症例詳細
Case detail
上の歯と下の歯が反対にかんでいる インビザラインによる目立たない矯正
治療症例の内容
- 患者様
- 30代女性
- 矯正装置
- インビザライン
- 治療期間
- 1年6ヶ月
- 治療回数
- 10-30回
- 治療計画
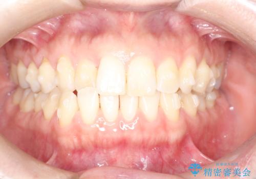
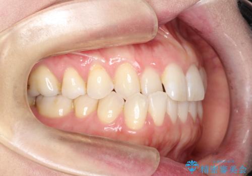
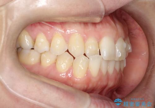
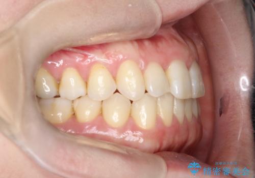
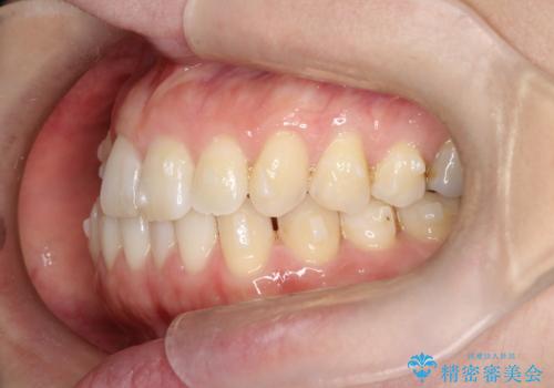
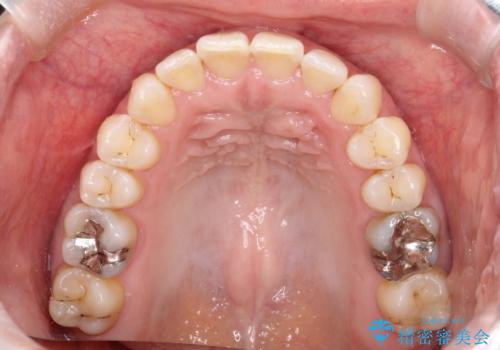
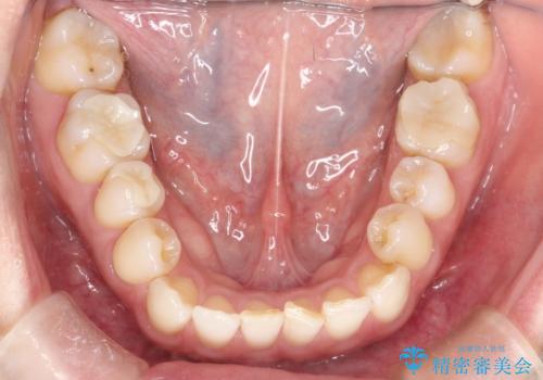
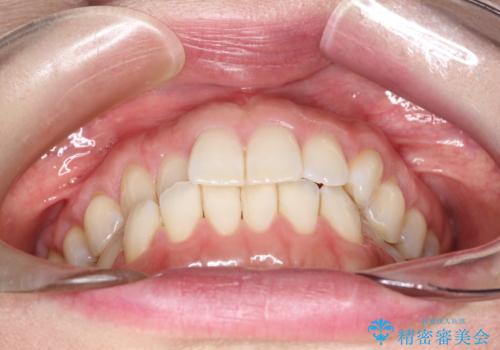
- 右上の前から2番目と3番目の歯が内側に引っ込んでしまっているのを主訴に来院されました。
右上の2番目と3番目のはが前後反対にかんでしまっている状態でした。
インビザラインにて治療することとしました。
- 費用(概算)
- 約80万円費用は治療当時の料金となります
治療について
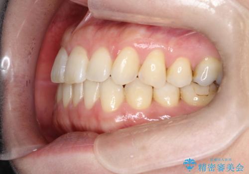
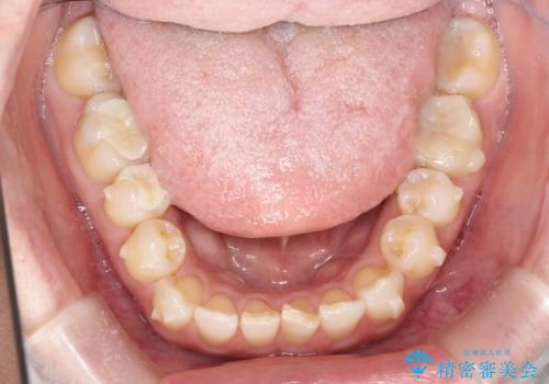
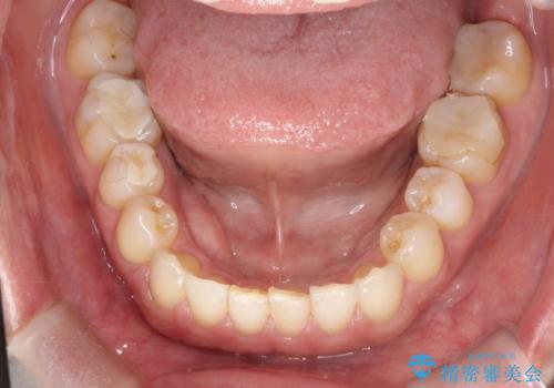
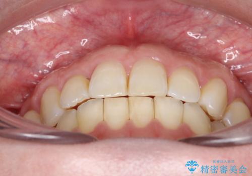
内側に引っ込んでいる歯も、インビザラインにてしっかり外側に動かすことができます。
マウスピース矯正の注意事項(リスク・副作用など)
- 口腔内・歯並びの状態によっては対応できない場合があります
- マウスピース型矯正装置の長時間装着(1日20時間以上)が必須です
- 治療計画通りに進めるためには、患者様の意志が重要になります
- 矯正治療後の保定が不十分だと後戻り(元の位置に戻ろうとする動き)をします
- 薬機法対象外の矯正歯科装置のため医薬品副作用被害救済制度の対象外となる場合があります
- 自費診療(保険適用外)となります
当サイトの内容、テキスト、画像等の無断転載、複製、複写、盗用を固く禁じます。

















