症例詳細
Case detail
前歯の形を変えたい 前歯のラミネートベニア治療
治療症例の内容
- 診療科目
- 治療カテゴリ
- 担当医
- 藤巻太一朗(ドクタープロフィール)
- 患者様
- 30代女性
- 治療期間
- 1ヶ月
- 治療回数
- 2-5回
- 治療計画
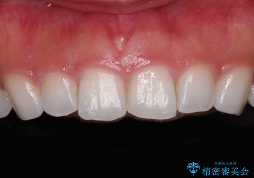
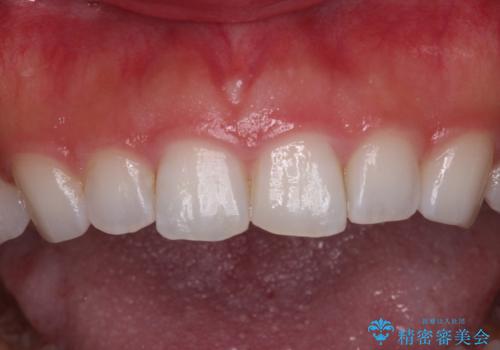
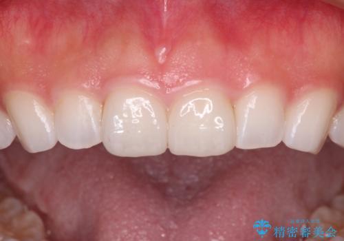
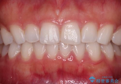
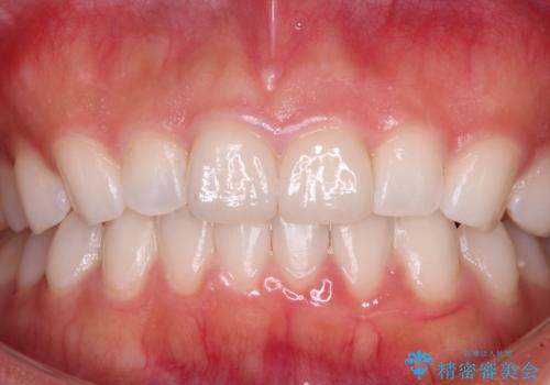
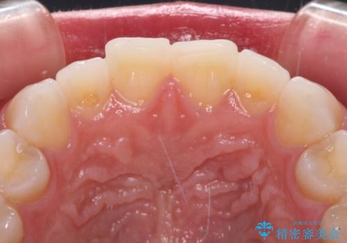
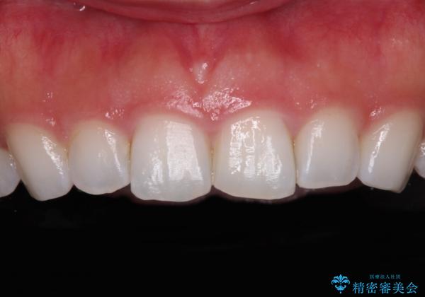
- 矯正治療で歯列を整えた後、前歯の形が気になった患者様です。
矯正前の歯列の影響で、前歯の先端が非対称にすり減ってしまったため、矯正治療後の形が非対称になっていました。
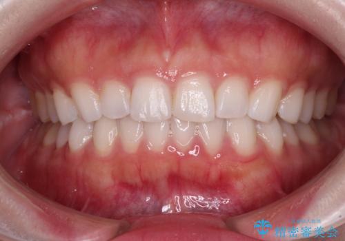
むし歯はなく、矯正治療で咬み合わせが改善していたので、侵襲量の少ないラミネートベニアにて治療することとしました。
- 費用(概算)
- 治療費の目安: 15万円(税込)費用は治療当時の料金となります
治療について
ラミネートベニアは切削量が少ないことがメリットとしてあげられますが、色調を周辺と合わせられないこと、接着境界線が長く汚れや歯石が溜まりやすいことがデメリットとして考えられます。
また、接着境界線にむし歯がある場合には適用外となるなど、適用症例を選ぶため、治療に際して担当医としっかりと相談することが大切です。
セラミック治療の注意事項(リスク・副作用など)
- 天然歯を削ります
- 硬い素材は天然歯を傷つけてしまう場合があります
- かみ合わせや歯ぎしりが強すぎる方はセラミックが割れてしまう可能性があります
- 自費診療(保険適用外治療)となります
当サイトの内容、テキスト、画像等の無断転載、複製、複写、盗用を固く禁じます。













