症例詳細
Case detail
目立つ銀歯を白くしたい 奥歯のセラミック治療
治療症例の内容
- 診療科目
- 担当医
- 藤巻太一朗(ドクタープロフィール)
- 患者様
- 40代女性
- 治療期間
- 2ヶ月
- 治療回数
- 2-5回
- 治療計画
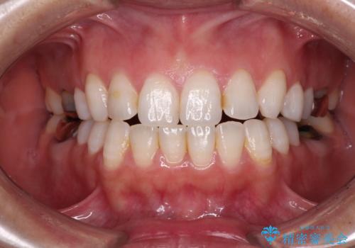
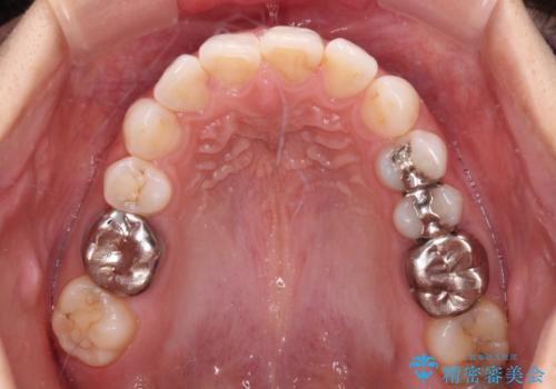
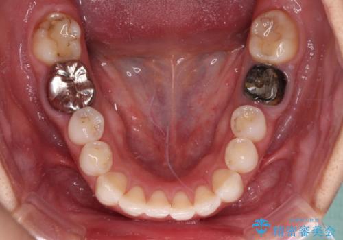
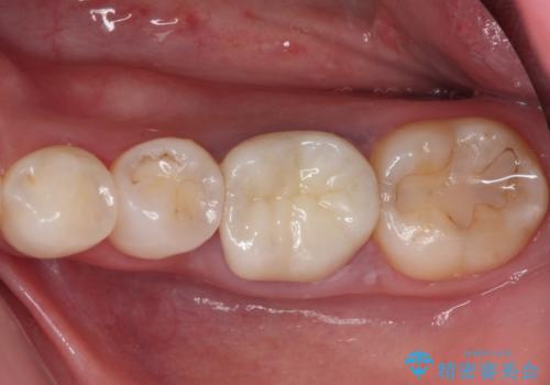
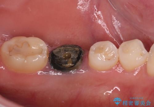
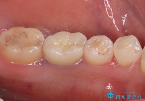
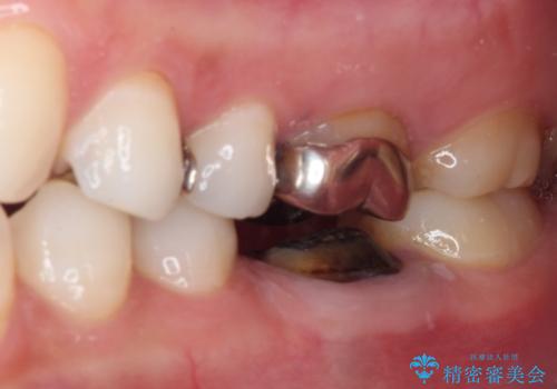
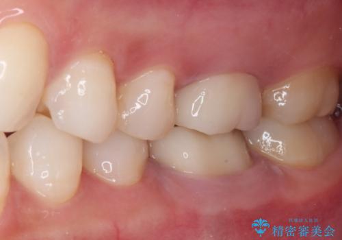
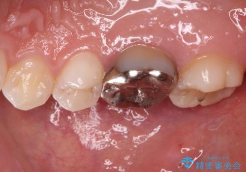
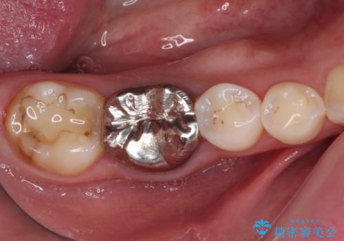
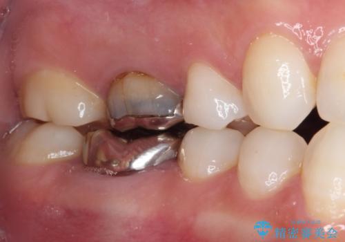
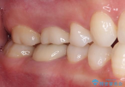
- 奥歯の銀歯が外れたことをきっかけに、全ての銀歯をセラミックに替えたいとのことで来院された患者様です。
