症例詳細
Case detail
抜歯矯正で閉じにくかった口を閉じやすく改善
治療症例の内容
- 担当医
- 藤巻太一朗(ドクタープロフィール)
- 患者様
- 20代女性
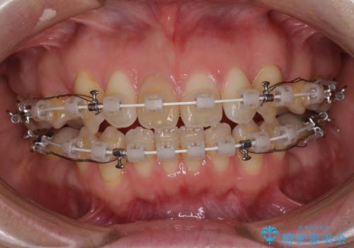
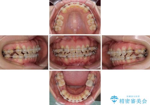
- 矯正装置
- 審美装置
- 治療期間
- 1年9ヶ月
- 治療回数
- 10-30回
- 治療計画
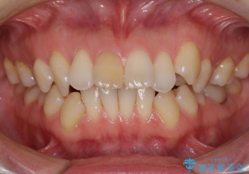
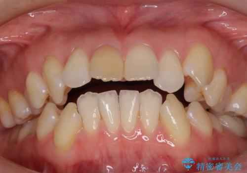
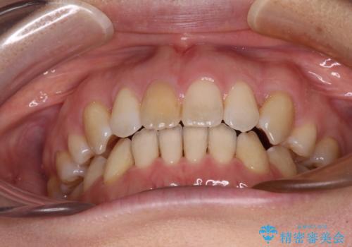
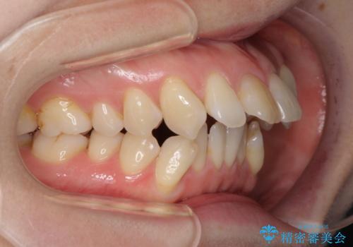
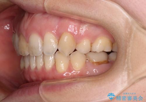
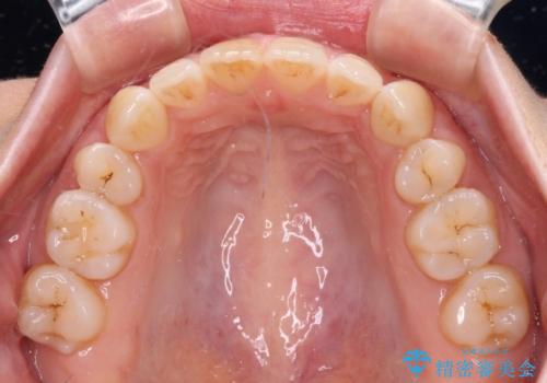
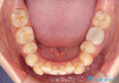
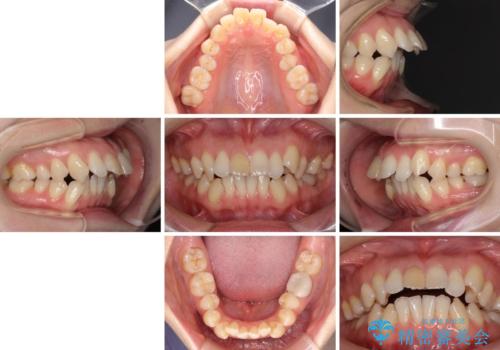
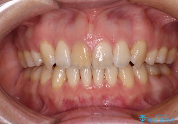
- 上の前歯の飛び出した感じを改善したいとのことで来院された患者様です。
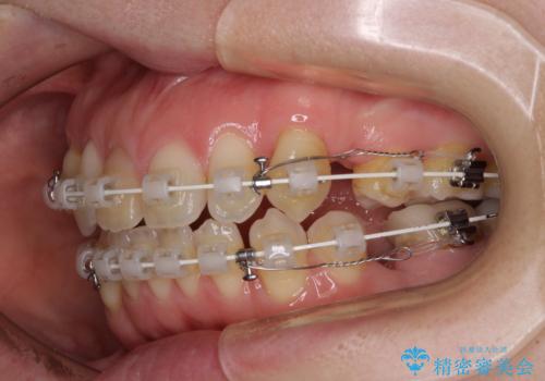
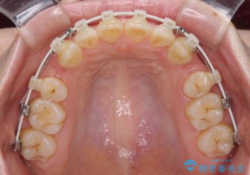
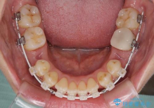
