症例詳細
Case detail
部分矯正とインビザラインを組み合わせて短期間での矯正治療
治療症例の内容
- 診療科目
- 担当医
- 患者様
- 20代女性
- 矯正装置
- インビザラインFULL
- 治療期間
- 1年5ヶ月
- 治療回数
- 10-30回
- 治療計画
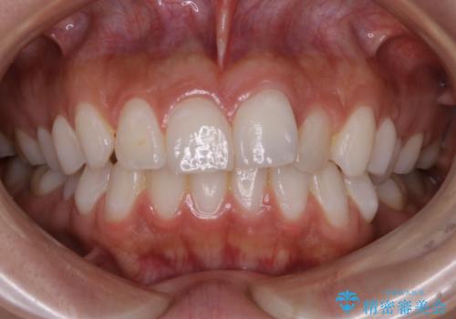
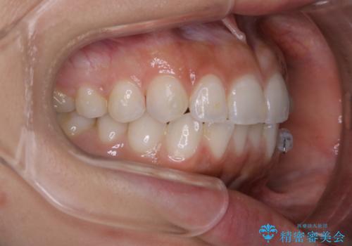
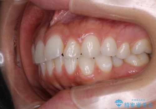
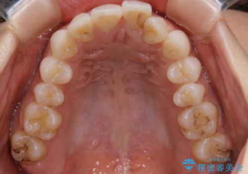
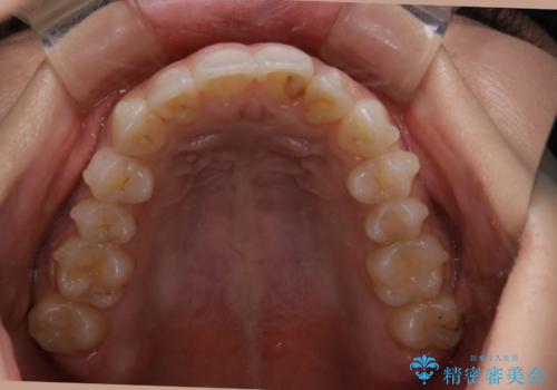
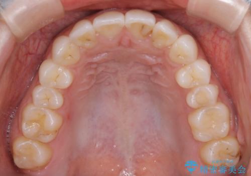
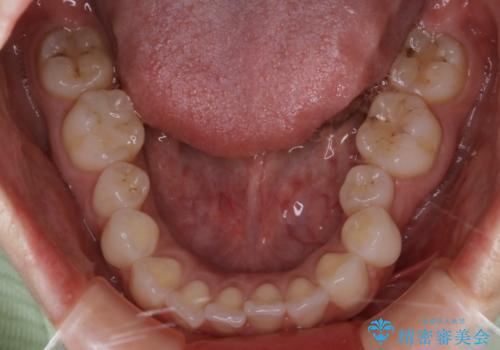
- 前歯のがたつきを治したいとご相談にいらした方です。
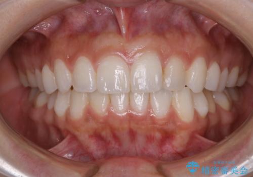
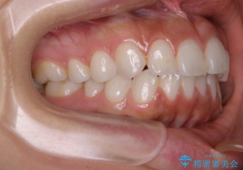
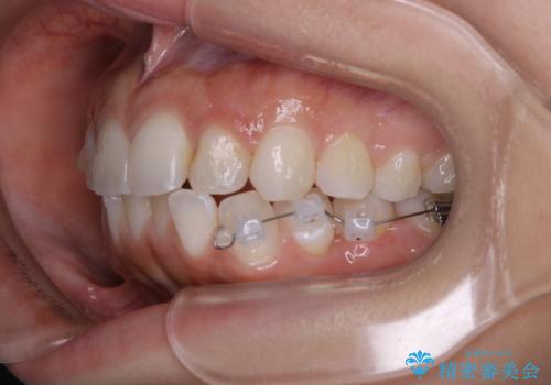
一時的に部分矯正を組み込み、短期間で奥歯の噛み合わせと前歯のがたつきを同時に治療しました。
- 費用(概算)
- 94万円(税込み:部分矯正分を含む)費用は治療当時の料金となります
治療について
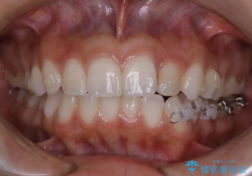
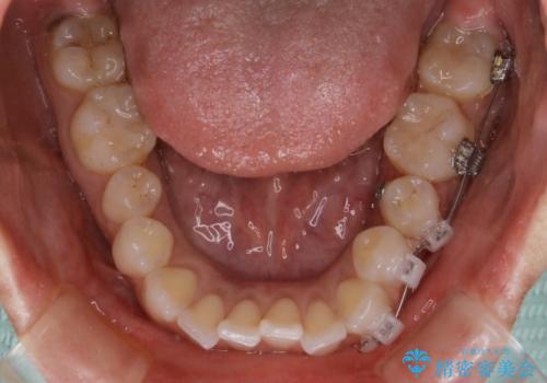
下の小臼歯は回転量が大きく、マウスピース単体での改善は難しいと判断し、一時的にブラケット装置による治療を行いました。短期間で効率よく治療することが出来ました。
マウスピース矯正の注意事項(リスク・副作用など)
- 口腔内・歯並びの状態によっては対応できない場合があります
- マウスピース型矯正装置の長時間装着(1日20時間以上)が必須です
- 治療計画通りに進めるためには、患者様の意志が重要になります
- 矯正治療後の保定が不十分だと後戻り(元の位置に戻ろうとする動き)をします
- 薬機法対象外の矯正歯科装置のため医薬品副作用被害救済制度の対象外となる場合があります
- 自費診療(保険適用外)となります
ワイヤー矯正の注意事項(リスク・副作用など)
- 治療中は違和感や痛みが起こることがあります
- 症状により、抜歯が必要な場合があります
- 治療中は歯磨きがしにくくなるため、虫歯や歯周病になりやすくなります
- 矯正治療後の保定が不十分だと後戻り(元の位置に戻ろうとする動き)をします
- 自費診療(保険適用外)となります
当サイトの内容、テキスト、画像等の無断転載、複製、複写、盗用を固く禁じます。



















