症例詳細
Case detail
奥歯が外れた ゴールドクラウンによる補綴治療
治療症例の内容
- 診療科目
- 治療カテゴリ
- 担当医
- 藤巻太一朗(ドクタープロフィール)
- 患者様
- 50代女性
- 治療期間
- 1ヶ月
- 治療回数
- 2-5回
- 治療計画
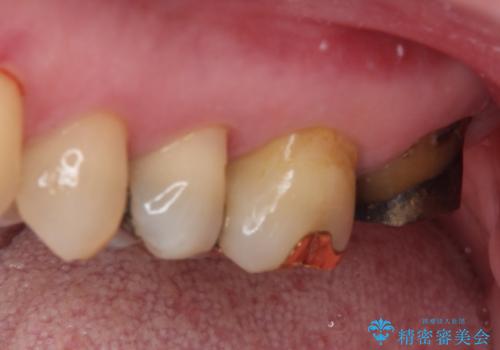
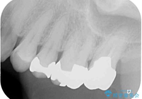
- 奥歯のクラウンが外れてしまったとのことで来院された患者様です。
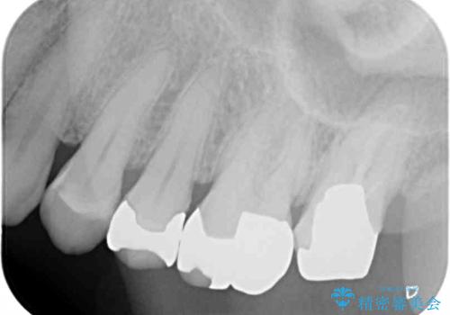
土台の歯は、咬み合う下顎の歯と距離が近く、外れてしまったクラウンは、おそらく穴が空いてしまったのではないかと思われました。
距離が近いこと以外、特に大きな問題は認められなかったため、ゴールドクラウン(PGAクラウン)にて補綴することとしました。
- 費用(概算)
- 治療費の目安: 10万円(税込)費用は治療当時の料金となります
治療について
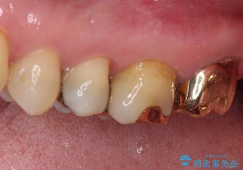
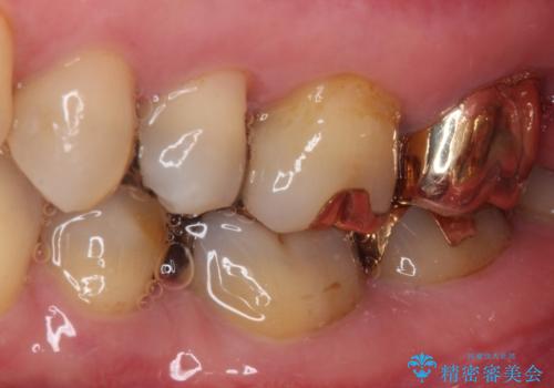
上の奥歯であることから、審美性よりも機能性を優先され、ゴールドクラウンを選択されました。
装着後の違和感など一切なく、見た目もほとんど気にならないとのことで、患者様には大変満足していただけました。
PGA(ゴールド)クラウン、インレーの注意事項(リスク・副作用など)
- インレーおよびクラウンは脱離するリスクがあります
- 形成量はセラミックより少ないですが、歯の形成、修復後に歯に症状が出ることがあります
- 自費診療(保険適用外治療)となります
当サイトの内容、テキスト、画像等の無断転載、複製、複写、盗用を固く禁じます。








