症例詳細
Case detail
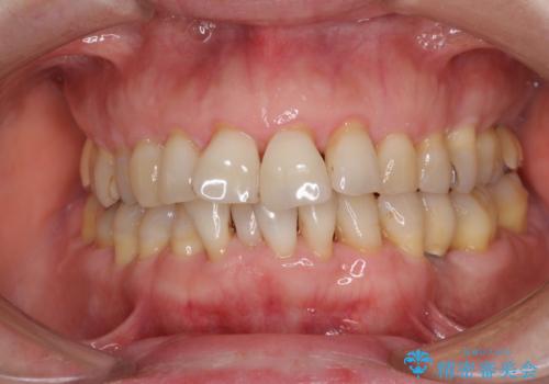
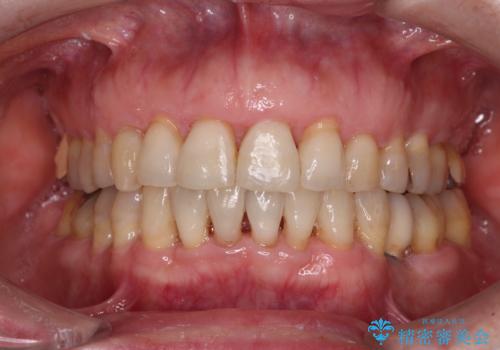
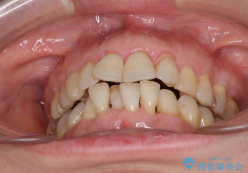
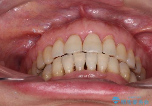
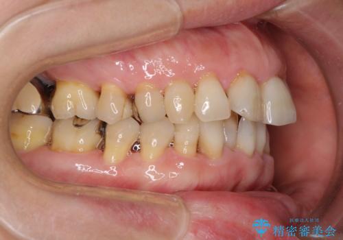
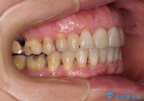
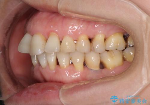
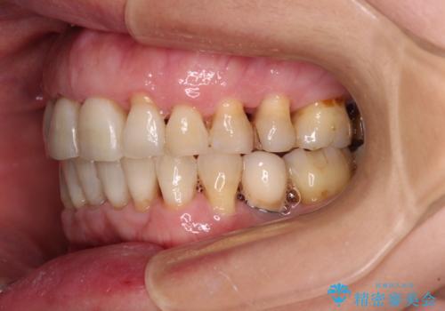
口元の出っ張りとデコボコを改善したい
治療症例の内容
- 診療科目
- 治療カテゴリ
- 担当医
- 藤巻太一朗(ドクタープロフィール)
- 患者様
- 40代女性
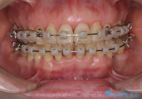
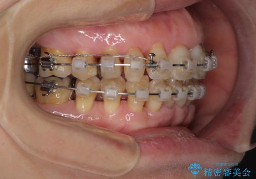
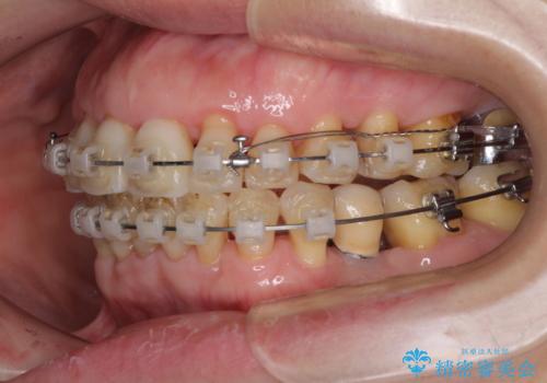
- 矯正装置
- クリアブラケット
- 治療期間
- 2年
- 治療回数
- 10-30回
- 治療計画
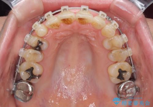
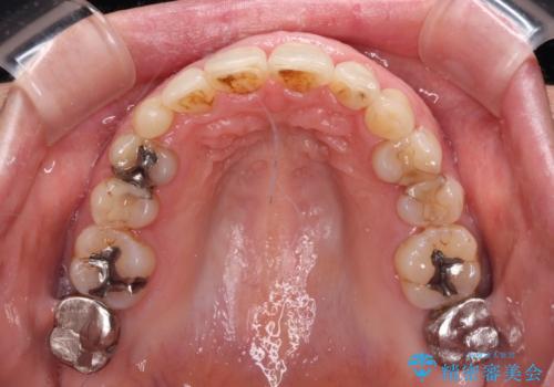
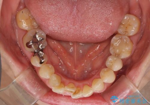
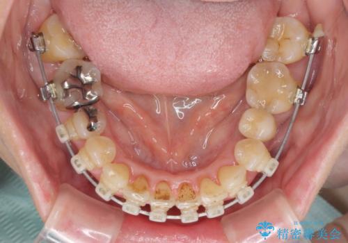
