症例詳細
Case detail
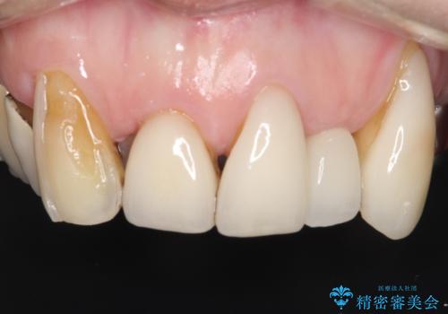
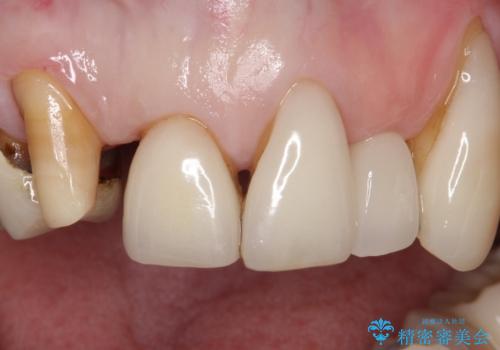
ラミネートベニアがかけた。オールセラミッククラウンで修復
治療症例の内容
- 診療科目
 
- 治療カテゴリ
 
- 担当医
 - 河口智英(ドクタープロフィール)
 
- 患者様
 - 40代女性
 
- 治療期間
 - 6ヶ月
 
- 治療回数
 - 2-5回
 
- 治療計画
 - 前歯のラミネートベニアがかけたことを主訴に来院されました。
舌側に位置していた歯は抜歯してオールセラミッククラウンにて修復治療を行なっております。
 
- 費用(概算)
 - 14万円費用は治療当時の料金となります
 
治療について
ラミネートベニアは切削量を少なくすることができますが、割れるリスクも高いため、今回はオールセラミッククラウンでの修復を希望されました。
セラミック治療の注意事項(リスク・副作用など)
- 天然歯を削ります
 - 硬い素材は天然歯を傷つけてしまう場合があります
 - かみ合わせや歯ぎしりが強すぎる方はセラミックが割れてしまう可能性があります
 - 自費診療(保険適用外治療)となります
 
当サイトの内容、テキスト、画像等の無断転載、複製、複写、盗用を固く禁じます。

                      
                                                          



