症例詳細
Case detail
沖縄から飛行機で通院 インビザラインによる矯正治療
治療症例の内容
- 診療科目
- 治療カテゴリ
- 担当医
- 藤巻太一朗(ドクタープロフィール)
- 患者様
- 30代女性
- 矯正装置
- インビザライン
- 治療期間
- 3年8ヶ月
- 治療回数
- 10-30回
- 治療計画
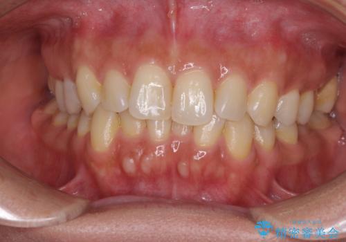
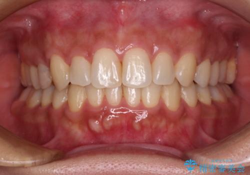
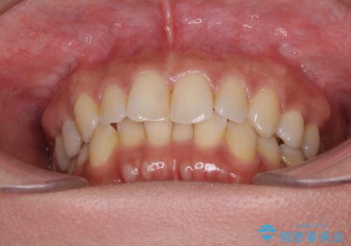
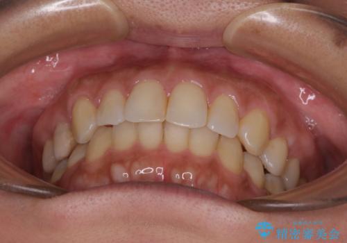
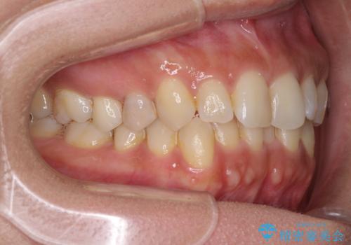
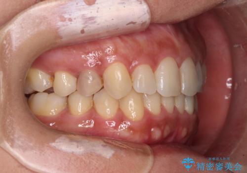
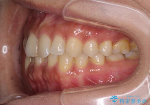
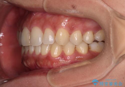
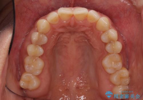
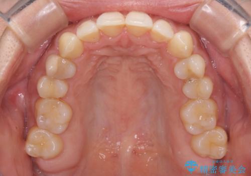
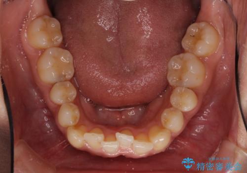
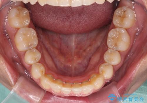
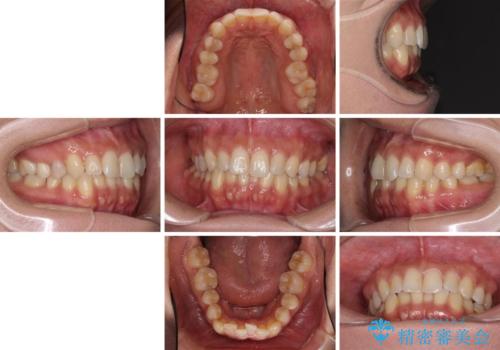
- 定期的に東京に来るので、沖縄から矯正治療で通院したいとのことで来院された患者様です。
歯列不正は軽度であったので、応急処置の少ないインビザラインにて矯正治療を行うこととしました。
- 費用(概算)
- 治療費の目安: 85万円(税込)費用は治療当時の料金となります
治療について
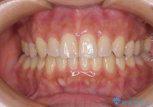
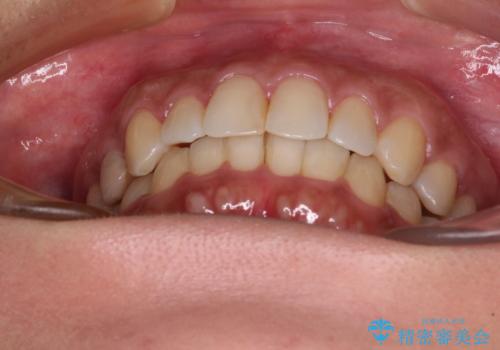
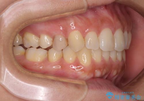
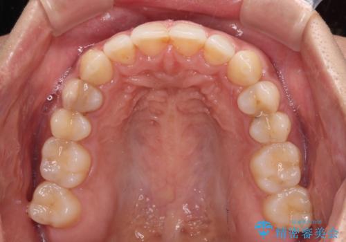
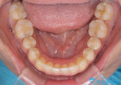
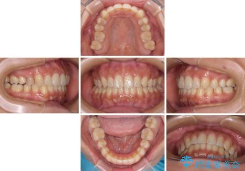
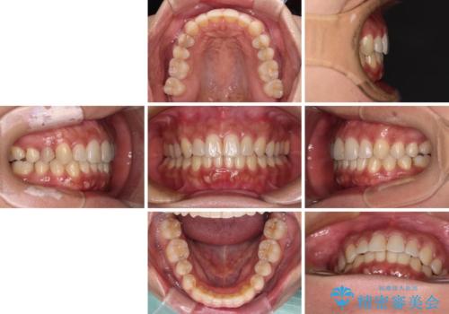
通院途中に、仕事の都合で東京に来る機会が激減してしまったため、なかなか治療が進まず、当初終了予定であった時期が2年近くずれ込んでしまいました。
今後もむし歯治療が必要となるため、日程を調整して沖縄から通院されるとのことでした。
マウスピース矯正の注意事項(リスク・副作用など)
- 口腔内・歯並びの状態によっては対応できない場合があります
- マウスピース型矯正装置の長時間装着(1日20時間以上)が必須です
- 治療計画通りに進めるためには、患者様の意志が重要になります
- 矯正治療後の保定が不十分だと後戻り(元の位置に戻ろうとする動き)をします
- 薬機法対象外の矯正歯科装置のため医薬品副作用被害救済制度の対象外となる場合があります
- 自費診療(保険適用外)となります
当サイトの内容、テキスト、画像等の無断転載、複製、複写、盗用を固く禁じます。



