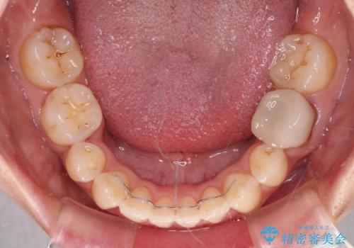
上顎左右第一小臼歯2本、下顎左右第二小臼歯2本を抜歯し、ワイヤー装置にて口元を引っ込めるよう矯正治療を行うこととしました。
- 費用(概算)
- 治療費の目安: 105万円(税込)費用は治療当時の料金となります
治療について
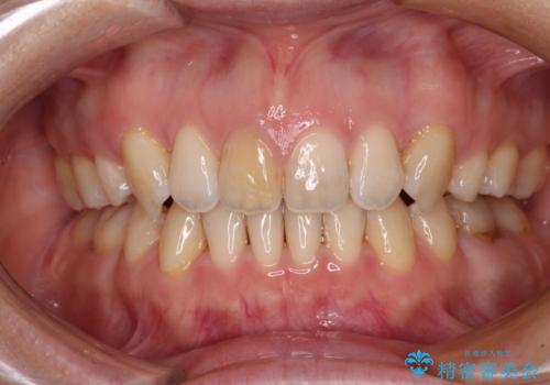
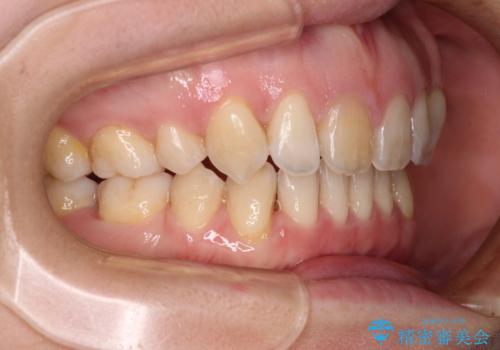
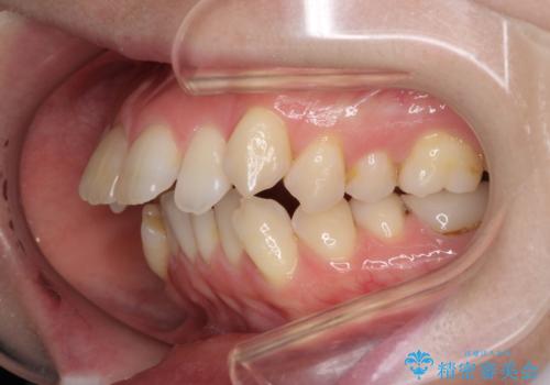
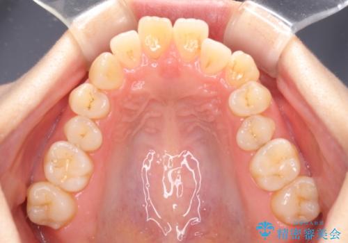
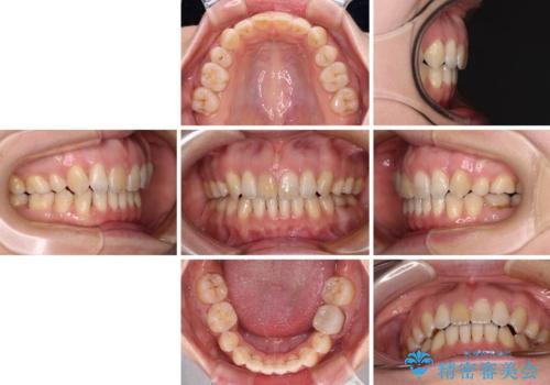
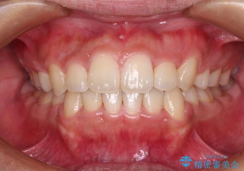
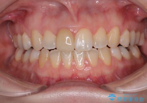
上下の前歯に隙間が空くほど上顎前歯が前に飛び出していましたが、抜歯矯正により上下前歯がぴったりと付くほど口元を引っ込めることができました。
ワイヤー矯正の注意事項(リスク・副作用など)
- 治療中は違和感や痛みが起こることがあります
- 症状により、抜歯が必要な場合があります
- 治療中は歯磨きがしにくくなるため、虫歯や歯周病になりやすくなります
- 矯正治療後の保定が不十分だと後戻り(元の位置に戻ろうとする動き)をします
- 自費診療(保険適用外)となります
当サイトの内容、テキスト、画像等の無断転載、複製、複写、盗用を固く禁じます。


























