症例詳細
Case detail
インビザラインで前歯の中心をお顔の中心に合わせる
治療症例の内容
- 担当医
- 患者様
- 30代女性
- 矯正装置
- インビザラインFULL
- 治療期間
- 2年1ヶ月
- 治療回数
- 10-30回
- 治療計画
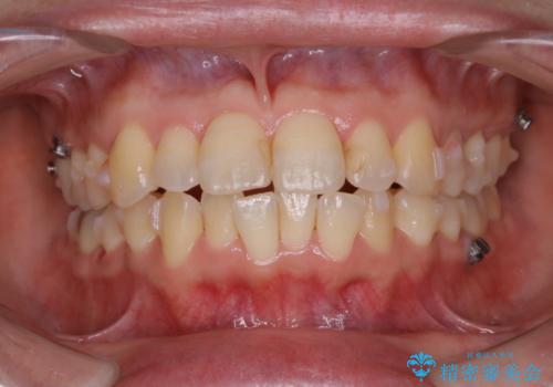
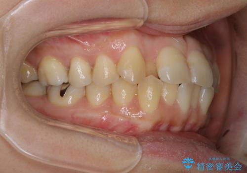
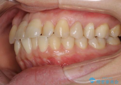
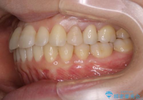
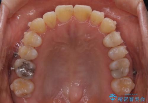
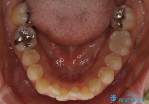
- 右上の2番目の歯が内側に入っているのと、下の前歯のがたつきが気になるとご相談にいらした方です。
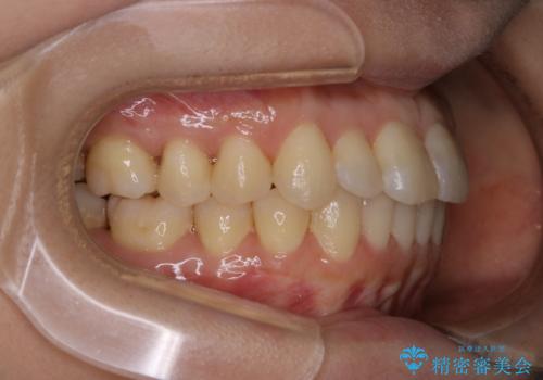
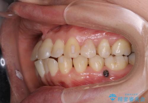
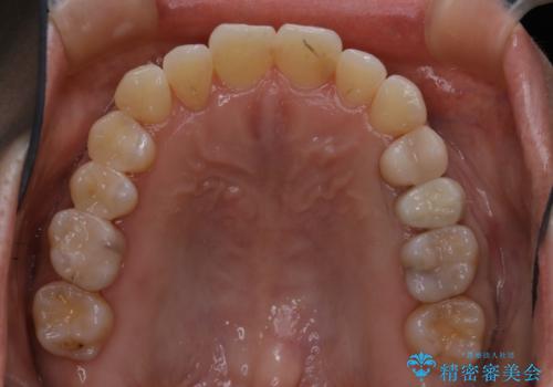
上下左右の歯を後ろに動かして歯を並べるスペースを確保し、内側に入っていた歯を綺麗に並べ、前歯の中心もお顔の中心に合うようにしました。
- 費用(概算)
- 88万円(税込み)費用は治療当時の料金となります
治療について
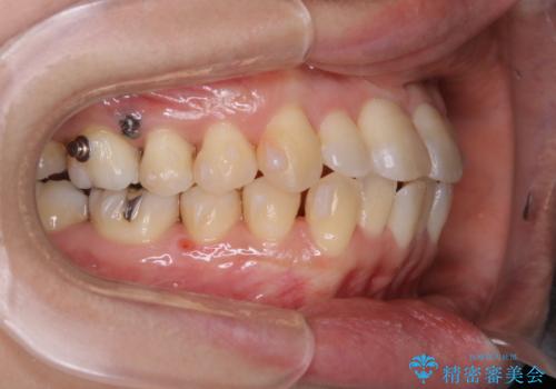
矯正用アンカースクリューを埋入し、上下左右の歯を後ろに動かすことで歯を並べるスペースを作りました。
内側に入っている前歯が外に出てくる際、一時的に噛みづらくなることがあります。
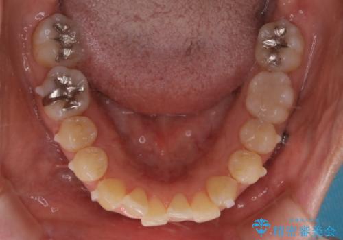
元々内側に倒れていた右下の奥歯は、ゴムかけを追加で行っていただくことによりしっかり起こすことが出来ました。
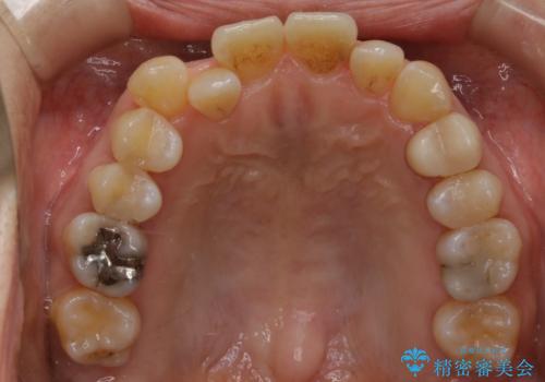
歯並びが綺麗になったことでモチベーションが上がり、銀歯からセラミックへのやり替えも行っております。
マウスピース矯正の注意事項(リスク・副作用など)
- 口腔内・歯並びの状態によっては対応できない場合があります
- マウスピース型矯正装置の長時間装着(1日20時間以上)が必須です
- 治療計画通りに進めるためには、患者様の意志が重要になります
- 矯正治療後の保定が不十分だと後戻り(元の位置に戻ろうとする動き)をします
- 薬機法対象外の矯正歯科装置のため医薬品副作用被害救済制度の対象外となる場合があります
- 自費診療(保険適用外)となります
当サイトの内容、テキスト、画像等の無断転載、複製、複写、盗用を固く禁じます。



















