症例詳細
Case detail
耳鼻科で指摘されたむし歯 根管治療とセラミッククラウン
治療症例の内容
- 診療科目
- 治療カテゴリ
- 担当医
- 藤巻太一朗(ドクタープロフィール)
- 患者様
- 30代男性
- 治療期間
- 6ヶ月
- 治療回数
- 2-5回
- 治療計画
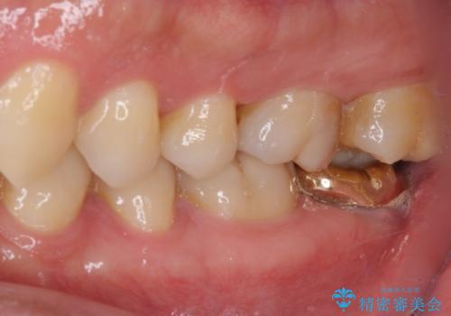
- 鼻づまりがひどく耳鼻科を受診したところ、虫歯が原因の可能性があるとのことで来院された患者様です。
レントゲン写真では根尖部に病変があるように見えたため、神経が失活しているのかチェックをしたところ、生活反応はありませんでした。
根管治療を行い、症状の経過を見て、セラミッククラウンにて補綴治療を行うこととしました。
- 費用(概算)
- 治療費の目安: 22万円(税込)費用は治療当時の料金となります
治療について
根管治療後に耳鼻科症状は軽減したようですが、完全に良くなることはなかったため、副鼻腔の手術を受けたとのことでした。
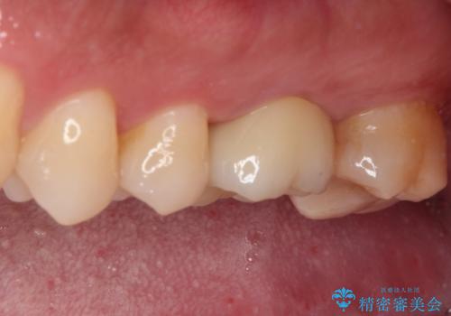
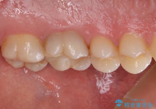
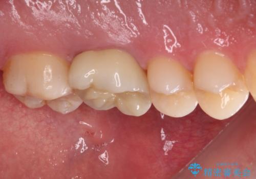
レントゲン的には根管治療の治癒経過良好で、手術後に症状や違和感がなくなり、無事セラミッククラウンを装着することができました。
根管治療の注意事項(リスク・副作用など)
- 根管治療により類似の全ての症例の問題が解決するわけではなく、症例はあくまでも一例です
- 根管治療により痛みや腫れがひかない事や、術後に痛みや腫れが生じる事、治療によるファイル破折やパーフォレーションなどの偶発症、術後の歯根破折を生じる可能性もあります
- 自費診療(保険適用外)となります
セラミック治療の注意事項(リスク・副作用など)
- 天然歯を削ります
- 硬い素材は天然歯を傷つけてしまう場合があります
- かみ合わせや歯ぎしりが強すぎる方はセラミックが割れてしまう可能性があります
- 自費診療(保険適用外治療)となります
当サイトの内容、テキスト、画像等の無断転載、複製、複写、盗用を固く禁じます。










