症例詳細
Case detail
割れてしまったセラミッククラウン 強化セラミッククラウンの補綴治療
治療症例の内容
- 診療科目
- 治療カテゴリ
- 担当医
- 藤巻太一朗(ドクタープロフィール)
- 患者様
- 40代女性
- 治療期間
- 1ヶ月
- 治療回数
- 2-5回
- 治療計画
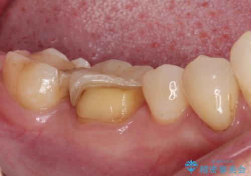
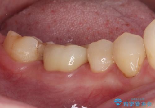
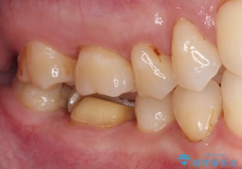
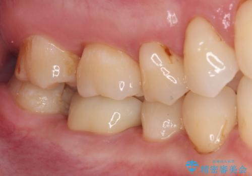
- セラミッククラウンが度々欠けてしまうとのことで来院された患者様です。
セラミッククラウンを装着するには、削る量がやや少ない印象であったので、クラウン破折リスクを回避するために削る量を少し増やすこととしました。
また、咬合力が強いため、強化セラミックのみで製作するフルジルコニアクラウンにて補綴治療することとしました。
- 費用(概算)
- 治療費の目安: 9万円(税込)費用は治療当時の料金となります
治療について
フルジルコニアクラウンは、強度が高い反面、審美性に欠けるため、前歯部に装着することはお勧めできません。
セラミック治療の注意事項(リスク・副作用など)
- 天然歯を削ります
- 硬い素材は天然歯を傷つけてしまう場合があります
- かみ合わせや歯ぎしりが強すぎる方はセラミックが割れてしまう可能性があります
- 自費診療(保険適用外治療)となります
当サイトの内容、テキスト、画像等の無断転載、複製、複写、盗用を固く禁じます。