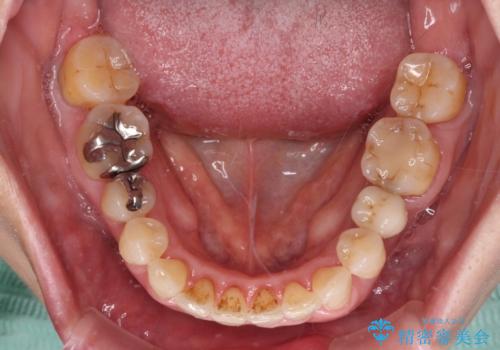
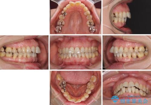
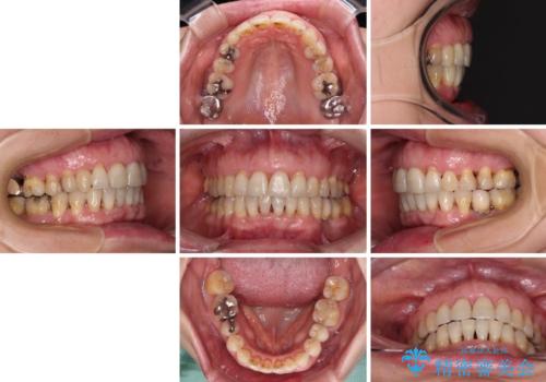
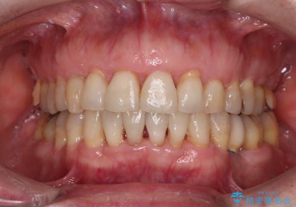
- 近医にてインプラント治療を行った後に矯正治療を希望され、来院された患者様です。
口元の突出感とデコボコが気になっているとのことでしたが、インプラントが既に3本埋入されていたため、抜歯矯正による口元を引っ込めることができない状況でした。
近医での歯周病治療の影響でブラックトライアングルが発現していたため、IPR(歯と歯の間を削る)で隙間を改善しつつ、インプラントを固定源に歯列全体を後方へ移動させることとしました。
- 費用(概算)
- 治療費の目安: 95万円(税込)費用は治療当時の料金となります
治療について
インプラントは矯正治療では動かすことができないため、インプラント治療を行う前に矯正治療を行う意思があるのかを確認します。
特に出っ歯などで抜歯矯正となる場合には、インプラントが邪魔になることがあるので注意する必要があります。
ワイヤー矯正の注意事項(リスク・副作用など)
- 治療中は違和感や痛みが起こることがあります
- 症状により、抜歯が必要な場合があります
- 治療中は歯磨きがしにくくなるため、虫歯や歯周病になりやすくなります
- 矯正治療後の保定が不十分だと後戻り(元の位置に戻ろうとする動き)をします
- 自費診療(保険適用外)となります
当サイトの内容、テキスト、画像等の無断転載、複製、複写、盗用を固く禁じます。


