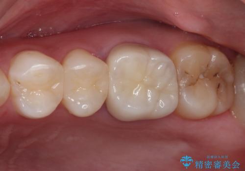
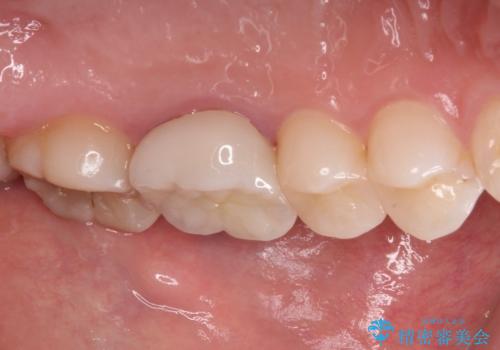
第一大臼歯4本と、メタルインレーが装着されている2歯をセラミッククラウンならびにセラミックインレーにて補綴治療・修復治療を行うこととしました。
- 費用(概算)
- 治療費の目安: 60万円(税込)費用は治療当時の料金となります
治療について
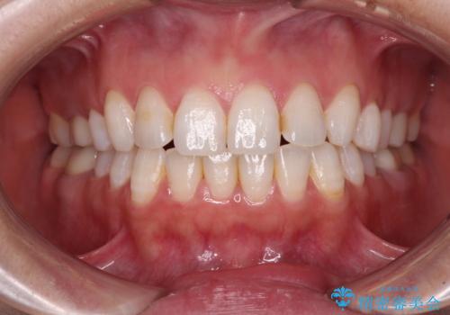
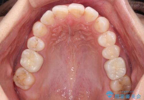
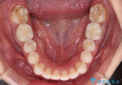
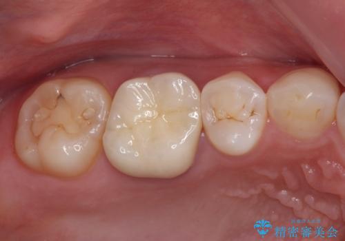
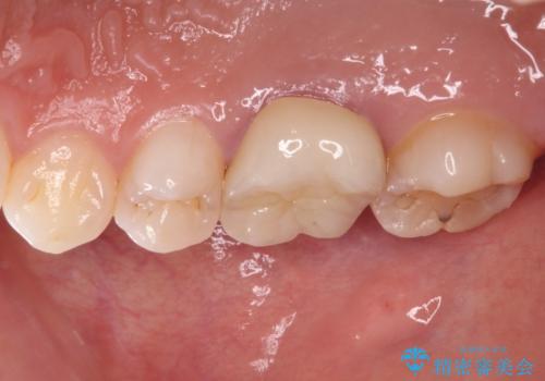
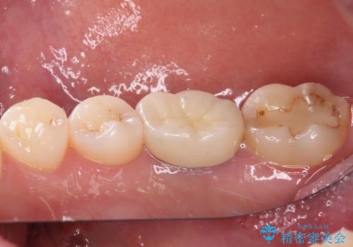
口腔内から、土台も含め銀歯がなくなったことでメタルフリーとなりました。
セラミック治療の注意事項(リスク・副作用など)
- 天然歯を削ります
- 硬い素材は天然歯を傷つけてしまう場合があります
- かみ合わせや歯ぎしりが強すぎる方はセラミックが割れてしまう可能性があります
- 自費診療(保険適用外治療)となります
当サイトの内容、テキスト、画像等の無断転載、複製、複写、盗用を固く禁じます。






























