症例詳細
Case detail
インビザラインが続けられない ワイヤー装置による抜歯矯正
治療症例の内容
- 担当医
- 藤巻太一朗(ドクタープロフィール)
- 患者様
- 30代女性
- 矯正装置
- インビザライン・審美装置
- 治療期間
- 4年3ヶ月
- 治療回数
- 10-30回
- 治療計画
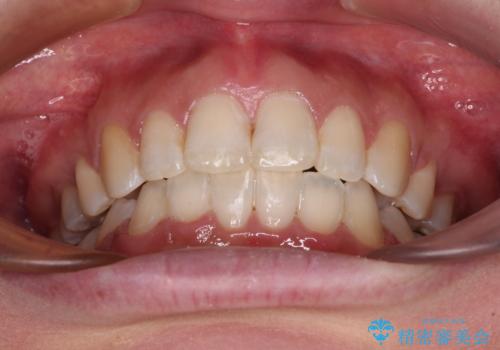
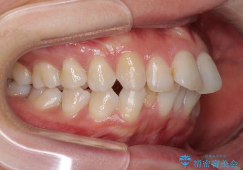
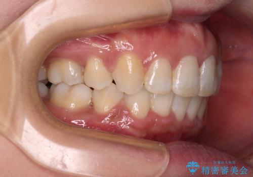
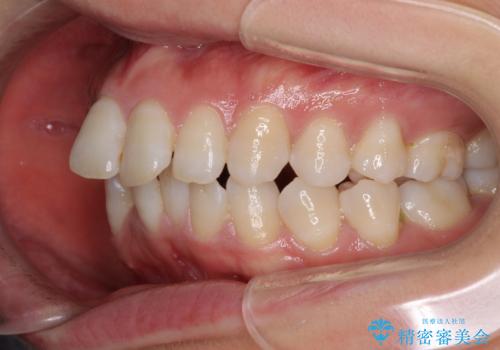
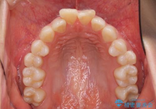
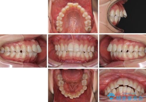
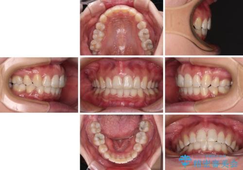
- 上の前歯の飛び出した感じと上下前歯のデコボコを気にして来院された患者様です。
叢生が強く、口元の突出感もあるため、上顎左右第一小臼歯4本を抜歯することとしました。
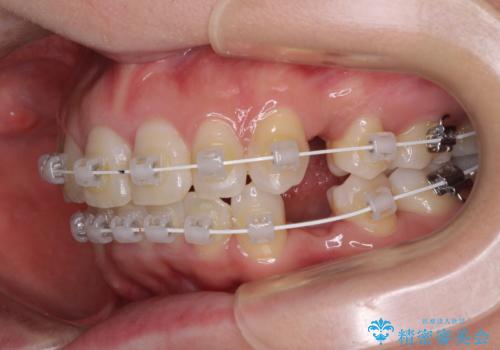
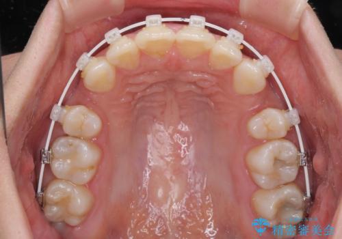
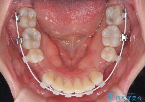
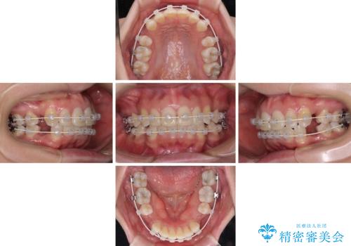
奥歯の咬み合わせ改善が必要なため、ワイヤー装置による矯正治療を強くお勧めしまたが、本人の希望でインビザラインにて治療を開始することとなりました。
インビザラインでの抜歯治療は予定通りに治療が進まないことが多いため、必要であればワイヤー矯正に切り替えるとお伝えした上で治療を開始しました。
- 費用(概算)
- 治療費の目安: 120万円(税込)費用は治療当時の料金となります
治療について
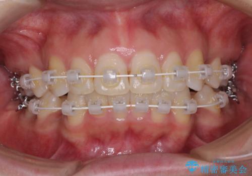
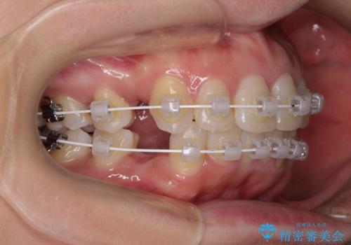
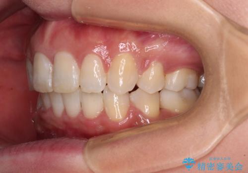
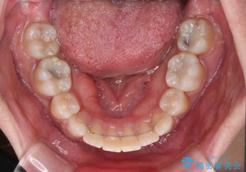
2年ほどインビザラインを使用しましたが、どうしても歯の移動がマウスピースに追随せず、全顎ワイヤー矯正へ切り替えました。
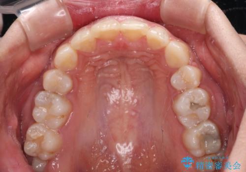
ワイヤー装着後は2年弱で、しっかりと仕上げることができました。
マウスピース矯正の注意事項(リスク・副作用など)
- 口腔内・歯並びの状態によっては対応できない場合があります
- マウスピース型矯正装置の長時間装着(1日20時間以上)が必須です
- 治療計画通りに進めるためには、患者様の意志が重要になります
- 矯正治療後の保定が不十分だと後戻り(元の位置に戻ろうとする動き)をします
- 薬機法対象外の矯正歯科装置のため医薬品副作用被害救済制度の対象外となる場合があります
- 自費診療(保険適用外)となります
ワイヤー矯正の注意事項(リスク・副作用など)
- 治療中は違和感や痛みが起こることがあります
- 症状により、抜歯が必要な場合があります
- 治療中は歯磨きがしにくくなるため、虫歯や歯周病になりやすくなります
- 矯正治療後の保定が不十分だと後戻り(元の位置に戻ろうとする動き)をします
- 自費診療(保険適用外)となります
当サイトの内容、テキスト、画像等の無断転載、複製、複写、盗用を固く禁じます。


























