症例詳細
Case detail
[ 前歯セラミック治療 ]白く不自然な前歯をきれいにしたい
治療症例の内容
- 担当医
- 大元洋佑(ドクタープロフィール)
- 患者様
- 20代女性
- 治療期間
- 2ヶ月
- 治療回数
- 2-5回
- 治療計画
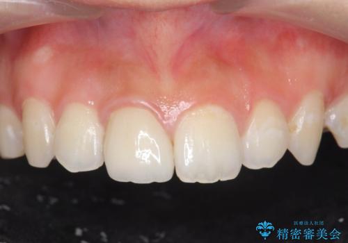
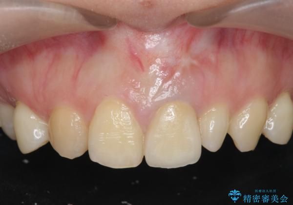
- 以前入れた不自然な前歯のセラミック治療のやりかえを希望され来院されました。
グレードの高いジルコニアクラウンを製作することで、周囲の歯の色調に調和したジルコニアクラウンを装着し審美障害を改善することができました。
ジルコニアクラウンのスペシャル・エクセレント グレードはセラミック製作の経験豊富なベテラン歯科技工士が作製するのでより自然な歯の色調を再現することができます。
- 費用(概算)
- 16.5万円(仮歯・ファイバーコア・ジルコニアクラウンスペシャル)費用は治療当時の料金となります
セラミック治療について
金属を使わないジルコニアクラウンを用いて治療することで白い歯にはなりますが、より周囲の歯に調和した自然なセラミック治療を行うにはセラミック治療の経験豊富な歯科技工士の存在が欠くことができません。
当法人では、歯科技工所と密接に連携することで精度の高いセラミック治療を行っています。
セラミック治療の注意事項(リスク・副作用など)
- 天然歯を削ります
- 硬い素材は天然歯を傷つけてしまう場合があります
- かみ合わせや歯ぎしりが強すぎる方はセラミックが割れてしまう可能性があります
- 自費診療(保険適用外治療)となります
当サイトの内容、テキスト、画像等の無断転載、複製、複写、盗用を固く禁じます。

![[ 前歯セラミック治療 ]白く不自然な前歯をきれいにしたいの治療前](https://seimitsushinbi.jp/wp/wp-content/uploads/2021/12/bece58cb17cb8130ee0502c0be252341-500x350.jpg?v=1640157784)
![[ 前歯セラミック治療 ]白く不自然な前歯をきれいにしたいの治療中](https://seimitsushinbi.jp/wp/wp-content/uploads/2021/12/CI1-1-500x350.jpg?v=1640157808)
![[ 前歯セラミック治療 ]白く不自然な前歯をきれいにしたいの治療後](https://seimitsushinbi.jp/wp/wp-content/uploads/2021/12/e6beb0177fa3816df180668db670061d-500x350.jpg?v=1640157796)
![[ 前歯セラミック治療 ]白く不自然な前歯をきれいにしたいの治療中](https://seimitsushinbi.jp/wp/wp-content/uploads/2021/12/CI2-2-500x350.jpg?v=1640157809)
![[ 前歯セラミック治療 ]白く不自然な前歯をきれいにしたいの治療後](https://seimitsushinbi.jp/wp/wp-content/uploads/2021/12/CI6-1-500x350.jpg?v=1640157810)
![[ 前歯セラミック治療 ]白く不自然な前歯をきれいにしたいの治療前](https://seimitsushinbi.jp/wp/wp-content/uploads/2021/12/25eb67f13f8431a911a4de117bf31614-500x350.jpg?v=1640157786)
![[ 前歯セラミック治療 ]白く不自然な前歯をきれいにしたいの治療中](https://seimitsushinbi.jp/wp/wp-content/uploads/2021/12/CI3-1-500x350.jpg?v=1640157809)
![[ 前歯セラミック治療 ]白く不自然な前歯をきれいにしたいの治療後](https://seimitsushinbi.jp/wp/wp-content/uploads/2021/12/e003c2d47b6b451dd8ffb88bc14e7163-500x350.jpg?v=1640157798)
![[ 前歯セラミック治療 ]白く不自然な前歯をきれいにしたいの治療前](https://seimitsushinbi.jp/wp/wp-content/uploads/2021/12/67c6b323ebabdc636d076ea9f1e4c40d-500x350.jpg?v=1640157781)
![[ 前歯セラミック治療 ]白く不自然な前歯をきれいにしたいの治療中](https://seimitsushinbi.jp/wp/wp-content/uploads/2021/12/CI5-2-500x350.jpg?v=1640157809)
![[ 前歯セラミック治療 ]白く不自然な前歯をきれいにしたいの治療後](https://seimitsushinbi.jp/wp/wp-content/uploads/2021/12/cd8cdcb03f00d7c13eb99037f7abdafc-500x350.jpg?v=1640157794)
![[ 前歯セラミック治療 ]白く不自然な前歯をきれいにしたいの治療前](https://seimitsushinbi.jp/wp/wp-content/uploads/2021/12/9c812ca3745710e358496ce9fa91dac4-500x350.jpg?v=1640157779)
![[ 前歯セラミック治療 ]白く不自然な前歯をきれいにしたいの治療後](https://seimitsushinbi.jp/wp/wp-content/uploads/2021/12/bdd0931a2d61ceb407780d08d8663ce3-500x350.jpg?v=1640157805)
![[ 前歯セラミック治療 ]白く不自然な前歯をきれいにしたいの治療前](https://seimitsushinbi.jp/wp/wp-content/uploads/2021/12/c9d6f6dee8077b3c7c148bc5b3961d05-500x350.jpg?v=1640157791)
![[ 前歯セラミック治療 ]白く不自然な前歯をきれいにしたいの治療後](https://seimitsushinbi.jp/wp/wp-content/uploads/2021/12/11e0cd87bec7df1ee02aab9612bd224b-500x350.jpg?v=1640157801)
![[ 前歯セラミック治療 ]白く不自然な前歯をきれいにしたいの治療前](https://seimitsushinbi.jp/wp/wp-content/uploads/2021/12/01be262092c6489d1805ddb89ba52473-500x350.jpg?v=1640157788)
![[ 前歯セラミック治療 ]白く不自然な前歯をきれいにしたいの治療後](https://seimitsushinbi.jp/wp/wp-content/uploads/2021/12/41fc194060b78799db8eb316206d47a4-500x350.jpg?v=1640157803)