症例詳細
Case detail
奥歯がしみる 色々な国で治療を受けてきた奥歯のむし歯治療
治療症例の内容
- 診療科目
- 治療カテゴリ
- 担当医
- 藤巻太一朗(ドクタープロフィール)
- 患者様
- 30代女性
- 治療期間
- 1ヶ月
- 治療回数
- 2-5回
- 治療計画
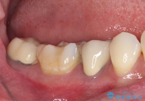
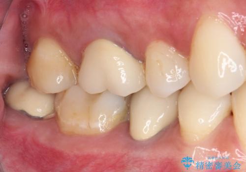
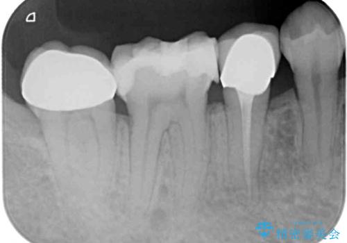
- ヨーロッパ駐在期間中に治療を受けた歯がしみるとのことで来院された患者様です。
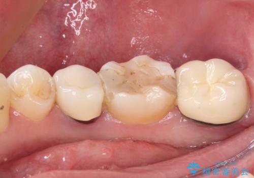
ドイツやベルギーなどで治療を受けた奥歯2本が食事の度にしみているとのことで、レントゲン検査や視診を行ったところ、補綴物や修復物の適合が悪く、それが原因であると考えられました。
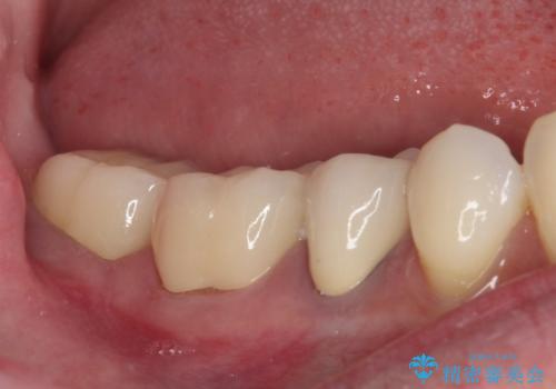
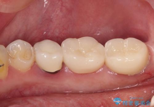
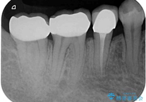
いずれの歯も症状に異常なく、オールセラミッククラウンにて補綴治療を行うこととしました。
- 費用(概算)
- 治療費の目安: 25万円(税込)費用は治療当時の料金となります
治療について
歯とクラウンの適合が良くなることで、食事の度にしみるという症状はなくなり、歯間部にものが挟まって不快な思いをすることもなくなりました。
セラミック治療の注意事項(リスク・副作用など)
- 天然歯を削ります
- 硬い素材は天然歯を傷つけてしまう場合があります
- かみ合わせや歯ぎしりが強すぎる方はセラミックが割れてしまう可能性があります
- 自費診療(保険適用外治療)となります
当サイトの内容、テキスト、画像等の無断転載、複製、複写、盗用を固く禁じます。










