症例詳細
Case detail
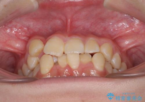
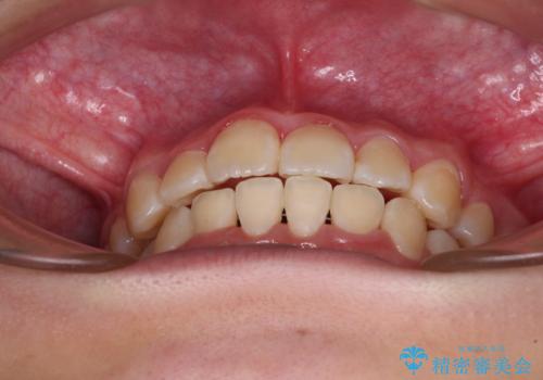
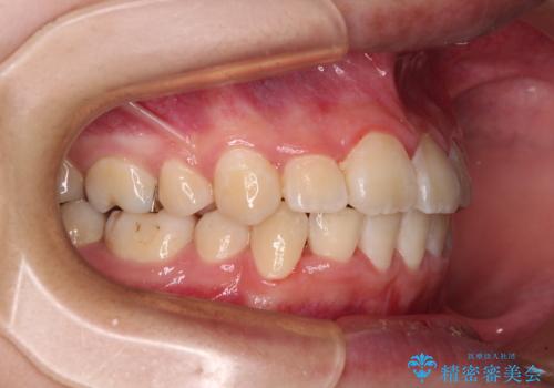
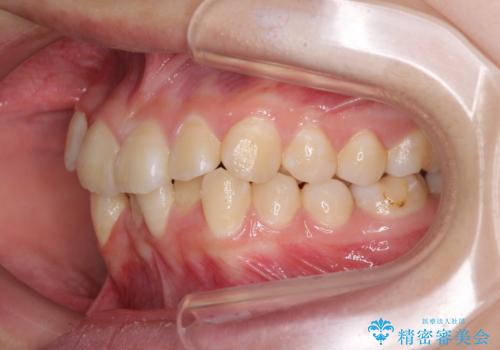
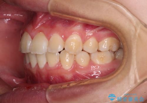
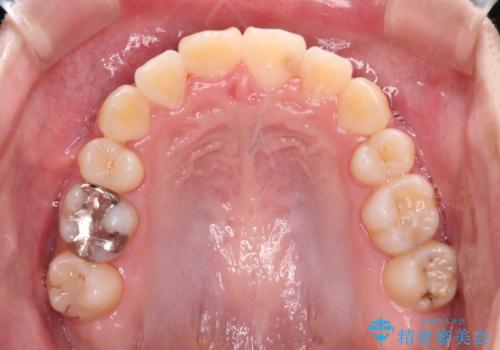
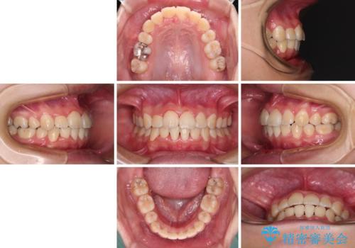
八重歯で正中が右にずれている ワイヤー装置での抜歯矯正で正中位置を改善
治療症例の内容
- 診療科目
- 治療カテゴリ
- 担当医
- 藤巻太一朗(ドクタープロフィール)
- 患者様
- 20代女性
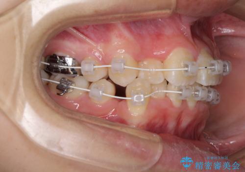
- 矯正装置
- 審美装置
- 治療期間
- 2年2ヶ月
- 治療回数
- 10-30回
- 治療計画
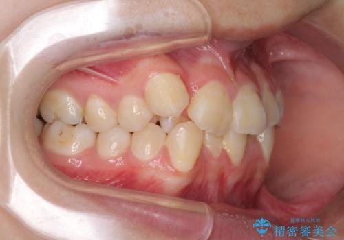
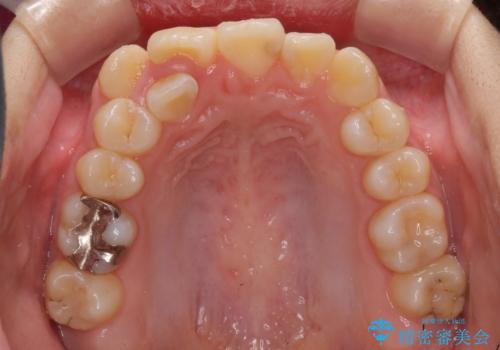
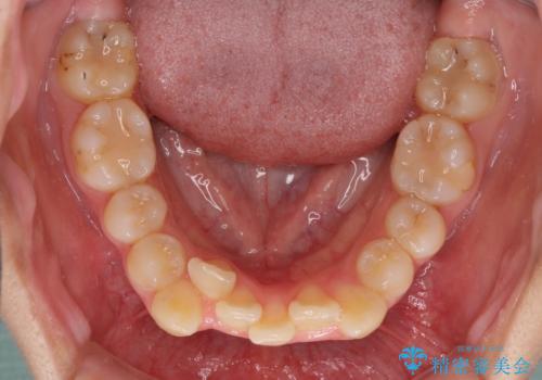
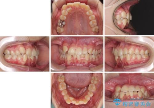
- 上下の八重歯と前歯のデコボコを気にして来院された患者様です。
右上の八重歯が特に著しく、上顎正中が右側にシフトしていました。
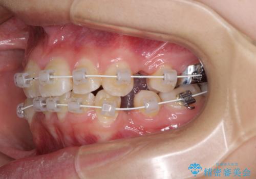
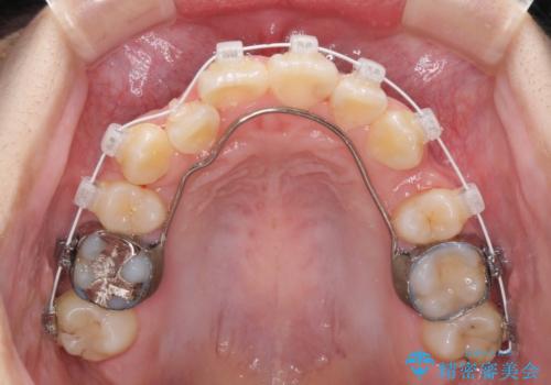
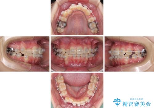
デコボコが強いため小臼歯4本を抜歯し、上顎正中を左側に移動させるために補助装置を使用して、ワイヤー装置にて矯正治療を行うこととしました。
- 費用(概算)
- 治療費の目安: 110万円(税込)費用は治療当時の料金となります
治療について
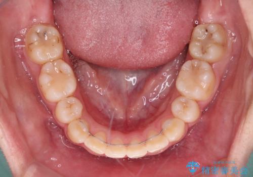
正中位置の改善に時間がかかることが予想され、2年半を治療期間の目標としておりましたが、20歳と年齢が若いこともあり、2年2ヶ月で治療を終えることができました。
ワイヤー矯正の注意事項(リスク・副作用など)
- 治療中は違和感や痛みが起こることがあります
- 症状により、抜歯が必要な場合があります
- 治療中は歯磨きがしにくくなるため、虫歯や歯周病になりやすくなります
- 矯正治療後の保定が不十分だと後戻り(元の位置に戻ろうとする動き)をします
- 自費診療(保険適用外)となります
当サイトの内容、テキスト、画像等の無断転載、複製、複写、盗用を固く禁じます。


























