症例詳細
Case detail
歯ぐきの腫れを改善する歯周外科手術を伴うセラミック治療
治療症例の内容
- 患者様
- 50代女性
- 治療期間
- 8ヶ月
- 治療回数
- 5-10回
- 治療計画
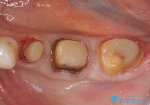
- 虫歯治療、老朽化した銀歯や詰め物 コンポジットレジンのやりかえを希望され来院されました。
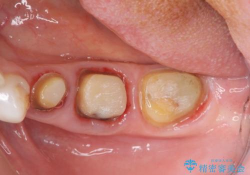
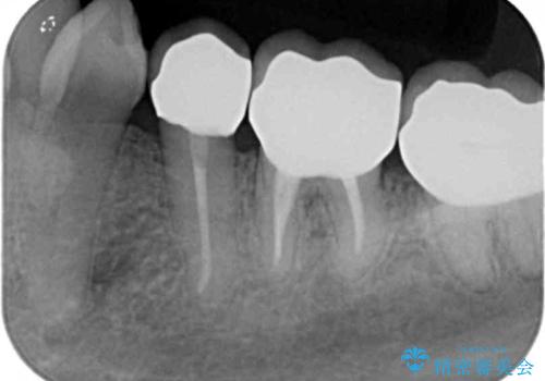
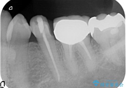
クラウンやレジン下に再発していた虫歯を丁寧に除去したのち、歯ぐきの腫れが改善が見られないため歯周外科を行い歯ぐきの状態を整えたのちにジルコニアクラウンを製作していきます。
- 費用(概算)
- 44万円(仮歯・ジルコニアクラウン×3 歯周外科手術)費用は治療当時の料金となります
セラミック治療について
クラウン治療を行う場合歯ぐきの腫れが、クラウン製作の精密さにおいて問題点となることがあります。
このような場合、歯周外科を行うことでクラウン周囲の歯茎の状態を整備し精度に優れる治療を行うことができます。
セラミック治療の注意事項(リスク・副作用など)
- 天然歯を削ります
- 硬い素材は天然歯を傷つけてしまう場合があります
- かみ合わせや歯ぎしりが強すぎる方はセラミックが割れてしまう可能性があります
- 自費診療(保険適用外治療)となります
外科処置の注意事項(リスク・副作用など)
- 外科手術のため、術後に出血、痛みや腫れ、違和感を伴います
- 口腔内の状態によっては適応できないことがあります
当サイトの内容、テキスト、画像等の無断転載、複製、複写、盗用を固く禁じます。













