症例詳細
Case detail
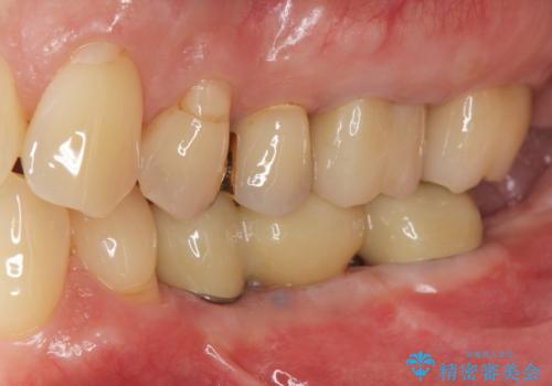
[歯周外科] 歯ぐきの状態を改善した審美ブリッジ治療
治療症例の内容
- 診療科目
- 担当医
- 大元洋佑(ドクタープロフィール)
- 患者様
- 30代女性
- 治療期間
- 6ヶ月
- 治療回数
- 5-10回
- 治療計画
- 古くなったブリッジの再作製を希望されて来院されました。
ブリッジを外したところ歯ぐきの腫れが見られたので歯周外科を行い、
金属を用いないオールセラミックジルコニアブリッジによる審美ブリッジ治療を計画します。
- 費用(概算)
- 44万円費用は治療当時の料金となります
歯ぐきの腫れの改善について
クラウンやブリッジのやり直す治療の際、歯ぐきが腫れ出血してくるような状態であることが多々見受けられます。
清掃状態が悪かったり(日々の歯ブラシが足りない)、前回治療した歯科医師が歯を削りすぎてしまっている、ブリッジやクラウンの設計が悪い等の理由が考えられます。
日々の歯磨きが大切なのはもちろんですが、清掃しやすいブリッジを設計したり環境を整えることは歯科医師の仕事です。
今回はオールセラミックジルコニアブリッジを再作製する前に歯ぐきの環境を改善するために歯周外科手術を行い歯の周囲の骨・歯肉の状態を整えた後にブリッジを作製しました。
セラミック治療の注意事項(リスク・副作用など)
- 天然歯を削ります
- 硬い素材は天然歯を傷つけてしまう場合があります
- かみ合わせや歯ぎしりが強すぎる方はセラミックが割れてしまう可能性があります
- 自費診療(保険適用外治療)となります
歯周病治療の注意事項(リスク・副作用など)
- 外科手術のため、術後に痛みや腫れ、違和感を伴います
- 歯周組織再生治療は患者様の状態によって術後の経過が異なります(見た目が改善しない場合もあります)
- 歯周組織再生治療は自費診療(保険適用外)となります
当サイトの内容、テキスト、画像等の無断転載、複製、複写、盗用を固く禁じます。

![[歯周外科] 歯ぐきの状態を改善した審美ブリッジ治療の治療前](https://seimitsushinbi.jp/wp/wp-content/uploads/2017/05/4d9e75381d9257cd54158c21ba1a17b7-500x350.jpg)
![[歯周外科] 歯ぐきの状態を改善した審美ブリッジ治療の治療中](https://seimitsushinbi.jp/wp/wp-content/uploads/2017/05/aa82d103769efb1170bb75db8eb43ecd-500x350.jpg)
![[歯周外科] 歯ぐきの状態を改善した審美ブリッジ治療の治療後](https://seimitsushinbi.jp/wp/wp-content/uploads/2017/05/86a6397f7caabe34d014f8bdc9acd9b7-500x350.jpg)
![[歯周外科] 歯ぐきの状態を改善した審美ブリッジ治療の治療前](https://seimitsushinbi.jp/wp/wp-content/uploads/2017/05/00a2046ed111c218eb8b6bb347d741f2-500x350.jpg)
![[歯周外科] 歯ぐきの状態を改善した審美ブリッジ治療の治療中](https://seimitsushinbi.jp/wp/wp-content/uploads/2017/05/7429d106ed38d181d73cbff76caec132-500x350.jpg)
![[歯周外科] 歯ぐきの状態を改善した審美ブリッジ治療の治療後](https://seimitsushinbi.jp/wp/wp-content/uploads/2017/05/3d875b6ab2aaf2248437cfe3cdb1975b-500x350.jpg)
![[歯周外科] 歯ぐきの状態を改善した審美ブリッジ治療の治療前](https://seimitsushinbi.jp/wp/wp-content/uploads/2017/05/CI24-500x350.jpg)
![[歯周外科] 歯ぐきの状態を改善した審美ブリッジ治療の治療中](https://seimitsushinbi.jp/wp/wp-content/uploads/2017/05/44689ffecf95878da011334580977fcd-500x350.jpg)
![[歯周外科] 歯ぐきの状態を改善した審美ブリッジ治療の治療後](https://seimitsushinbi.jp/wp/wp-content/uploads/2017/05/CI322-500x350.jpg)
![[歯周外科] 歯ぐきの状態を改善した審美ブリッジ治療の治療前](https://seimitsushinbi.jp/wp/wp-content/uploads/2017/05/b3c9dea5edfcd5850431885970490213-500x350.jpg)
![[歯周外科] 歯ぐきの状態を改善した審美ブリッジ治療の治療中](https://seimitsushinbi.jp/wp/wp-content/uploads/2017/05/0586a14cf8eaa658ebaafc3ef4cee3af-500x350.jpg)
![[歯周外科] 歯ぐきの状態を改善した審美ブリッジ治療の治療後](https://seimitsushinbi.jp/wp/wp-content/uploads/2017/05/5b1b9e5252adc4c130c5e532f8049e29-500x350.jpg)
![[歯周外科] 歯ぐきの状態を改善した審美ブリッジ治療の治療前](https://seimitsushinbi.jp/wp/wp-content/uploads/2017/05/cc10ebc44039b9dcbbbfe1ff0434122e-500x350.jpg)
![[歯周外科] 歯ぐきの状態を改善した審美ブリッジ治療の治療中](https://seimitsushinbi.jp/wp/wp-content/uploads/2017/05/f17e9952393146da18ae0eff96da99a8-500x350.jpg)
![[歯周外科] 歯ぐきの状態を改善した審美ブリッジ治療の治療後](https://seimitsushinbi.jp/wp/wp-content/uploads/2017/05/aa249f9cbad2ce15d164f1046d009b6a1-500x350.jpg)
![[歯周外科] 歯ぐきの状態を改善した審美ブリッジ治療の治療中](https://seimitsushinbi.jp/wp/wp-content/uploads/2017/05/344920798cec59f41676ce4b960a61a9-500x350.jpg)
![[歯周外科] 歯ぐきの状態を改善した審美ブリッジ治療の治療中](https://seimitsushinbi.jp/wp/wp-content/uploads/2017/05/754214dd56cf968033166c68247ace37-500x350.jpg)