症例詳細
Case detail
マウスピース 狭窄歯列の改善
治療症例の内容
- 担当医
- 大元洋佑(ドクタープロフィール)
- 患者様
- 20代女性
- 治療期間
- 1年
- 治療回数
- 10-30回
- 治療計画
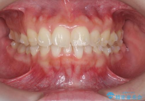
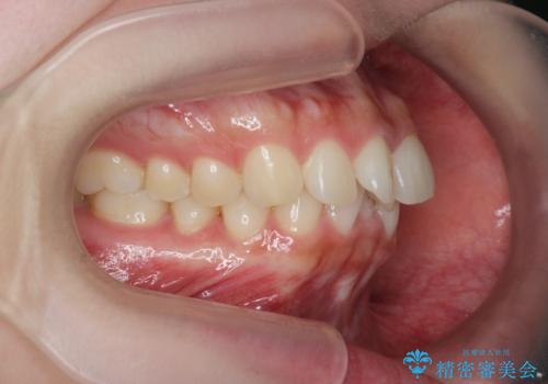
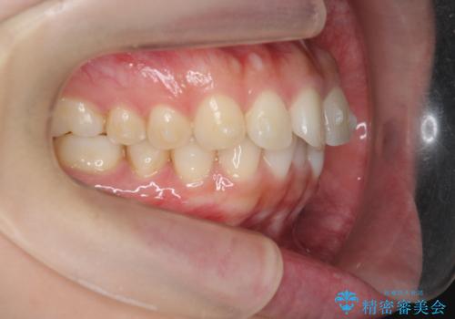
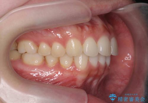
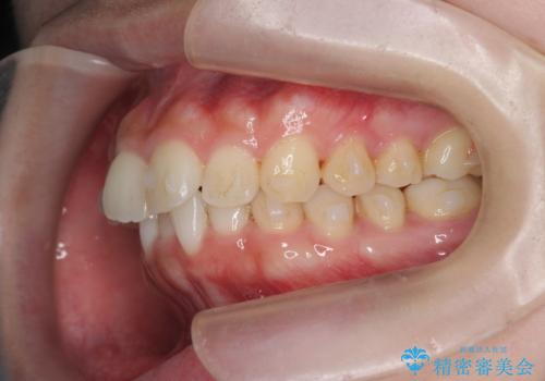
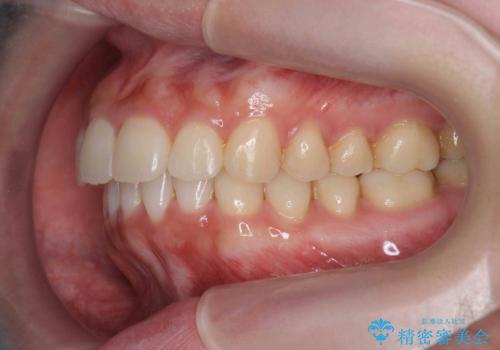
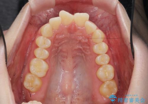
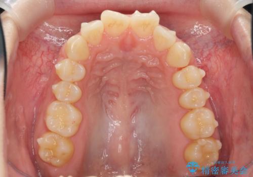
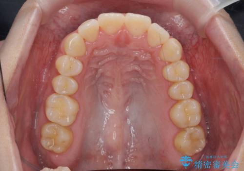
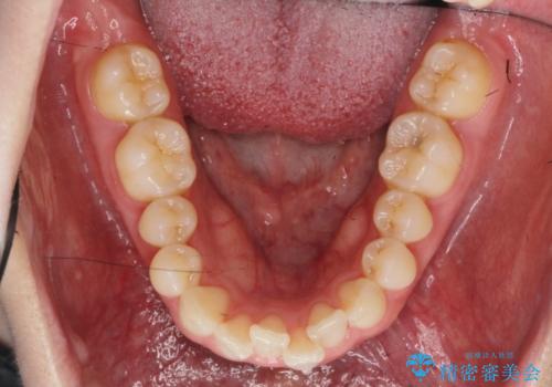
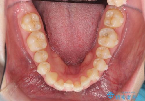
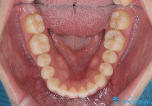
- 噛み合わせが深い、笑った時の歯並びの改善を求めて来院されました。
マウスピース型の矯正装置インビザラインを用いた治療を計画します。
- 費用(概算)
- 88万円費用は治療当時の料金となります
治療について
狭くなってしまった歯並びを放物線状に並べることで噛み合わせの安定・見た目の改善・ガタつきの改善を達成することができました。
マウスピース矯正の注意事項(リスク・副作用など)
- 口腔内・歯並びの状態によっては対応できない場合があります
- マウスピース型矯正装置の長時間装着(1日20時間以上)が必須です
- 治療計画通りに進めるためには、患者様の意志が重要になります
- 矯正治療後の保定が不十分だと後戻り(元の位置に戻ろうとする動き)をします
- 薬機法対象外の矯正歯科装置のため医薬品副作用被害救済制度の対象外となる場合があります
- 自費診療(保険適用外)となります
当サイトの内容、テキスト、画像等の無断転載、複製、複写、盗用を固く禁じます。















