症例詳細
Case detail
奥歯の被せものが汚れやすい 仮歯のままの歯をセラミッククラウンに
治療症例の内容
- 診療科目
- 治療カテゴリ
- 担当医
- 藤巻太一朗(ドクタープロフィール)
- 患者様
- 20代男性
- 治療期間
- 2ヶ月
- 治療回数
- 2-5回
- 治療計画
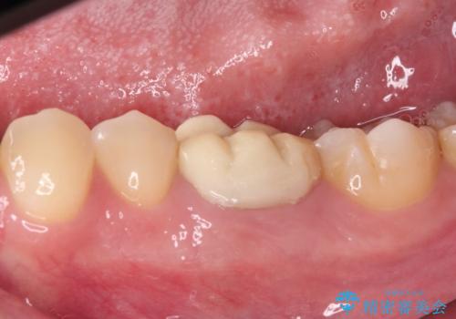
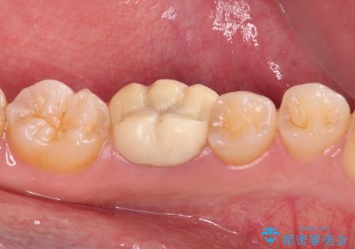
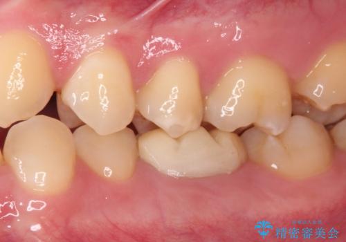
- 食事の度にクラウンにこびりつくとのことで来院された患者様です。
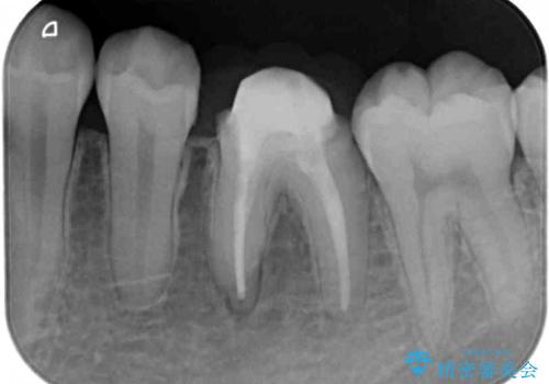
以前の医院では治療終了と言われたそうですが、即席で製作した仮歯が装着された状態でした。
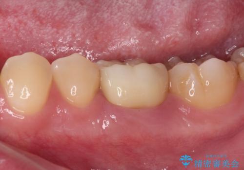
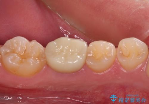
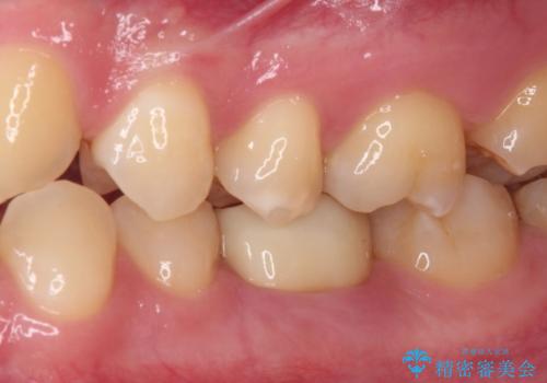
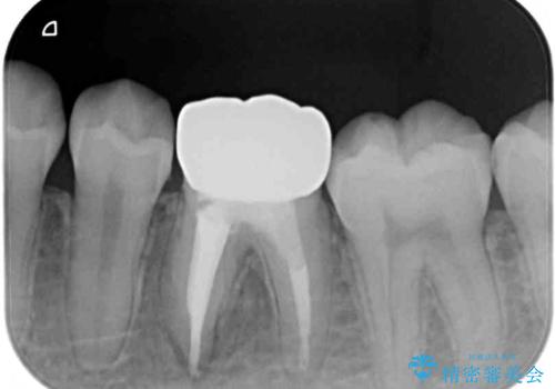
患者様と相談し、根管治療を再度行った後、フルジルコニアクラウンにて補綴治療することとしました。
- 費用(概算)
- 治療費の目安: 25万円(税込)費用は治療当時の料金となります
治療について
仮歯は見た目は白くても、粘着性の食事がこびりついたり、舌感がざらついていたりと、不快感を感じるだけでなく、長期装着するとむし歯が進行するリスクが高まります。
フルジルコニアクラウンを装着したことにより、舌感が改善されるとともに、むし歯再発リスクを軽減することができました。
セラミック治療の注意事項(リスク・副作用など)
- 天然歯を削ります
- 硬い素材は天然歯を傷つけてしまう場合があります
- かみ合わせや歯ぎしりが強すぎる方はセラミックが割れてしまう可能性があります
- 自費診療(保険適用外治療)となります
根管治療の注意事項(リスク・副作用など)
- 根管治療により類似の全ての症例の問題が解決するわけではなく、症例はあくまでも一例です
- 根管治療により痛みや腫れがひかない事や、術後に痛みや腫れが生じる事、治療によるファイル破折やパーフォレーションなどの偶発症、術後の歯根破折を生じる可能性もあります
- 自費診療(保険適用外)となります
当サイトの内容、テキスト、画像等の無断転載、複製、複写、盗用を固く禁じます。










