
- 5-10回
- 治療計画
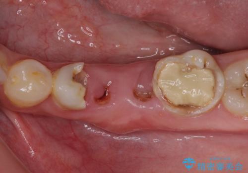
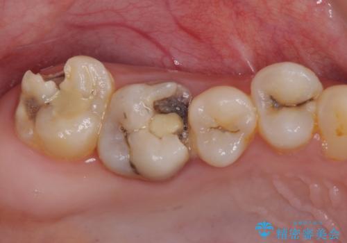
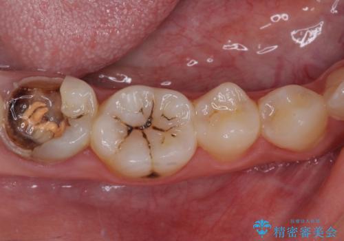
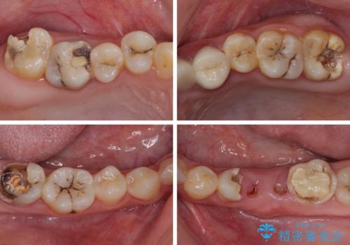
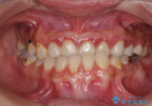
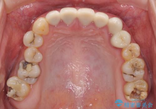
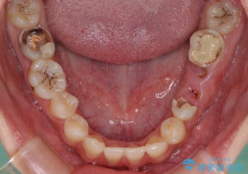
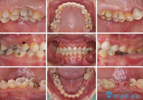
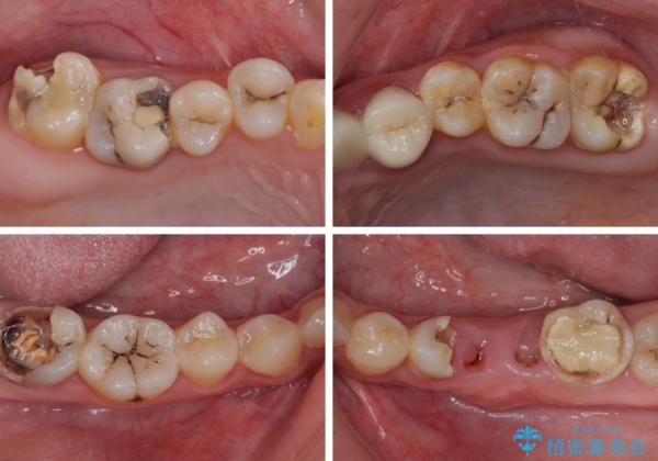
- 奥歯のむし歯を気にして来院された患者様です。
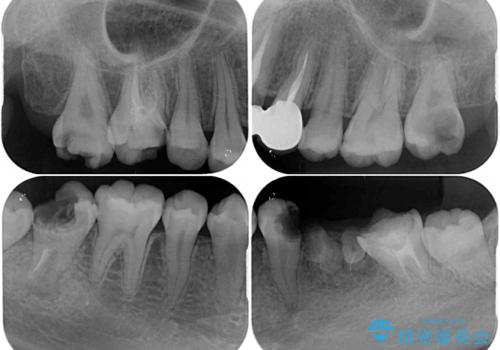
痛みのある歯が多く、根管治療が必要と診断されました。
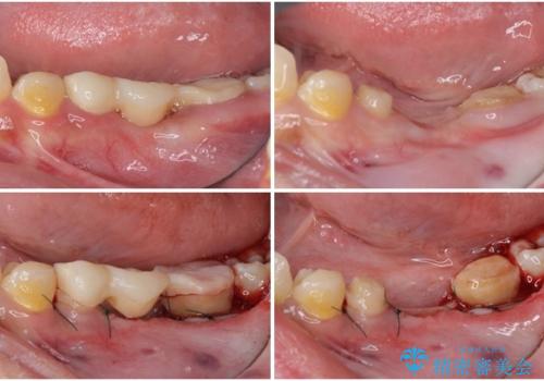
左下の歯は、クラウンを装着するために必要な高さが足りないため、歯冠長を延長するための外科処置を行うこととしました。
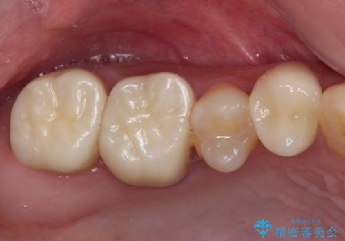
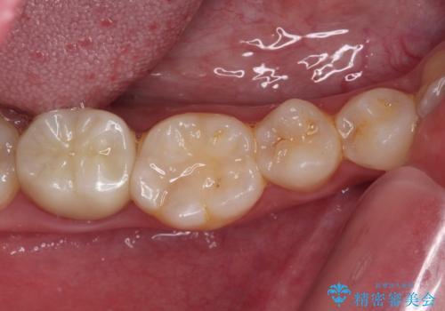
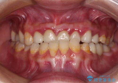
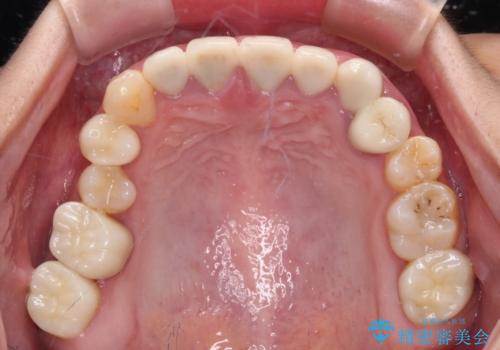
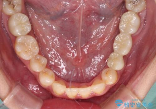
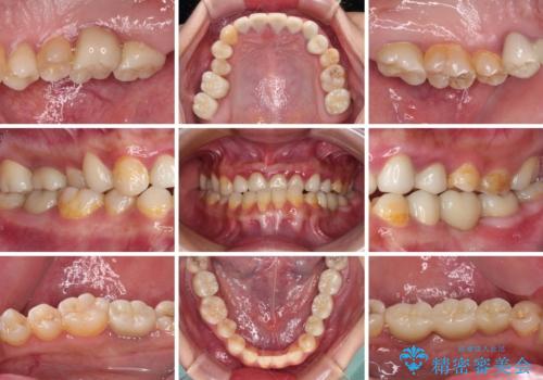
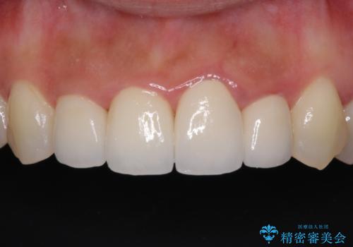
根管治療や歯周外科処置後にフルジルコニアクラウンにて補綴治療することとしました。
- 費用(概算)
- 治療費の目安: 140万円(税込)費用は治療当時の料金となります
治療について
自身の口腔内への意識が高くなく、汚れが非常に多い方でした。
再発や他の歯がむし歯となるリスクを低減させるため、日頃からのプラークコントロールと定期的なクリーニングが重要となります。
セラミック治療の注意事項(リスク・副作用など)
- 天然歯を削ります
- 硬い素材は天然歯を傷つけてしまう場合があります
- かみ合わせや歯ぎしりが強すぎる方はセラミックが割れてしまう可能性があります
- 自費診療(保険適用外治療)となります
外科処置の注意事項(リスク・副作用など)
- 外科手術のため、術後に出血、痛みや腫れ、違和感を伴います
- 口腔内の状態によっては適応できないことがあります
当サイトの内容、テキスト、画像等の無断転載、複製、複写、盗用を固く禁じます。





















