症例詳細
Case detail
【前歯の被せ物】オールセラミッククラウン(エクセレント)
治療症例の内容
- 診療科目
- 治療カテゴリ
- 担当医
- 河口智英(ドクタープロフィール)
- 患者様
- 20代男性
- 治療期間
- 1ヶ月
- 治療回数
- 2-5回
- 治療計画
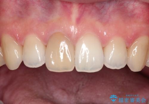
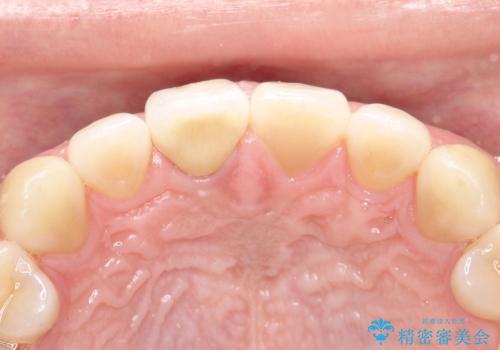
- 空隙歯列と前歯の変色を主訴に来院されました。
空隙歯列を矯正にて改善した後に歯冠修復を行なっております。
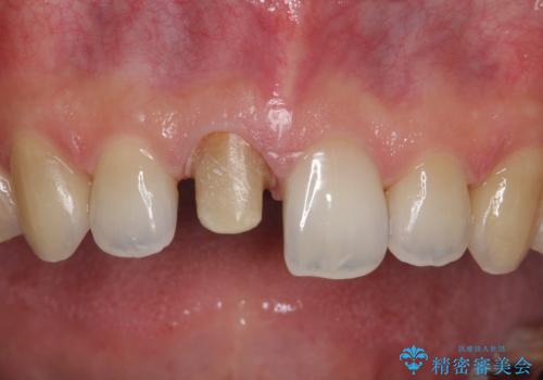
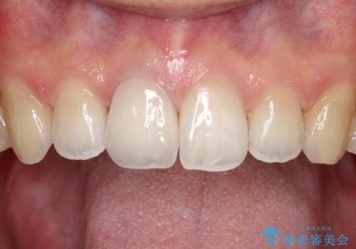
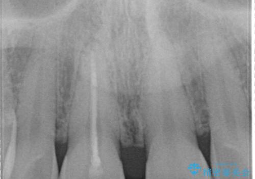
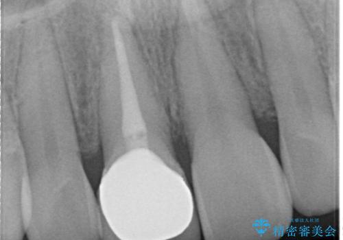
上顎前歯は根管治療後にオールセラミッククラウン(エクセレント)で修復を行なっております。
- 費用(概算)
- 30万円費用は治療当時の料金となります
治療について
オールセラミッククラウン(エクセレント)では技工士さんの立ち会いのもと、より審美的な修復が可能です。
セラミック治療の注意事項(リスク・副作用など)
- 天然歯を削ります
- 硬い素材は天然歯を傷つけてしまう場合があります
- かみ合わせや歯ぎしりが強すぎる方はセラミックが割れてしまう可能性があります
- 自費診療(保険適用外治療)となります
当サイトの内容、テキスト、画像等の無断転載、複製、複写、盗用を固く禁じます。









