症例詳細
Case detail
もげてしまった前歯をセラミッククラウンで自然に
治療症例の内容
- 診療科目
- 治療カテゴリ
- 担当医
- 藤巻太一朗(ドクタープロフィール)
- 患者様
- 50代女性
- 治療期間
- 1ヶ月
- 治療回数
- 2-5回
- 治療計画
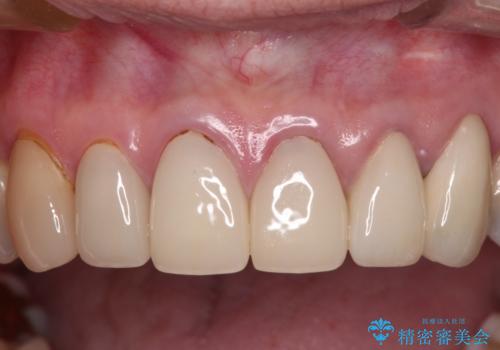
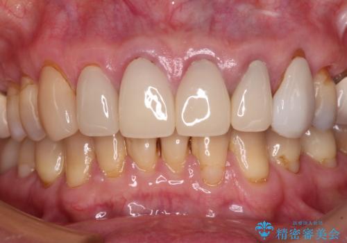
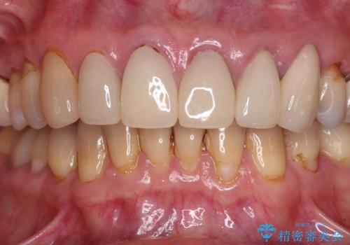
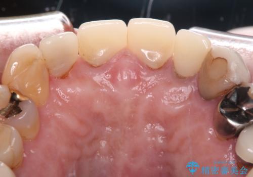
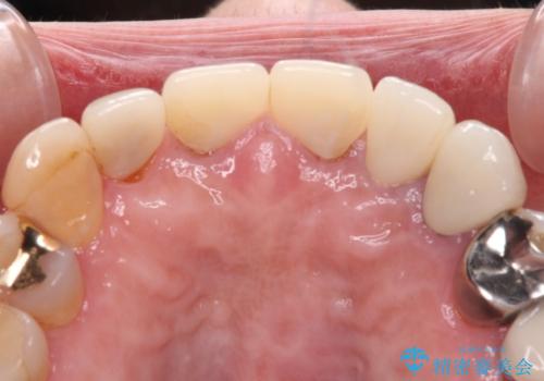
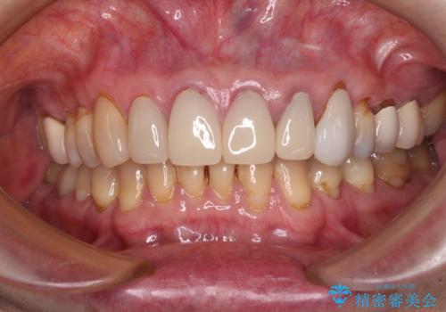
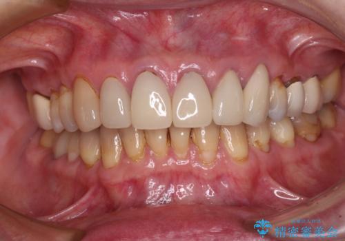
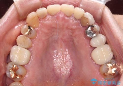
- 前歯が土台ごと外れてしまったとのことで来院された患者様です。
土台は外れていましたが破折などの問題はなく、土台からの再治療で対応可能な状態でした。
隣の犬歯も神経が取り除かれていたしたが、ラミネートベニアで治療されており、裏側でむし歯が進行する可能性があったため、こちらも治療が必要と判断されました。
今回の治療を機会に前歯全体をやり直すことも考えたそうですが、取り急ぎ要治療となった2歯を先に治療することとしました。
- 費用(概算)
- 治療費の目安: 22万円(税込)費用は治療当時の料金となります
治療について
外れてしまったクラウンを保管しておき、新しいクラウン製作の際に技工所に送ることで、今までと同じような色合いに仕上げることができ、周囲のクラウンとバランスを取ることができます。
セラミック治療の注意事項(リスク・副作用など)
- 天然歯を削ります
- 硬い素材は天然歯を傷つけてしまう場合があります
- かみ合わせや歯ぎしりが強すぎる方はセラミックが割れてしまう可能性があります
- 自費診療(保険適用外治療)となります
当サイトの内容、テキスト、画像等の無断転載、複製、複写、盗用を固く禁じます。














