症例詳細
Case detail
歯周外科で達成する、安定したクラウン周囲の歯肉環境
治療症例の内容
- 患者様
- 30代女性
- 治療期間
- 7ヶ月
- 治療回数
- 5-10回
- 治療計画
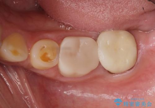
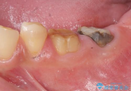
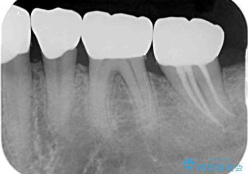
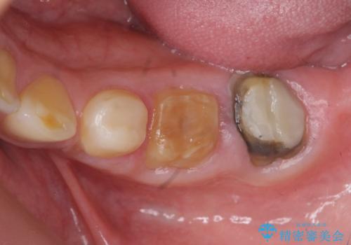
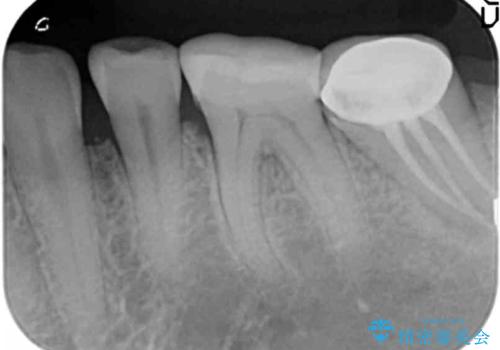
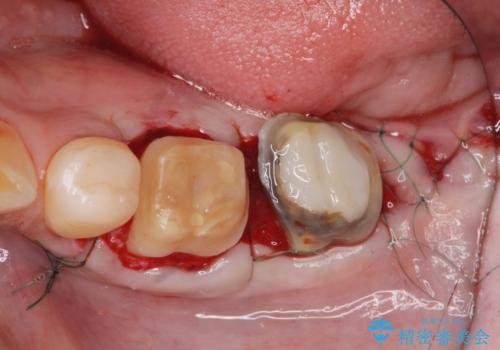
- 著しい歯ぎしりですり減ってしまった、奥歯のクラウンのやりかえを希望され来院されました。
このままの状態でクラウンのやりかえを行うと高さが低く安定の悪いクラウンとなってしまうため、事前に歯周外科手術を行い歯ぐきを下げることで安定性の高いクラウンを製作する治療計画としました。
- 費用(概算)
- 46.2万円(仮歯×4・フルジルコニアクラウン×4・歯周外科)費用は治療当時の料金となります
治療について
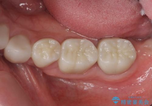
高さの低いクラウンはセメントが漏出しやすく脱離しやすいだけでなく虫歯の再発の可能性も高まってしまいます。
長期にわたりに安定した環境に整えることで、長く使える可能性を高めることができます。
歯周病治療の注意事項(リスク・副作用など)
- 外科手術のため、術後に痛みや腫れ、違和感を伴います
- 歯周組織再生治療は患者様の状態によって術後の経過が異なります(見た目が改善しない場合もあります)
- 歯周組織再生治療は自費診療(保険適用外)となります
セラミック治療の注意事項(リスク・副作用など)
- 天然歯を削ります
- 硬い素材は天然歯を傷つけてしまう場合があります
- かみ合わせや歯ぎしりが強すぎる方はセラミックが割れてしまう可能性があります
- 自費診療(保険適用外治療)となります
当サイトの内容、テキスト、画像等の無断転載、複製、複写、盗用を固く禁じます。













