症例詳細
Case detail
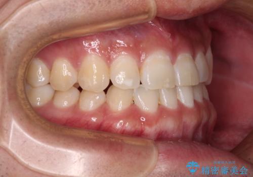
隙間の空いた前歯を治したい 上顎の部分矯正
治療症例の内容
- 診療科目
- 治療カテゴリ
- 担当医
- 藤巻太一朗(ドクタープロフィール)
- 患者様
- 20代男性
- 矯正装置
- 審美装置
- 治療期間
- 1年1ヶ月
- 治療回数
- 10-30回
- 治療計画
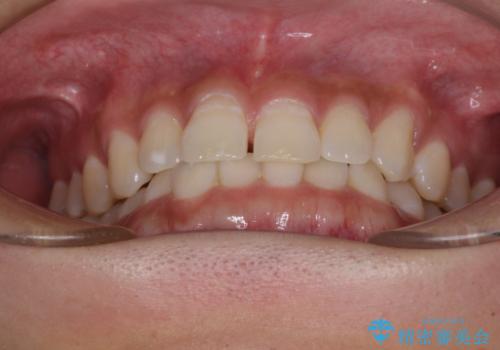
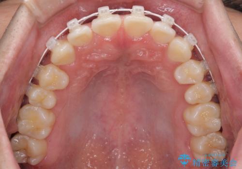
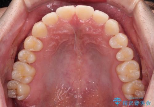
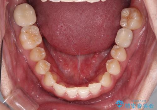
- 上顎前歯の隙間を気にして来院された患者様です。
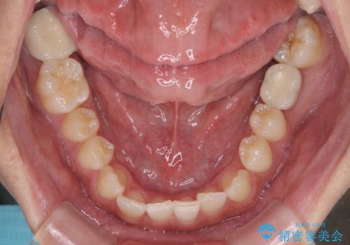
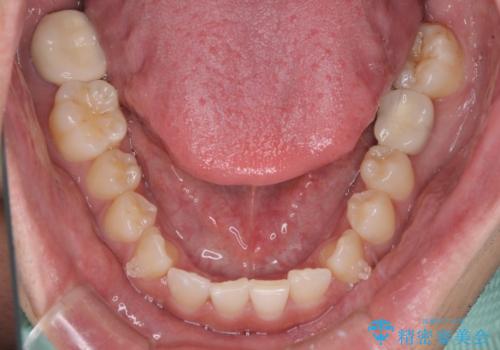
下顎前歯に叢生がありましたが、特に気にしていらっしゃいませんでした。
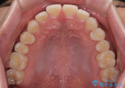
下顎臼歯にインプラント補綴治療がされており、全顎治療するにはクラウンの作り替えが必要となる旨を説明し、ワイヤー装置により上顎のみの矯正治療を行うこととしました。
- 費用(概算)
- 治療費の目安: 50万円(税込)費用は治療当時の料金となります
治療について
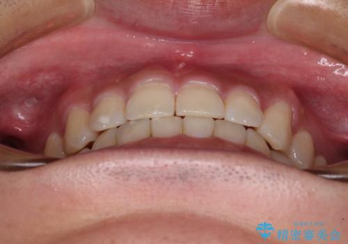
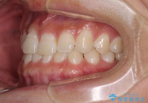
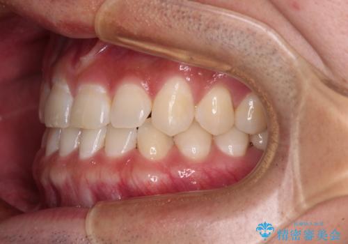
下顎前歯の叢生解消も提案しましたが、上顎の隙間が閉じたことで満足されました。
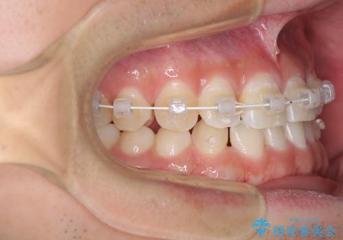
空隙歯列弓はマウスピースによる保定を行っても、すぐに後戻りを起こしてしまうため、ワイヤーリテーナーによる保定を併用することとしました。
ワイヤー矯正の注意事項(リスク・副作用など)
- 治療中は違和感や痛みが起こることがあります
- 症状により、抜歯が必要な場合があります
- 治療中は歯磨きがしにくくなるため、虫歯や歯周病になりやすくなります
- 矯正治療後の保定が不十分だと後戻り(元の位置に戻ろうとする動き)をします
- 自費診療(保険適用外)となります
当サイトの内容、テキスト、画像等の無断転載、複製、複写、盗用を固く禁じます。


























