症例詳細
Case detail
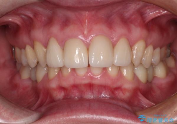
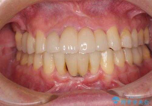
割れてしまった奥歯をインプラントで 気になる銀歯もセラミッククラウンで審美的に
治療症例の内容
- 担当医
- 藤巻太一朗(ドクタープロフィール)
- 患者様
- 40代女性
- 治療期間
- 1年
- 治療回数
- 5-10回
- 治療計画
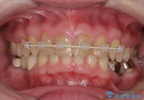
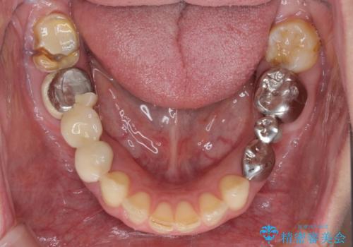
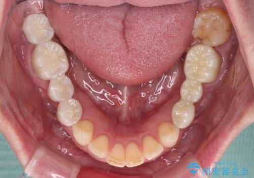
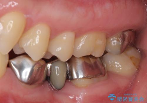
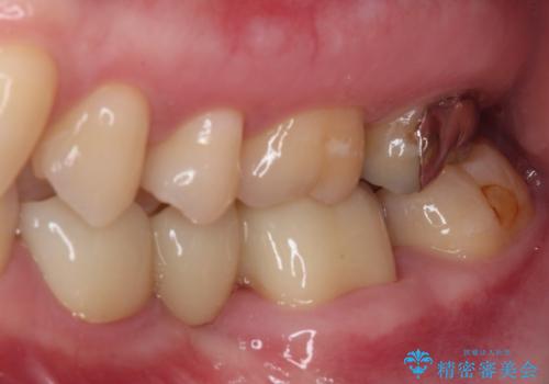
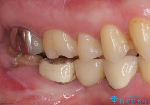
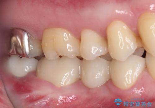
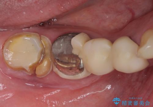
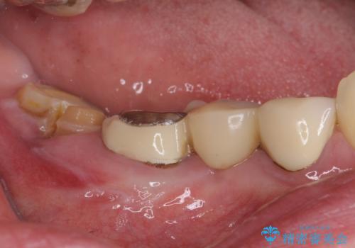
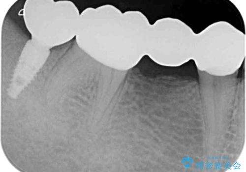
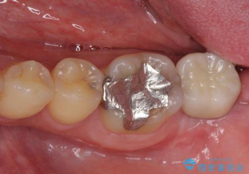
- 近医で奥歯が割れているので抜歯が必要と言われたとのことで来院された患者様です。
診断の結果、歯根が縦に破折しており抜歯が必要な状態でした。
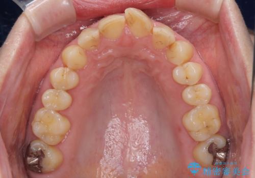
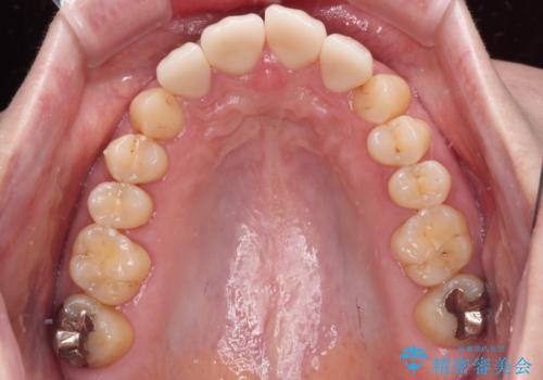
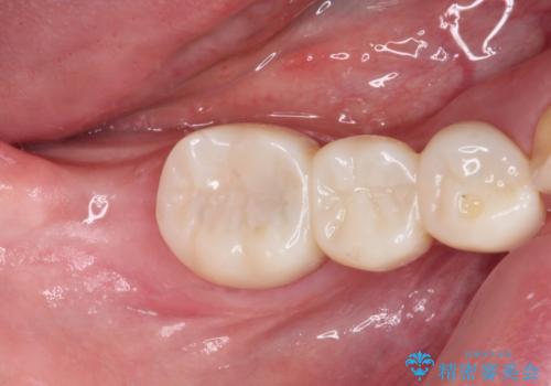
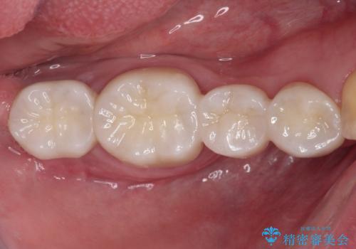
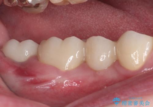
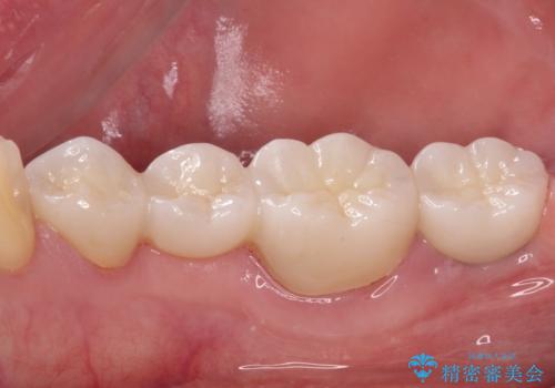
抜歯してからインプラント埋入までには時間がかかるため、その間に下顎左右臼歯の金属のブリッジをオールセラミックへ変えていくこととしました。
継ぎ接ぎだらけの上顎前歯もオールセラミッククラウンにて審美的に改善したいとのことでしたが、捻れが強くあるため、事前に矯正治療で歯列を整えてから、補綴治療を行うこととしました。
- 費用(概算)
- 治療費の目安: 105万円(税込)費用は治療当時の料金となります
治療について
目立つ部分の銀歯や気になる変色歯をまとめてきれいに仕上げることができました。
インプラント治療の注意事項(リスク・副作用など)
- 外科手術のため、術後に痛みや腫れ、違和感を伴います
- メンテナンスを怠ったり喫煙により、お口の中に大きな悪影響を及ぼすインプラント周囲炎等にかかる可能性があります
- 糖尿病、肝硬変、心臓病等の場合、インプラント治療ができない可能性があります
- 高血圧、貧血・不整脈等の場合、インプラント治療後に治癒不全を招く可能性があります
- 自費診療(保険適用外治療)となります
ワイヤー矯正の注意事項(リスク・副作用など)
- 治療中は違和感や痛みが起こることがあります
- 症状により、抜歯が必要な場合があります
- 治療中は歯磨きがしにくくなるため、虫歯や歯周病になりやすくなります
- 矯正治療後の保定が不十分だと後戻り(元の位置に戻ろうとする動き)をします
- 自費診療(保険適用外)となります
セラミック治療の注意事項(リスク・副作用など)
- 天然歯を削ります
- 硬い素材は天然歯を傷つけてしまう場合があります
- かみ合わせや歯ぎしりが強すぎる方はセラミックが割れてしまう可能性があります
- 自費診療(保険適用外治療)となります
当サイトの内容、テキスト、画像等の無断転載、複製、複写、盗用を固く禁じます。

























